Millipore Sigma Vibrant Logo
Attention: We have moved. Merck Millipore products are no longer available for purchase on MerckMillipore.com.Learn More

AP1160 Anti-NDRG1 Mouse mAb (2D7)

AP1160
Purchase on Sigma-Aldrich

概述

Replacement Information

重要规格表

Species ReactivityHostAntibody Type
HMMonoclonal Antibody

Products

产品目录编号包装 数量 / 包装
AP1160-100UGCN 100 μg
Description
OverviewRecognizes the ~40-45 kDa NDRG1 protein in HeLa cells and human endometrium tissue.
Catalogue NumberAP1160
Brand Family Calbiochem®
SynonymsAnti-N-myc Downstream Regulator 1
Application Data
Detection of human NDRG1 by immunoblotting. Sample: Full-length recombinant human NDRG1 protein. Primary antibody: Anti-NDRG1 Mouse mAb (2D7) (Cat. No. AP1160) (1-5 µg/ml). Detection: chemiluniescence.

Detection of human NDRG1 by immunocytochemistry. Sample: HeLa cells fixed in paraformaldehyde. Primary antibody: Anti-NDRG1 Mouse mAb (2D7) (Cat. No. AP1160) (10 µg/ml). Detection: fluorescence.

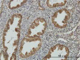
Detection of human NDRG1 by staining paraffin sections. Sample: Formalin-fixed, paraffin-embedded human endometrium. Primary antibody: Anti-NDRG1 Mouse mAb (2D7) (Cat. No. AP1160) (0.7 µg/ml). Detection: colorimetric (DAB).
References
ReferencesJiang, K., et al. 2010. Scand. J. Gastroenterol 45, 898.
Leth-Larsen R, et al. 2009. Mol. Cell Proteomics 8, 1436.
Product Information
FormLiquid
FormulationIn PBS, pH 7.2.
Positive controlHuman endometrium tissue, HeLa cells
PreservativeNone
Quality LevelMQ100
Applications
Key Applications Enzyme-Linked Immunosorbent Assay
Immunoblotting (Western Blotting)
Immunocytochemistry
Paraffin Sections
Application NotesELISA (see comments)
Immunoblotting (1-5 µg/ml)
Immunocytochemistry (10 µg/ml)
Paraffin Sections (0.7 µg/ml)
Application CommentsFor ELISA, this antibody can be used as the capture antibody; recommended concentration is 10 ng/ml, 1 µg/well, 100 µl total volume. Variables associated with assay conditions will dictate the proper working dilution.
Biological Information
ImmunogenFull-length, recombinant human NDRG1 (aa 1-395), expressed as a GST fusion protein
Clone2D7
HostMouse
IsotypeIgG2a
Species Reactivity
  • Human
Antibody TypeMonoclonal Antibody
Physicochemical Information
Dimensions
Materials Information
Toxicological Information
Safety Information according to GHS
Safety Information
Product Usage Statements
Storage and Shipping Information
Ship Code Blue Ice Only
Toxicity Regulatory Review
Storage -20°C
Avoid freeze/thaw Avoid freeze/thaw
Do not freeze Ok to freeze
Special InstructionsFollowing initial thaw, aliquot and freeze (-20°C).
Packaging Information
Transport Information
Supplemental Information
Specifications
Global Trade Item Number
产品目录编号 GTIN
AP1160-100UGCN 04055977212662

Documentation

Anti-NDRG1 Mouse mAb (2D7) MSDS

职位

物料安全数据表 (MSDS) 

参考

参考信息概述
Jiang, K., et al. 2010. Scand. J. Gastroenterol 45, 898.
Leth-Larsen R, et al. 2009. Mol. Cell Proteomics 8, 1436.
数据表

Note that this data sheet is not lot-specific and is representative of the current specifications for this product. Please consult the vial label and the certificate of analysis for information on specific lots. Also note that shipping conditions may differ from storage conditions.

Revision19-October-2010 RFH
SynonymsAnti-N-myc Downstream Regulator 1
ApplicationELISA (see comments)
Immunoblotting (1-5 µg/ml)
Immunocytochemistry (10 µg/ml)
Paraffin Sections (0.7 µg/ml)
Application Data
Detection of human NDRG1 by immunoblotting. Sample: Full-length recombinant human NDRG1 protein. Primary antibody: Anti-NDRG1 Mouse mAb (2D7) (Cat. No. AP1160) (1-5 µg/ml). Detection: chemiluniescence.

Detection of human NDRG1 by immunocytochemistry. Sample: HeLa cells fixed in paraformaldehyde. Primary antibody: Anti-NDRG1 Mouse mAb (2D7) (Cat. No. AP1160) (10 µg/ml). Detection: fluorescence.

Detection of human NDRG1 by staining paraffin sections. Sample: Formalin-fixed, paraffin-embedded human endometrium. Primary antibody: Anti-NDRG1 Mouse mAb (2D7) (Cat. No. AP1160) (0.7 µg/ml). Detection: colorimetric (DAB).
DescriptionPurified mouse monoclonal antibody. Recognizes the ~40-45 kDa NDRG1 protein.
BackgroundNDRG1 is a member of the N-myc downregulated gene family which belongs to the alpha/beta hydrolase superfamily. The protein encoded by this gene is a cytoplasmic protein involved in stress responses, hormone responses, cell growth, and differentiation. It is necessary for p53-mediated caspase activation and apoptosis. Mutation in this gene has been reported to be causative for hereditary motor and sensory neuropathy-Lom.
HostMouse
ImmunogenFull-length, recombinant human NDRG1 (aa 1-395), expressed as a GST fusion protein
Clone2D7
IsotypeIgG2a
Specieshuman
Positive controlHuman endometrium tissue, HeLa cells
FormLiquid
FormulationIn PBS, pH 7.2.
PreservativeNone
CommentsFor ELISA, this antibody can be used as the capture antibody; recommended concentration is 10 ng/ml, 1 µg/well, 100 µl total volume. Variables associated with assay conditions will dictate the proper working dilution.
Storage Avoid freeze/thaw
-20°C
Do Not Freeze Ok to freeze
Special InstructionsFollowing initial thaw, aliquot and freeze (-20°C).
Toxicity Regulatory Review
ReferencesJiang, K., et al. 2010. Scand. J. Gastroenterol 45, 898.
Leth-Larsen R, et al. 2009. Mol. Cell Proteomics 8, 1436.