Skip to Content
Merck

AB15325

Anti-Nicotinic Acetylcholine Receptor β2 Antibody

from rabbit, purified by affinity chromatography

Synonym(s):

Neuronal nicotinic acetylcholine receptor beta 2

Sign In to View Organizational & Contract Pricing.

Select a Size


About This Item

UNSPSC Code:
12352203
NACRES:
NA.41
eCl@ss:
32160702
Technical Service
Need help? Our team of experienced scientists is here for you.
Let Us Assist
Technical Service
Need help? Our team of experienced scientists is here for you.
Let Us Assist

Product Name

Anti-Nicotinic Acetylcholine Receptor β2 Antibody, from rabbit, purified by affinity chromatography

biological source

rabbit

antibody form

affinity isolated antibody

antibody product type

primary antibodies

clone

polyclonal

purified by

affinity chromatography

species reactivity

rat, mouse, human

technique(s)

western blot: suitable

NCBI accession no.

UniProt accession no.

shipped in

wet ice

target post-translational modification

unmodified

Analysis Note

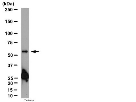
Routinely evaluated by Western Blot in rat e16 brain lysate.
Western Blot Analysis: : 1:20,000 dilution of this lot detected Nicotinic Acetylcholine Receptor β2 on 10 µg of rat e16 brain lysate.

Application

Detect Nicotinic Acetylcholine Receptor β2 using this Anti-Nicotinic Acetylcholine Receptor β2 Antibody validated for use in WB.

Biochem/physiol Actions

This antibody recognizes Nicotinic Acetylcholine Receptor β2.

General description

Approx. 55 kDa
Nicotinic acetylcholine receptors, also known as nAChRs, belong to a family of proteins called ligand gated ion channels and are widely expressed throughout the nervous system. nAChRs are made up of 5 subunits (two α and three β). Subunits α4 and β2 (α4β2) is the main receptor in the mammalian brain and has been associated with the positive reinforcing effects of nicotine. The relative contribution of nAChRs β2 and β4 are not well understood because the subunit structure that mediates synaptic transmission in the peripheral nervous system is unknown.

Immunogen

This antibody is generated from rabbits immunized with a KLH-conjugated linear peptide selected from residues of Nicotinic Acetylcholine Receptor β2.

Other Notes

Concentration: Please refer to the Certificate of Analysis for the lot-specific concentration.

Not finding the right product?  

Try our Product Selector Tool.

Storage Class

12 - Non Combustible Liquids

wgk

WGK 1

flash_point_f

Not applicable

flash_point_c

Not applicable


Certificates of Analysis (COA)

Search for Certificates of Analysis (COA) by entering the products Lot/Batch Number. Lot and Batch Numbers can be found on a product’s label following the words ‘Lot’ or ‘Batch’.

Already Own This Product?

Find documentation for the products that you have recently purchased in the Document Library.

Visit the Document Library

Sarah Y Sottile et al.
The Journal of neuroscience : the official journal of the Society for Neuroscience, 37(47), 11377-11389 (2017-10-25)
Acetylcholine (ACh) is a potent neuromodulator capable of modifying patterns of acoustic information flow. In auditory cortex, cholinergic systems have been shown to increase salience/gain while suppressing extraneous information. However, the mechanism by which cholinergic circuits shape signal processing in
Charles C Lee et al.
Neuroreport, 26(12), 688-694 (2015-07-15)
The thalamocortical pathways form highly topographic connections from the primary sensory thalamic nuclei to the primary cortical areas. The synaptic properties of these thalamocortical connections are modifiable by activation from various neuromodulators, such as acetylcholine. Cholinergic activation can alter functional

Our team of scientists has experience in all areas of research including Life Science, Material Science, Chemical Synthesis, Chromatography, Analytical and many others.

Contact Technical Service