Skip to Content
Merck

AB5940

Anti-BACE Antibody, CT

Chemicon®, from rabbit

Synonym(s):

ASP2, BACE1, Beta Secretase, beta-Site APP Cleaving Enzyme

Sign In to View Organizational & Contract Pricing.

Select a Size



About This Item

UNSPSC Code:
12352203
NACRES:
NA.41
eCl@ss:
32160702

Product Name

Anti-BACE Antibody, CT, Chemicon®, from rabbit

biological source

rabbit

conjugate

unconjugated

antibody form

affinity isolated antibody

antibody product type

primary antibodies

clone

polyclonal

purified by

affinity chromatography

species reactivity

human

manufacturer/tradename

Chemicon®

technique(s)

immunohistochemistry: suitable
western blot: suitable

UniProt accession no.

shipped in

wet ice

target post-translational modification

unmodified

Quality Level

Gene Information

human ... BACE1(23621)

Analysis Note

Control
Tested on human brain tissue lysate.

Application

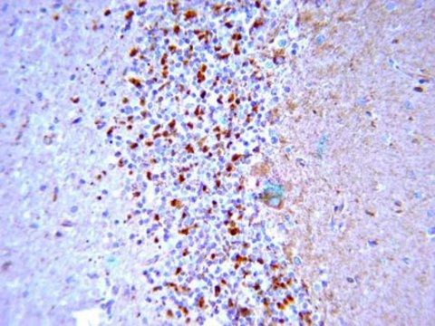
This Anti-BACE Antibody, C-terminus is validated for use in WB, IH for the detection of BACE.
Western blot on COS7 transfected cells. The antibody recognizes a band of ~70-75 kDa. It also recognizes a band at ~45 kDa.

Immunohistochemistry on rat and monkey.

Optimal working dilutions must be determined by end user.

Biochem/physiol Actions

BACE (beta-site APP Cleaving Enzyme).

General description

70 kDa
Alzheimer′s disease (AD) is characterized by the progressive formation in the brain of insoluble amyloid plaques and vascular deposits consisting of the 4-kD amyloid b-peptide (Ab). Ab generation is initiated by proteolytic cleavage of the amyloid precursor protein (APP) at the N-terminal of Ab by b-secretase. The Ab peptide is then released by proteolytic cleavage at its C-terminus by g-secretase. Because both these proteases are prime candidates for therapeutic intervention, an intense search has been underway to identify these two enzymes.A human transmembrane aspartic-protease (Asp2), referred to as BACE, has been characterized and shown to have all the properties of b-secretase. Four groups in all have now confirmed that BACE (or Asp2) is a convincing candidate for b-secretase.

BACE is an N-glycosylated integral membrane aspartyl protease with Mr=70 kDa. Mature BACE is produced from the immature form through a series of post-translational proteolytic cleavages and glycosylation. Sequence analysis has revealed that the immature form of BACE contains an N-terminal signal sequence (residues 1-21) followed by a large catalytic domain, a single transmembrane domain (residues 461-477), and a short cytoplasmic domain (residues 478-501). The signal sequence (1-21) is cleaved from the immature form by a signal peptidase located in the endoplasmic reticulum (ER), yielding the proBACE protein (Mr=75 kDa) which starts at residue 22. The proBACE protein is modified by cleavage of 24 N-terminal residues (aa 22-45), producing the mature BACE protein.

Legal Information

CHEMICON is a registered trademark of Merck KGaA, Darmstadt, Germany

Not finding the right product?  

Try our Product Selector Tool.

Storage Class

12 - Non Combustible Liquids

wgk

WGK 1

flash_point_f

Not applicable

flash_point_c

Not applicable


Certificates of Analysis (COA)

Search for Certificates of Analysis (COA) by entering the products Lot/Batch Number. Lot and Batch Numbers can be found on a product’s label following the words ‘Lot’ or ‘Batch’.

Already Own This Product?

Find documentation for the products that you have recently purchased in the Document Library.

Visit the Document Library

Ju-Fang Huang et al.
BMC complementary and alternative medicine, 12, 189-189 (2012-10-23)
Our previous studies indicated that oxidative stress up-regulated the expression of β-amyloid precursor protein cleavage enzyme-1 (BACE1) in rat retina. Pharmacological reports have shown Timosaponin-BII, a purified extract originating from Chinese medical herb Rhizoma Anemarrhenae, is characterized as an antioxidant.
Shengliang Li et al.
Molecular therapy. Nucleic acids, 1, e20-e20 (2013-01-25)
The fluorescent quantum dots (QDs) delivered small interfering RNAs (siRNAs) targeting β-secretase (BACE1) to achieve high transfection efficiency of siRNAs and reduction of β-amyloid (Aβ) in nerve cells. The CdSe/ZnS QDs with the conjugation of amino-polyethylene glycol (PEG) were synthesized.
Experimental traumatic brain injury induces rapid aggregation and oligomerization of amyloid-beta in an Alzheimer's disease mouse model.
Washington, PM; Morffy, N; Parsadanian, M; Zapple, DN; Burns, MP
Journal of Neurotrauma null
Michela Guglielmotto et al.
Journal of Alzheimer's disease : JAD, 71(3), 907-920 (2019-08-28)
Neuroinflammation is involved in the pathogenesis of Alzheimer's disease, and the transcription factor NF-κB is a player in this event. We found here that the ischemic damage alone or in association with Aβ1-42 activates the NF-κB pathway, induces an increase
Ruishan Wang et al.
The Journal of biological chemistry, 290(37), 22532-22542 (2015-08-05)
Insulin resistance and neuroinflammation have emerged as two likely key contributors in the pathogenesis of Alzheimer disease (AD), especially in those sporadic AD cases compromised by diabetes or cardiovascular disease. Amyloid-β (Aβ) deposition and its associated inflammatory response are hallmarks

Related Content

Alzheimer’s Disease: Amyloid Cascade and Beyond Product Focus

Global Trade Item Number

SKUGTIN
AB594004053252471674

Our team of scientists has experience in all areas of research including Life Science, Material Science, Chemical Synthesis, Chromatography, Analytical and many others.

Contact Technical Service