Skip to Content
Merck

AB10556

Sigma-Aldrich

Anti-mGluR8 Antibody

serum, from guinea pig

Synonym(s):

glutamate metabotropic receptor 8, glutamate receptor, metabotropic 8

Sign Into View Organizational & Contract Pricing

Select a Size



About This Item

UNSPSC Code:
12352203
eCl@ss:
32160702
NACRES:
NA.41

biological source

guinea pig

Quality Level

conjugate

unconjugated

antibody form

serum

antibody product type

primary antibodies

clone

polyclonal

species reactivity

rat

species reactivity (predicted by homology)

mouse (based on 100% sequence homology), chimpanzee (based on 100% sequence homology), bovine (based on 100% sequence homology), human (based on 100% sequence homology), dog (based on 100% sequence homology), monkey (based on 100% sequence homology)

technique(s)

immunohistochemistry: suitable

NCBI accession no.

UniProt accession no.

shipped in

wet ice

target post-translational modification

unmodified

Gene Information

human ... GRM8(2918)

General description

101 kDa
L-glutamate is the major excitatory neurotransmitter in the central nervous system and activates both ionotropic and metabotropic glutamate receptors. Glutamatergic neurotransmission is involved in most aspects of normal brain function and can be perturbed in many neuropathologic conditions. The metabotropic glutamate receptors are a family of G protein-coupled receptors, that have been divided into 3 groups on the basis of sequence homology, putative signal transduction mechanisms, and pharmacologic properties. Group I includes GRM1 and GRM5 and these receptors have been shown to activate phospholipase C. Group II includes GRM2 and GRM3 while Group III includes GRM4, GRM6, GRM7 and GRM8. Group II and III receptors are linked to the inhibition of the cyclic AMP cascade but differ in their agonist selectivities. Alternatively spliced transcript variants encoding different isoforms have been described for this gene.

Immunogen

Epitope: Cytoplasmic Domain
This antibody is generated from guinea pigs immunized with a KLH-conjugated linear peptide selected from residues corresponding to the cytoplasmic domain of rat mGluR8.

Application

Anti-mGluR8 Antibody detects level of mGluR8 & has been published & validated for use in IH.
Evaluated by Western Blot in rat brain lysate. Although intended for use in IHC analysis, a band was observed at ~101kDa.
Research Category
Neuroscience
Research Sub Category
Neurotransmitters & Receptors

Biochem/physiol Actions

This antibody recognizes mGluR8.

Physical form

Unpurified
Unpurified guinea pig polyclonal serum with 0.05% sodium azide.

Preparation Note

Stable for 1 year at -20°C from date of receipt.
Handling Recommendations: Upon receipt and prior to removing the cap, centrifuge the vial and gently mix the solution. Aliquot into microcentrifuge tubes and store at -20°C. Avoid repeated freeze/thaw cycles, which may damage IgG and affect product performance.

Analysis Note

Control
Rat brain lysate
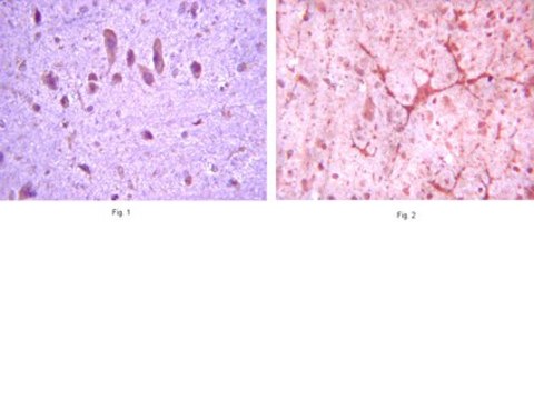
Immunohistochemistry Analysis: : 1:100-500 dilution from a previous lot detected mGluR8 on rat brain tissue.

Disclaimer

Unless otherwise stated in our catalog or other company documentation accompanying the product(s), our products are intended for research use only and are not to be used for any other purpose, which includes but is not limited to, unauthorized commercial uses, in vitro diagnostic uses, ex vivo or in vivo therapeutic uses or any type of consumption or application to humans or animals.

Not finding the right product?  

Try our Product Selector Tool.

Storage Class Code

10 - Combustible liquids

WGK

WGK 1


Certificates of Analysis (COA)

Search for Certificates of Analysis (COA) by entering the products Lot/Batch Number. Lot and Batch Numbers can be found on a product’s label following the words ‘Lot’ or ‘Batch’.

Already Own This Product?

Find documentation for the products that you have recently purchased in the Document Library.

Visit the Document Library

Syutaro Toya et al.
The European journal of neuroscience, 40(11), 3627-3634 (2014-09-16)
Early-life stress induces several neuropsychological disorders in adulthood, including depression. Such disorders may be induced by functional alteration of the glutamatergic system. However, their underlying mechanisms have not yet been fully clarified. Furthermore, the involvement of glucocorticoids, which are representative

Global Trade Item Number

SKUGTIN
AB1055604053252370533

Our team of scientists has experience in all areas of research including Life Science, Material Science, Chemical Synthesis, Chromatography, Analytical and many others.

Contact Technical Service