Millipore Sigma Vibrant Logo

178612 Anti-Aquaporin 2 (254-271) Rabbit pAb

178612
查看价格及供货情况

概述

Replacement Information

重要规格表

Species ReactivityHostAntibody Type
H, M, RRbPolyclonal Antibody

价格及供货情况

产品目录编号 库存情况包装 数量 / 包装 价格 数量
178612-1STCN
正在查询供货情况......
目前缺货
目前缺货
有货 
停产
少量现货
供货情况有待确认
    其余:另行通知
      其余:另行通知
      另行通知
      联系客户服务
      Contact Customer Service

      塑胶安瓿;塑胶针药瓶 1 st
      正在检索价格......
      无法检索价格。
      最小订购数量为倍数
      Maximum Quantity is
      以订单确认为准 更多信息
      您节约了 ()。
       
      Request Pricing
      Description
      OverviewRecognizes the ~40 kDa and ~29 kDa forms of aquaporin-2 in rat kidney membrane. Supplied with a control peptide (AQP2254-271 immunogen peptide).
      Catalogue Number178612
      Brand Family Calbiochem®
      SynonymsAnti-AQP2, Anti-AQP-CD, Anti-WCH-CD
      Application Data
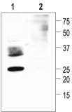
      Detection of rat aquaporin 2 by immunoblotting. Samples: Rat kidney membranes (lane 1) and preincubated with a control peptide antigen (lane 2). Primary antibody: Anti-Aquaporin 2 (254-271) Rabbit pAb (Cat. No. 178612) (1:200). Detection: chemiluminescence.

      Detection of rat aquaporin 2 by immunohistochemistry. Sample: Rat kidney showing the inner medulla. Primary antibody: Anti-Aquaporin 2 (254-271) Rabbit pAb (Cat. No. 178612) (1:100). Detection: fluorescence.
      References
      ReferencesFushimi, K., et al. 1997. J. Biol. Chem. 272, 14800.
      Fushimi, K., et al. 1993. Nature 361, 549.
      Ma, T., et al. 1993. Biochem. Biophys. Res. Commun. 197, 654.
      Nielson, S., et al. 1993. Proc. Natl. Acad. Sci. USA 90, 11663.
      Product Information
      FormLyophilized
      Formulation50 µl antibody lyophilized from PBS, 5% sucrose, pH 7.4 and 40 µg control peptide lyophilized from PBS.
      Preservative≤0.1% sodium azide
      Quality LevelMQ100
      Applications
      Application ReferencesImmunoprecipitation Fushimi, K., et al. 1997. J. Biol. Chem. 272, 14800. Immunohistochemistry Fushimi, K., et al. 1993. Nature 361, 549. Nielson, S., et al. 1993. Proc. Natl. Acad. Sci. USA 90, 11663.
      Key Applications Immunoblotting (Western Blotting)
      Immunohistochemistry
      Immunoprecipitation
      Application NotesImmunoblotting (1:200-1:600)
      Immunohistochemistry (see application reference)
      Immunoprecipitation (see application reference)
      Application CommentsImmunogen peptide is identical in rat and mouse protein, and differs by one amino acid in the human sequence. The epitope is unique for AQP2 and is not present in other known related proteins. It is identical in mouse and rat, and only slightly different (17/18 identical) in human. To prepare a negative control, preincubate 1 µg peptide with 1 µg antibody for 1 h at room temperature. Variables associated with assay conditions will dictate the optimal working dilution.
      Biological Information
      Immunogena synthetic peptide [(KY)RQSVELHSPQSLPRGSKA] corresponding to amino acids 254-271 of rat and mouse AQP2, conjugated to KLH
      ImmunogenMouse/Rat
      HostRabbit
      IsotypeIgG
      Species Reactivity
      • Human
      • Mouse
      • Rat
      Antibody TypePolyclonal Antibody
      Concentration Label Please refer to vial label for lot-specific concentration
      Physicochemical Information
      Dimensions
      Materials Information
      Toxicological Information
      Safety Information according to GHS
      Safety Information
      Product Usage Statements
      Storage and Shipping Information
      Ship Code Ambient Temperature Only
      Toxicity Irritant
      Storage -20°C
      Do not freeze Ok to freeze
      Special InstructionsPlease see antibody label for lot specific reconstitution instructions. Further dilutions should be made in a physiological buffer containing a carrier protein such as 1-3% BSA. To reduce nonspecific staining, centrifuge all antibody preparations before use (10000 x g for 5 min) to remove any aggregates. Following reconstitution, aliquot and freeze (-20°C). Reconstitute the peptide in 100 µl deionized water, aliquot, and freeze (-20°C).
      Packaging Information
      Transport Information
      Supplemental Information
      Specifications
      Global Trade Item Number
      产品目录编号 GTIN
      178612-1STCN 04055977204902

