219361 Sigma-AldrichAnti-Cathepsin D Rabbit pAb
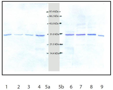
Anti-Cathepsin D, rabbit polyclonal, recognizes the ~50 kDa latent and the ~30 kDa active forms in breast carcinoma cell line. It is validated for ELISA, Western blotting, and immunoelectrophoresis.
More>> Anti-Cathepsin D, rabbit polyclonal, recognizes the ~50 kDa latent and the ~30 kDa active forms in breast carcinoma cell line. It is validated for ELISA, Western blotting, and immunoelectrophoresis. Less<<Recommended Products
Overview
| Replacement Information |
|---|
Key Spec Table
| Species Reactivity | Host | Antibody Type |
|---|---|---|
| H | Rb | Polyclonal Antibody |
Pricing & Availability
| Catalogue Number | Availability | Packaging | Qty/Pack | Price | Quantity | |
|---|---|---|---|---|---|---|
| 219361-1MLCN |
|
Plastic ampoule | 1 ml |
|
— |
| References |
|---|
| Product Information | |
|---|---|
| Form | Liquid |
| Formulation | In PBS. |
| Positive control | Human liver tissue |
| Preservative | ≤0.1% sodium azide |
| Quality Level | MQ100 |
| Physicochemical Information |
|---|
| Dimensions |
|---|
| Materials Information |
|---|
| Toxicological Information |
|---|
| Safety Information according to GHS |
|---|
| Safety Information |
|---|
| Product Usage Statements |
|---|
| Packaging Information |
|---|
| Transport Information |
|---|
| Supplemental Information |
|---|
| Specifications |
|---|
| Global Trade Item Number | |
|---|---|
| Catalogue Number | GTIN |
| 219361-1MLCN | 04055977202199 |
Documentation
Anti-Cathepsin D Rabbit pAb SDS
| Title |
|---|
Anti-Cathepsin D Rabbit pAb Certificates of Analysis
| Title | Lot Number |
|---|---|
| 219361 |
Brochure
| Title |
|---|
| Cathepsins and Related Products Technical Bulletin |




