Skip to Content
Merck

ABS580

Sigma-Aldrich

Anti-FSH, β-subunit Antibody

serum, from goat

Synonym(s):

Follitropin subunit beta, Follicle-stimulating hormone beta subunit, FSH-B, FSH-beta, Follitropin beta chain

Sign Into View Organizational & Contract Pricing

Select a Size



About This Item

UNSPSC Code:
12352203
eCl@ss:
32160702
NACRES:
NA.41

biological source

goat

Quality Level

conjugate

unconjugated

antibody form

serum

antibody product type

primary antibodies

clone

polyclonal

species reactivity

human, mouse

technique(s)

ELISA: suitable
activity assay: suitable
immunohistochemistry: suitable

NCBI accession no.

UniProt accession no.

shipped in

wet ice

target post-translational modification

unmodified

Gene Information

human ... FSHB(2488)
mouse ... Fshb(14308)

General description

15 kDa (calculated); 19 kDa (glycosylated).
FSH-beta is the critical subunit of FSH hormone, also called Follitropin, and several other hormones. The alpha subunits of LH, FSH, TSH and, hCG are identical, however the beta subunits vary determine the interaction with the receptors. The FSH-beta confers the biological specificity for several growth factors including Follitropin, Thyrotropin, Lutropin and Gonadotropin. FSH is involved in follicle and spermatogenesis and is secreted by the anterior pituitary gland. FSH is also expressed by testis, so FSH-beta can be found there as well during development and in adult tissues.

Immunogen

Linear peptide corresponding to a 13-amino acid receptor-binding sequence (LVYKDPARPNTQK) of the β-subunit of mouse FSH.

Application

Activity Assay Analysis: This antiserum was reported to neutralize FSH-induced osteoclast formation in mouse bone marrow cultures (Zhu, L.L., et al. (2012). PNAS. 109:14574-14579)
ELISA: This antiserum was reported to detect the immunogen peptide as well as full-lengh FSH by ELISA (Zhu, L.L., et al. (2012). PNAS. 109:14574-14579).
Research Category
Signaling
Research Sub Category
Signaling Neuroscience
This Anti-FSH, β-subunit Antibody is validated for use in Immunohistochemistry and Activity Assay and ELISA for the detection of FSH, β-subunit.

Physical form

Goat polyclonal serum without preservatives.
Unpurified

Preparation Note

Stable for 1 year at -20°C from date of receipt.
Handling Recommendations: Upon receipt and prior to removing the cap, centrifuge the vial and gently mix the solution. Aliquot into microcentrifuge tubes and store at -20°C. Avoid repeated freeze/thaw cycles, which may damage IgG and affect product performance.

Analysis Note

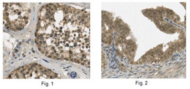
Evaluated by Immunohistochemistry in human testis and human fallopian tube tissue.

Immunohistochemistry Analysis: A 1:1,000 dilution of this antibody detected FSH, β-subunit in human testis and human fallopian tube tissue.

Other Notes

Concentration: Please refer to lot specific datasheet.

Disclaimer

Unless otherwise stated in our catalog or other company documentation accompanying the product(s), our products are intended for research use only and are not to be used for any other purpose, which includes but is not limited to, unauthorized commercial uses, in vitro diagnostic uses, ex vivo or in vivo therapeutic uses or any type of consumption or application to humans or animals.

Not finding the right product?  

Try our Product Selector Tool.

Storage Class Code

12 - Non Combustible Liquids

WGK

WGK 1

Flash Point(F)

Not applicable

Flash Point(C)

Not applicable


Certificates of Analysis (COA)

Search for Certificates of Analysis (COA) by entering the products Lot/Batch Number. Lot and Batch Numbers can be found on a product’s label following the words ‘Lot’ or ‘Batch’.

Already Own This Product?

Find documentation for the products that you have recently purchased in the Document Library.

Visit the Document Library

Global Trade Item Number

SKUGTIN
ABS58004055977112177

Our team of scientists has experience in all areas of research including Life Science, Material Science, Chemical Synthesis, Chromatography, Analytical and many others.

Contact Technical Service