      Documentation

      Anti-Aquaporin 2 (254-271) Rabbit pAb 分析证书

      标题批号
      178612

      参考

      参考信息概述
      Fushimi, K., et al. 1997. J. Biol. Chem. 272, 14800.
      Fushimi, K., et al. 1993. Nature 361, 549.
      Ma, T., et al. 1993. Biochem. Biophys. Res. Commun. 197, 654.
      Nielson, S., et al. 1993. Proc. Natl. Acad. Sci. USA 90, 11663.
      数据表

      Note that this data sheet is not lot-specific and is representative of the current specifications for this product. Please consult the vial label and the certificate of analysis for information on specific lots. Also note that shipping conditions may differ from storage conditions.

      Revision14-February-2008 JSW
      SynonymsAnti-AQP2, Anti-AQP-CD, Anti-WCH-CD
      ApplicationImmunoblotting (1:200-1:600)
      Immunohistochemistry (see application reference)
      Immunoprecipitation (see application reference)
      Application Data
      Detection of rat aquaporin 2 by immunoblotting. Samples: Rat kidney membranes (lane 1) and preincubated with a control peptide antigen (lane 2). Primary antibody: Anti-Aquaporin 2 (254-271) Rabbit pAb (Cat. No. 178612) (1:200). Detection: chemiluminescence.

      Detection of rat aquaporin 2 by immunohistochemistry. Sample: Rat kidney showing the inner medulla. Primary antibody: Anti-Aquaporin 2 (254-271) Rabbit pAb (Cat. No. 178612) (1:100). Detection: fluorescence.
      DescriptionProtein A purified rabbit polyclonal antibody. Recognizes the ~40 kDa and ~29 kDa aquaporin-2 proteins. Supplied with a control peptide (AQP2254-271 immunogen peptide).
      BackgroundAQP2 is the vasopressin-regulated water channel of the apical membrane of collecting duct cells. Defects in AQP2 are a cause of an autosomal dominant form of nephrogenic diabetes insipidus (NDI).
      HostRabbit
      Immunogen speciesMouse/Rat
      Immunogena synthetic peptide [(KY)RQSVELHSPQSLPRGSKA] corresponding to amino acids 254-271 of rat and mouse AQP2, conjugated to KLH
      IsotypeIgG
      Specieshuman, mouse, rat
      FormLyophilized
      Formulation50 µl antibody lyophilized from PBS, 5% sucrose, pH 7.4 and 40 µg control peptide lyophilized from PBS.
      Concentration Label Please refer to vial label for lot-specific concentration
      Preservative≤0.1% sodium azide
      CommentsImmunogen peptide is identical in rat and mouse protein, and differs by one amino acid in the human sequence. The epitope is unique for AQP2 and is not present in other known related proteins. It is identical in mouse and rat, and only slightly different (17/18 identical) in human. To prepare a negative control, preincubate 1 µg peptide with 1 µg antibody for 1 h at room temperature. Variables associated with assay conditions will dictate the optimal working dilution.
      Storage -20°C
      Do Not Freeze Ok to freeze
      Special InstructionsPlease see antibody label for lot specific reconstitution instructions. Further dilutions should be made in a physiological buffer containing a carrier protein such as 1-3% BSA. To reduce nonspecific staining, centrifuge all antibody preparations before use (10000 x g for 5 min) to remove any aggregates. Following reconstitution, aliquot and freeze (-20°C). Reconstitute the peptide in 100 µl deionized water, aliquot, and freeze (-20°C).
      Toxicity Irritant
      ReferencesFushimi, K., et al. 1997. J. Biol. Chem. 272, 14800.
      Fushimi, K., et al. 1993. Nature 361, 549.
      Ma, T., et al. 1993. Biochem. Biophys. Res. Commun. 197, 654.
      Nielson, S., et al. 1993. Proc. Natl. Acad. Sci. USA 90, 11663.
      Application referencesImmunoprecipitation Fushimi, K., et al. 1997. J. Biol. Chem. 272, 14800. Immunohistochemistry Fushimi, K., et al. 1993. Nature 361, 549. Nielson, S., et al. 1993. Proc. Natl. Acad. Sci. USA 90, 11663.