Skip to Content
Merck

MAB3238

Sigma-Aldrich

Anti-Cytokeratin 19 Antibody, clone RCK108

clone RCK108, Chemicon®, from mouse

Synonym(s):

Anti-CK19, Anti-K19, Anti-K1CS

Sign Into View Organizational & Contract Pricing

Select a Size



About This Item

UNSPSC Code:
12352203
eCl@ss:
32160702
NACRES:
NA.41

biological source

mouse

Quality Level

conjugate

unconjugated

antibody form

purified antibody

antibody product type

primary antibodies

clone

RCK108, monoclonal

species reactivity

human

manufacturer/tradename

Chemicon®

technique(s)

flow cytometry: suitable
immunocytochemistry: suitable
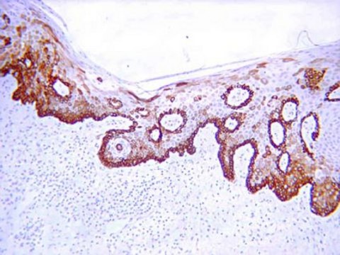
immunohistochemistry: suitable (paraffin)
western blot: suitable

isotype

IgG1κ

NCBI accession no.

UniProt accession no.

shipped in

dry ice

target post-translational modification

unmodified

Gene Information

human ... KRT19(3880)

Related Categories

General description

Cytokeratins are a subfamily of intermediate filament proteins and are characterized by a remarkable biochemical diversity, represented in epithelial tissues by at least 20 different polypeptides. They range in molecular weight from between 40 kDa and 68 kDa and isoelectric pH between 4.9 - 7.8, The individual cytokeratin polypeptides are designated 1-20. The various epithelia in the human body usually express cytokeratins which are not only characteristic of the type of epithelium, but also related to the degree of maturation or differentiation within an epithelium. Cytokeratin subtype expression patterns are used to an increasing extent in the distinction of different types of epithelial malignancies.



Cytokeratin 19 (molecular mass 40 kD) is a marker of simple epithelia. Cytokeratin 19 has been found in mesothelial and mesothelioma cells, and in ovarian cysts, cystadenomas, and ovarian carcinomas. It has been shown to be present in the basal layer of non-keratinizing stratified squamous epithelia such as the oral cavity and the ectocervix. Cytokeratin 19 has also been found in adenocarcinomas of the lung and in tumor cells of pulmonary metastases.

It has been reported that cytokeratin 19 can be found in the ductal cells of normal pancreas and in pancreas cancers. It was found that ductal cells of normal pancreas express a number of cytokeratins including cytokeratin 19, whereas acinar cells of normal pancreas also express numerous cytokeratins but not cytokeratin 19. Thus it is determined that pancreas cancers consistently express certain cytokeratins including cytokeratin 19, as do normal ductal cells, which indicates that pancreas cancers may originate from normal ductal cells.

Immunogen

Cytoskeletal preparation of T24 cells.

Application

Anti-Cytokeratin 19 Antibody, clone RCK108 is an antibody against Cytokeratin 19 for use in FC, WB, IC, IH(P).
Research Category
Cell Structure
Research Sub Category
Cytokeratins
Western blot: 1:100-1:1,000; Recognizes a 40kDa band in reduced westerns

Immunohistochemistry: 1:100-1:200 on frozen and paraffin embedded tissue (after treatment with pepsin or trypsin) sections.

Immunocytochemistry: 1:100-1:200

Flow cytometry: 1:100-1:200.



Optimal working dilutions must be determined by the end user.

Biochem/physiol Actions

Cytokeratin 19. MAB3238 reacts with glandular epithelial cells and most carcinomas. Does not react with hepatocytes and hepatocarcinoma

Physical form

Format: Purified
Liquid in buffer with 0.1% sodium azide.

Preparation Note

Maintain at -20°C in undiluted aliquots up to 6 months. Avoid repeated freeze/thaw cycles.

Other Notes

Concentration: Please refer to the Certificate of Analysis for the lot-specific concentration.

Legal Information

CHEMICON is a registered trademark of Merck KGaA, Darmstadt, Germany

Disclaimer

Unless otherwise stated in our catalog or other company documentation accompanying the product(s), our products are intended for research use only and are not to be used for any other purpose, which includes but is not limited to, unauthorized commercial uses, in vitro diagnostic uses, ex vivo or in vivo therapeutic uses or any type of consumption or application to humans or animals.

Not finding the right product?  

Try our Product Selector Tool.

Storage Class Code

12 - Non Combustible Liquids

WGK

WGK 2

Flash Point(F)

Not applicable

Flash Point(C)

Not applicable


Certificates of Analysis (COA)

Search for Certificates of Analysis (COA) by entering the products Lot/Batch Number. Lot and Batch Numbers can be found on a product’s label following the words ‘Lot’ or ‘Batch’.

Already Own This Product?

Find documentation for the products that you have recently purchased in the Document Library.

Visit the Document Library

Ji-Eun Seo et al.
ALTEX, 39(4), 583-604 (2022-07-07)
Three-dimensional (3D) culture systems are increasingly being used for genotoxicity studies due to improved cell-to-cell interactions and tissue-like structures that are limited or lacking in 2D cultures. The present study optimized a 3D culture system using metabolically
Reduced keratin expression in colorectal neoplasia and associated fields is reversible by diet and resection.
Evans, CA; Rosser, R; Waby, JS; Noirel, J; Lai, D; Wright, PC; Williams, EA; Riley et al.
BMJ Open Gastroenterology null
Natasha P Clayton et al.
Toxicologic pathology, 46(6), 653-659 (2018-08-10)
The use of three-dimensional (3-D) in vitro culture systems (spheroids, organoids) in biomolecular and drug discovery research has become increasingly popular. The popularity is due, in part, to a diminished reliance on animal bioassays and a desire to develop physiologically
Luca Pontiggia et al.
The Journal of investigative dermatology, 134(6), 1735-1742 (2014-01-23)
In our previous work, we showed that human sweat gland-derived epithelial cells represent an alternative source of keratinocytes to grow a near normal autologous epidermis. The role of subtypes of sweat gland cells in epidermal regeneration and maintenance remained unclear.
A Unique Expression of Keratin 14 in a Subset of Trophoblast Cells.
Abou-Kheir, W; Eid, A; El-Merahbi, R; Assaf, R; Daoud, G
Testing null

Global Trade Item Number

SKUGTIN
MAB323804053252503054

Our team of scientists has experience in all areas of research including Life Science, Material Science, Chemical Synthesis, Chromatography, Analytical and many others.

Contact Technical Service