Skip to Content
Merck

ABT316

Sigma-Aldrich

Anti-LTBP-3 Antibody

from rabbit, purified by affinity chromatography

Synonym(s):

Latent-transforming growth factor beta-binding protein 3, LTBP-3

Sign Into View Organizational & Contract Pricing

Select a Size



About This Item

UNSPSC Code:
12352203
eCl@ss:
32160702
NACRES:
NA.41

biological source

rabbit

Quality Level

conjugate

unconjugated

antibody form

affinity isolated antibody

antibody product type

primary antibodies

clone

polyclonal

purified by

affinity chromatography

species reactivity

human, mouse

technique(s)

immunohistochemistry: suitable
western blot: suitable

NCBI accession no.

UniProt accession no.

shipped in

wet ice

target post-translational modification

unmodified

Gene Information

human ... LTBP3(4054)

General description

LTBP3 is a critical secreted protein that is part of the multi-protein complex that controls the action and release of the powerful developmental, immune, and signaling factor TGF-beta. LTBP3’s specific role appears to be in regulating the activation of the TGFB1 precursor complex. The removal of LTBP3 is essential for the activation of the complex. LTBP3 is expressed in many tissues including heart, skeletal muscle, prostate, testis, small intestine, ovary, pancreas, and liver. Recent research also demonstrates that LTBP3 plays important roles in many human carcinomas including breast, hepatic, and mesothelioma.
~240 kDa observed. The calculated molecular weight of this protein is 139 kDa, but can be observed at ~240 kDa due to high glycosylation.

Immunogen

KLH-conjugated linear peptide corresponding to human LTBP-3.

Application

Research Category
Cell Structure
Research Sub Category
Adhesion (CAMs)
This Anti-LTBP-3 Antibody is validated for use in Western Blotting and Immunohistochemistry for the detection of LTBP-3.
Western Blotting Analysis: 2.0 µg/mL from a representative lot detected LTBP-3 in 10 µg of U2OS conditioned media.
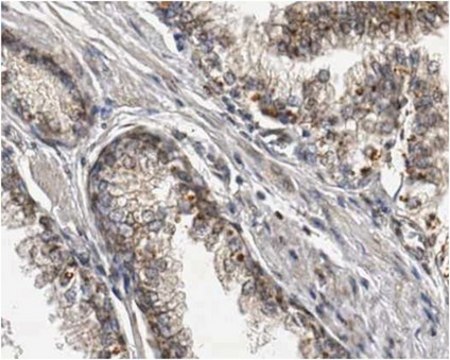
Immunohistochemistry Analysis: A 1:50 dilution from a representative lot detected LTBP-3 in human prostate tissue.

Physical form

Affinity purified
Purified rabbit polyclonal in buffer containing 0.1 M Tris-Glycine (pH 7.4), 150 mM NaCl with 0.05% sodium azide.

Preparation Note

Stable for 1 year at 2-8°C from date of receipt.

Analysis Note

Evaluated by Western Blotting in mouse testis tissue lysate.

Western Blotting Analysis: 2.0 µg/mL of this antibody detected LTBP-3 in 10 µg of mouse testis tissue lysate.

Other Notes

Concentration: Please refer to lot specific datasheet.

Disclaimer

Unless otherwise stated in our catalog or other company documentation accompanying the product(s), our products are intended for research use only and are not to be used for any other purpose, which includes but is not limited to, unauthorized commercial uses, in vitro diagnostic uses, ex vivo or in vivo therapeutic uses or any type of consumption or application to humans or animals.

Not finding the right product?  

Try our Product Selector Tool.

Storage Class Code

12 - Non Combustible Liquids

WGK

WGK 1

Flash Point(F)

Not applicable

Flash Point(C)

Not applicable


Certificates of Analysis (COA)

Search for Certificates of Analysis (COA) by entering the products Lot/Batch Number. Lot and Batch Numbers can be found on a product’s label following the words ‘Lot’ or ‘Batch’.

Already Own This Product?

Find documentation for the products that you have recently purchased in the Document Library.

Visit the Document Library

Global Trade Item Number

SKUGTIN
ABT31604055977039498

Our team of scientists has experience in all areas of research including Life Science, Material Science, Chemical Synthesis, Chromatography, Analytical and many others.

Contact Technical Service