Saltar al contenido
Merck

ABC841

Sigma-Aldrich

Anti-Caspase-14 Antibody

from rabbit, purified by affinity chromatography

Sinónimos:

Caspase-14, CASP-14

Iniciar sesiónpara Ver la Fijación de precios por contrato y de la organización

Seleccione un Tamaño



About This Item

UNSPSC Code:
12352203
eCl@ss:
32160702
NACRES:
NA.41

biological source

rabbit

Quality Level

conjugate

unconjugated

antibody form

affinity isolated antibody

antibody product type

primary antibodies

clone

polyclonal

purified by

affinity chromatography

species reactivity

human

technique(s)

immunohistochemistry: suitable
western blot: suitable

UniProt accession no.

shipped in

wet ice

target post-translational modification

unmodified

Gene Information

human ... CASP14(23581)

General description

Caspases are a family of cysteine proteases that can be divided into apoptotic and inflammatory caspase subfamilies. Caspase-14 exists as 2 subunits (p19 and p10) and is highly expressed in embryonic but not adult tissues. It is processed and activated by caspase 8 and caspase 10 in vitro, and by anti-Fas agonist antibody or TNF-related apoptosis inducing ligand in vivo. The expression and processing of this caspase may be involved in the keratinocyte terminal differentiation, which is important for the formation of the skin barrier.
~28 kDa observed. Uncharacterized bands may be observed in some lysate(s).

Immunogen

KLH-conjugated linear peptide corresponding to 16 amino acids near the C-terminus of human Caspase-14.

Application

Anti-Caspase-14 Antibody is a highly specific rabbit polyclonal antibody, that targets Caspase 14 & has been tested in western blotting & IHC.
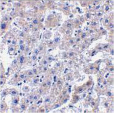
Immunohistochemistry Analysis: 2.5 μg/mL from a representative lot detected Caspase-14 in human liver tissue.

Biochem/physiol Actions

This antibody detects the pro-form of Caspase-14 as well as the large subunit cleaved form.

Analysis Note

Evaluated by Western Blotting in Jurkat cell lysate with and without blocking peptide.

Western Blotting Analysis: 1 μg/mL of this antibody detected Caspase-14 in Jurkat cell lysate with and without blocking peptide.

Other Notes

Concentration: Please refer to the Certificate of Analysis for the lot-specific concentration.

¿No encuentra el producto adecuado?  

Pruebe nuestro Herramienta de selección de productos.

Clase de almacenamiento

12 - Non Combustible Liquids

wgk_germany

WGK 2

flash_point_f

Not applicable

flash_point_c

Not applicable


Certificados de análisis (COA)

Busque Certificados de análisis (COA) introduciendo el número de lote del producto. Los números de lote se encuentran en la etiqueta del producto después de las palabras «Lot» o «Batch»

¿Ya tiene este producto?

Encuentre la documentación para los productos que ha comprado recientemente en la Biblioteca de documentos.

Visite la Librería de documentos

Número de artículo de comercio global

SKUGTIN
ABC84104053252940651

Nuestro equipo de científicos tiene experiencia en todas las áreas de investigación: Ciencias de la vida, Ciencia de los materiales, Síntesis química, Cromatografía, Analítica y muchas otras.

Póngase en contacto con el Servicio técnico