Skip to Content
Merck

AB3565

Anti-PARP (214/215) cleavage site Antibody

Chemicon®, from rabbit

Synonym(s):

Poly [ADP-ribose] polymerase 1, PARP-1, NAD(+) ADP-ribosyltransferase 1, ADPRT 1, Poly[ADP-ribose] synthase 1, ARTD1

Sign In to View Organizational & Contract Pricing.

Select a Size


About This Item

UNSPSC Code:
12352203
NACRES:
NA.41
eCl@ss:
32160702
Conjugate:
unconjugated
Clone:
polyclonal
Application:
ICC, WB
Citations:
22
Technical Service
Need help? Our team of experienced scientists is here for you.
Let Us Assist
Technical Service
Need help? Our team of experienced scientists is here for you.
Let Us Assist

biological source

rabbit

conjugate

unconjugated

antibody form

affinity isolated antibody

antibody product type

primary antibodies

clone

polyclonal

purified by

affinity chromatography

species reactivity

mouse, bovine, rat, human

manufacturer/tradename

Chemicon®

technique(s)

immunocytochemistry: suitable, western blot: suitable

NCBI accession no.

UniProt accession no.

shipped in

dry ice

target post-translational modification

unmodified

Quality Level

Gene Information

bovine ... Parp1(286764)
human ... PARP1(142)
mouse ... Parp1(11545)
rat ... Parp1(25591)

General description

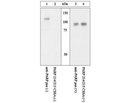
Poly (ADP-Ribose) Polymerase (PARP) is a 116 kDa nuclear protein which is strongly activated by binding to DNA strand breaks. PARP plays a role in DNA repair as well as in other cellular processes, including DNA replication, cell proliferation and differentiation. During apoptosis, ICE family members, such as caspase-3 and -7, cleave PARP to yield an 85 kDa and a 25 kDa fragment. PARP cleavage is considered to be one of the classical characteristics of apoptosis. This antibody specifically recognizes the 85 kDa fragment of cleaved PARP and can be used as a marker for detecting apoptotic cells.

Immunogen

Synthetic peptide corresponding to the N-terminus of cleavage site (214/215) of human PARP.

Application

Anti-PARP (214/215) cleavage site Antibody detects level of PARP (214/215) cleavage site & has been published & validated for use in WB & IC.
For Western blot applications, we recommend using the antibody at a 1:1,000 starting dilution.
Research Category
Apoptosis & Cancer

Metabolism
Research Sub Category
Apoptosis - Additional

Enzymes & Biochemistry

Biochem/physiol Actions

Reactivity with other species has not been confirmed. This sequence is 86% homologous in mouse, rat, and hamster.
The antibody specifically recognizes the 85 kDa fragment of cleaved PARP and can be used as a marker for detecting apoptotic cells.

Physical form

Dulbecco′s phosphate buffered saline (without Mg2+ and Ca2+), pH 7.3 (+/- 0.1), 50% glycerol with 1.0 mg/mL BSA (IgG, protease free) as a carrier. 0.05% sodium azide
ImmunoAffinity Purified

Preparation Note

Store at -20°C. We recommend a brief centrifugation before opening to settle vial contents. Then, apportion into working aliquots and store at -20°C. For shipment or short-term storage (up to one week), 2-8°C is sufficient.

Analysis Note

Control
Jurkat and HeLa cells treated with staurosporine or etoposide (25 µM for 3 hours).
Purified from rabbit serum by affinity chromatography using a peptide corresponding to the PARP cleavage site.

Other Notes

Replaces: 04-575; 04-576

Legal Information

CHEMICON is a registered trademark of Merck KGaA, Darmstadt, Germany

Disclaimer

Unless otherwise stated in our catalog or other company documentation accompanying the product(s), our products are intended for research use only and are not to be used for any other purpose, which includes but is not limited to, unauthorized commercial uses, in vitro diagnostic uses, ex vivo or in vivo therapeutic uses or any type of consumption or application to humans or animals.

Not finding the right product?  

Try our Product Selector Tool.

Storage Class

12 - Non Combustible Liquids

wgk

WGK 2

flash_point_f

Not applicable

flash_point_c

Not applicable


Certificates of Analysis (COA)

Search for Certificates of Analysis (COA) by entering the products Lot/Batch Number. Lot and Batch Numbers can be found on a product’s label following the words ‘Lot’ or ‘Batch’.

Already Own This Product?

Find documentation for the products that you have recently purchased in the Document Library.

Visit the Document Library

Tasnuva D Kabir et al.
Hepatology (Baltimore, Md.), 67(1), 216-231 (2017-08-24)
Sorafenib remains the only approved drug for treating patients with advanced hepatocellular carcinoma (HCC). However, the therapeutic effect of sorafenib is transient, and patients invariably develop sorafenib resistance (SR). Recently, TYRO3, a member of the TYRO3-AXL-MER family of receptor tyrosine
Bone morphogenetic protein-2/-4 upregulation promoted by endothelial cells in coculture enhances mouse embryoid body differentiation.
Talavera-Adame, D; Gupta, A; Kurtovic, S; Chaiboonma, KL; Arumugaswami, V; Dafoe, DC
Stem Cells and Development null
Nikita Wadhwani et al.
Journal of pediatric surgery, 56(6), 1157-1164 (2021-03-26)
Novel therapies are needed for patients with hepatoblastoma because of an increasing incidence of disease and poor prognosis for advanced, refractory, and recurrent disease. PIM kinases promote tumorigenesis in hepatoblastoma. A novel PIM inhibitor, PIM447, has shown promise in inhibiting
Long Chen et al.
Cell cycle (Georgetown, Tex.), 15(6), 840-849 (2016-02-24)
Since altered energy metabolism is a hallmark of cancer, many drugs targeting metabolic pathways are in active clinical trials. The tumor suppressor p53 is often inactivated in cancer, either through downregulation of protein or loss-of-function mutations. As such, stabilization of
Lidiia Astakhova et al.
PloS one, 11(7), e0154102-e0154102 (2016-07-22)
The effect of short chain fatty acids (SCFAs) on gene expression in human, malignant cell lines was investigated, with a focus on signaling pathways. The commensal microbial flora produce high levels of SCFAs with established physiologic effects in humans. The

Global Trade Item Number

SKUGTIN
AB356504053252623127

Our team of scientists has experience in all areas of research including Life Science, Material Science, Chemical Synthesis, Chromatography, Analytical and many others.

Contact Technical Service