Saltar al contenido
Merck

04-855

Sigma-Aldrich

Anticuerpo anti-GluR1, clon C3T, monoclonal de conejo

culture supernatant, clone C3T, Upstate®

Sinónimos:

Anti-GluA1, Anti-GluR-1, Anti-GluR-A, Anti-GluR-K1, Anti-GluR1

Iniciar sesiónpara Ver la Fijación de precios por contrato y de la organización

Seleccione un Tamaño



About This Item

UNSPSC Code:
12352203
eCl@ss:
32160702
NACRES:
NA.41

biological source

rabbit

Quality Level

conjugate

unconjugated

antibody form

culture supernatant

antibody product type

primary antibodies

clone

C3T, monoclonal

species reactivity

human, chimpanzee, rat, mouse

manufacturer/tradename

Upstate®

technique(s)

immunohistochemistry: suitable
immunoprecipitation (IP): suitable
western blot: suitable

isotype

IgG

NCBI accession no.

UniProt accession no.

shipped in

dry ice

target post-translational modification

unmodified

Gene Information

human ... GRIA1(2890)

General description

106 kDa
El L-glutamato es el principal neurotransmisor excitador del sistema nervioso central. La neurotransmisión glutamatérgica interviene en la mayoría de los aspectos de la función cerebral normal y puede estar alterada en muchas dolencias neuropatológicas. Los receptores de glutamato metabotrópicos son una familia de receptores acoplados a proteínas G que se han dividido en 3 grupos. El grupo I incluye el GRM1 y se ha demostrado que estos receptores activan la fosfolipasa C. Se ha comunicado expresión del GRM1 en varias regiones del cerebro y la médula espinal. Se han aislado EST de bancos de cerebro y ojos.

Immunogen

Péptido sintético conjugado con KLH que corresponde a los aminoácidos 858-868 (..TLPRNSGAMAS..) del GluR1 humano (aminoácidos 840-850 del GluR1 humano maduro)

Application

Categoría de investigación
Neurociencia
El anticuerpo anti-GluR1, clon C3T, detecta el nivel de GluR1, y se ha publicado y validado para utilizar en IH, IP y WB.
Inmunoprecipitación: 2 μl de un lote anterior provocó la inmunoprecipitación del GluR1 de una preparación microsómica cerebral de rata.

Inmunohistoquímica: Se ha demostrado que un lote anterior de este anticuerpo detectó el GluR1 en tejidos humanos, de ratón y de rata.
Subcategoría de investigación
Neurotransmisores y receptores

Biochem/physiol Actions

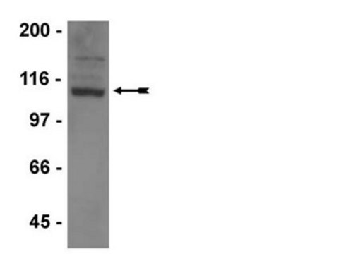
Reconoce el GluR1, Pm 106 kDa.
Se prevé reacción cruzada con chimpancé debido a la homología de secuencia del 100 %.

Physical form

Sobrenadante cultivado en azida sódica al 0,05 %

Preparation Note

Mantener durante 2 años a -20°C desde la fecha de envío. Distribuir en alícuotas para evitar congelaciones y descongelaciones repetidas. Para la recuperación máxima del producto, debe centrifugarse el vial original después de descongelar y antes de retirar la tapa.

Analysis Note

Control
Evaluado de forma rutinaria mediante inmunotransferencia en preparación microsómica de cerebro de rata (12-144)
Evaluada sistemáticamente mediante inmunotransferencia Western de preparación microsómica cerebral de rata.

Análisis mediante inmunoelectrotransferencia (WB): Una dilución 1:5 000-1:10 000 de este lote detectó el GluR1 en preparación microsómica cerebral de rata (Nº de referencia 12-144).

Other Notes

Sustituye a: 05-855

Legal Information

UPSTATE is a registered trademark of Merck KGaA, Darmstadt, Germany

Disclaimer

Salvo que se indique lo contrario en nuestro catálogo o en otra documentación de la empresa que acompañe al producto, nuestros productos están indicados sólo para investigación y no deben utilizarse para ningún otro propósito, como, entre otros, usos comerciales no autorizados, diagnóstico in vitro, usos terapéuticos ex vivo o in vivo o cualquier tipo de consumo o aplicación en humanos o animales.

¿No encuentra el producto adecuado?  

Pruebe nuestro Herramienta de selección de productos.

Clase de almacenamiento

10 - Combustible liquids

wgk_germany

WGK 2


Certificados de análisis (COA)

Busque Certificados de análisis (COA) introduciendo el número de lote del producto. Los números de lote se encuentran en la etiqueta del producto después de las palabras «Lot» o «Batch»

¿Ya tiene este producto?

Encuentre la documentación para los productos que ha comprado recientemente en la Biblioteca de documentos.

Visite la Librería de documentos

A L Mammen et al.
The Journal of biological chemistry, 272(51), 32528-32533 (1998-01-24)
Modulation of alpha-amino-3-hydroxy-5-methylisoxazole-4-propionic Acid (AMPA) receptors in the brain by protein phosphorylation may play a crucial role in the regulation of synaptic plasticity. Previous studies have demonstrated that calmodulin (CaM) kinase II can phosphorylate and modulate AMPA receptors. However, the
Zhexing Wen et al.
Nature, 515(7527), 414-418 (2014-08-19)
Dysregulated neurodevelopment with altered structural and functional connectivity is believed to underlie many neuropsychiatric disorders, and 'a disease of synapses' is the major hypothesis for the biological basis of schizophrenia. Although this hypothesis has gained indirect support from human post-mortem
Linli Qiu et al.
The Journal of steroid biochemistry and molecular biology, 156, 23-31 (2015-11-27)
Androgens have been proposed to play important roles in the regulation of hippocampus function either directly, through the androgen receptor (AR), or indirectly, through estrogen receptors (ERs), after aromatization into estradiol. Steroid receptor coactivator-1 (SRC-1) is present in the hippocampus
The striatal mosaic in primates: striosomes and matrix are differentially enriched in ionotropic glutamate receptor subunits.
Martin, L J, et al.
The Journal of Neuroscience, 13, 782-792 (1993)
Gonadectomy differentially regulates steroid receptor coactivator-1 and synaptic proteins in the hippocampus of adult female and male C57BL/6 mice.
Chen Bian,Kongjiang Zhu,Li Yang,Sen Lin,Shurong Li,Bingyin Su,Jiqiang Zhang
Synapse null

Número de artículo de comercio global

SKUGTIN
04-85504053252623066

Nuestro equipo de científicos tiene experiencia en todas las áreas de investigación: Ciencias de la vida, Ciencia de los materiales, Síntesis química, Cromatografía, Analítica y muchas otras.

Póngase en contacto con el Servicio técnico