Millipore Sigma Vibrant Logo
Attention: We have moved. Merck Millipore products are no longer available for purchase on MerckMillipore.com.Learn More

MABC158 Anti-hyaluronan synthase 1 Antibody, clone 12A2.3

MABC158
100 µg  
Purchase on Sigma-Aldrich

Special Offers

Overview

Replacement Information

Key Spec Table

Species ReactivityKey ApplicationsHostFormatAntibody Type
HWB, IHCMPurifiedMonoclonal Antibody
Description
Catalogue NumberMABC158
DescriptionAnti-hyaluronan synthase 1 Antibody, clone 12A2.3
Alternate Names
  • Hyaluronan synthase 1
  • Hyaluronate synthase 1
  • Hyaluronic acid synthase 1
  • HA synthase 1
  • HuHAS1
Background InformationHyaluronan synthase 1 (HAS1) is one of three enzymes, located at the plasma membrane, that synthesizes the glycosaminoglycan hyaluronan or hyaluronic acid (HA). Hyaluronan is involved in cell proliferation, differentiation, angiogenesis, and tumor development, among other cellular processes.
References
Product Information
FormatPurified
Control
  • HL-60 cell lysate
PresentationPurified mouse IgMκ supernatant in buffer containing PBS with 0.05% sodium azide.
Quality LevelMQ100
Applications
ApplicationAnti-hyaluronan synthase 1 Antibody, clone 12A2.3 is a highly specific mouse monoclonal antibody, that targets Hyaluronan synthase 1 & has been tested in western blotting & IHC.
Key Applications
  • Western Blotting
  • Immunohistochemistry
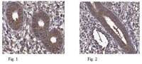
Application NotesImmunohistochemistry Analysis: A 1:200 dilution from a representative lot detected hyaluronan synthase 1 in human ovarian cancer tissues.
Biological Information
ImmunogenKLH-conjugated linear peptide corresponding to the cytoplasmic domain of human hyaluronan synthase 1.
EpitopeCytoplasmic domain
Clone12A2.3
ConcentrationPlease refer to the Certificate of Analysis for the lot-specific concentration.
HostMouse
SpecificityThis antibody recognizes the cytoplasmic domain of hyaluronan synthase 1.
IsotypeIgMκ
Species Reactivity
  • Human
Antibody TypeMonoclonal Antibody
Entrez Gene Number
Gene Symbol
  • HAS1
  • HAS
UniProt Number
Molecular Weight~70 kDa observed
Physicochemical Information
Dimensions
Materials Information
Toxicological Information
Safety Information according to GHS
Safety Information
Product Usage Statements
Quality AssuranceEvaluated by Western Blotting in HL-60 cell lysate.

Western Blotting Analysis: 1 µg/mL of this antibody detects hyaluronan synthase 1 in 10 µg of HL-60 cell lysate.
Usage Statement
  • Unless otherwise stated in our catalog or other company documentation accompanying the product(s), our products are intended for research use only and are not to be used for any other purpose, which includes but is not limited to, unauthorized commercial uses, in vitro diagnostic uses, ex vivo or in vivo therapeutic uses or any type of consumption or application to humans or animals.
Storage and Shipping Information
Storage ConditionsStable for 1 year at 2-8°C from date of receipt.
Packaging Information
Material Size100 µg
Transport Information
Supplemental Information
Specifications
Global Trade Item Number
Catalogue Number GTIN
MABC158 04053252859410