Skip to Content
Merck

ABC342

Anti-KPNA2 Antibody

from rabbit, purified by affinity chromatography

Synonym(s):

Karyopherin alpha nucleoprotein interactor 2, Importin alpha2, IPOA1, RAG cohort protein 1, QIP2, Karyopherin subunit alpha-2, SRP1-alpha

Sign In to View Organizational & Contract Pricing.

Select a Size


About This Item

UNSPSC Code:
12352203
NACRES:
NA.41
eCl@ss:
32160702
Technical Service
Need help? Our team of experienced scientists is here for you.
Let Us Assist
Technical Service
Need help? Our team of experienced scientists is here for you.
Let Us Assist

biological source

rabbit

antibody form

affinity isolated antibody

antibody product type

primary antibodies

clone

polyclonal

purified by

affinity chromatography

species reactivity

rat, human

technique(s)

immunohistochemistry: suitable, western blot: suitable

UniProt accession no.

shipped in

wet ice

target post-translational modification

unmodified

Gene Information

human ... KPNA2(3838)

General description

Karyopherin alpha nucleoprotein interactor 2 (KPNA2), also known as Importin alpha-2, RAG cohort protein 1 (RCH1), SRP1-alpha QIP2 (SRP1), is the alpha subunit 2 of karyopherin which functions as a cargo carrier that transports various complexes from cytoplasm into nucleus and forms a complex with importin subunit beta-1 and. KPNA2 is expressed ubiquitously and contains one IBB/importin beta domain, ten Armadillo repeats and three intervening nuclear localization sequences (NLSs). Recent studies have shown that KPNA2 plays an important role in tumorigenesis and tumor progression. KPNA2 is a heterodimer with KPNB1. It has been implied to interact with HIV-1 Vpr, PLAG1, ANP32E, ARL4A, CTNNBL1, NBN and APEX1 (via N-terminus). KPNA2 is also a component of a complex containing CSE1L, RAN and KPNA2 and interacts directly with CSE1L.
~55 kDa observed. Uncharacterized bands may appear in some lysate(s).

Immunogen

KLH-conjugated linear peptide corresponding to human KPNA2.

Application

Detect Importin using this rabbit polyclonal antibody, Anti-KPNA2 Antibody validated for use in western blotting & IHC.
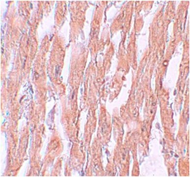
Immunohistochemistry Analysis: 5 µg/mL from a representative lot detected KPNA2 in human heart tissue.
Research Category
Apoptosis & Cancer
Research Sub Category
Apoptosis - Additional

Physical form

Antigen Affinity Purified
Purified rabbit polyclonal in buffer containing PBS with up to 0.1% sodium azide.

Preparation Note

Stable for 1 year at 2-8°C from date of receipt.

Analysis Note

Control
Rat heart tissue lysate
Evaluated by Western Blotting in rat heart tissue lysate.

Western Blotting Analysis: 2 µg/mL of this antibody detected KPNA2 in 15 µg of rat heart tissue lysate.

Other Notes

Concentration: Please refer to the Certificate of Analysis for the lot-specific concentration.

Disclaimer

Unless otherwise stated in our catalog or other company documentation accompanying the product(s), our products are intended for research use only and are not to be used for any other purpose, which includes but is not limited to, unauthorized commercial uses, in vitro diagnostic uses, ex vivo or in vivo therapeutic uses or any type of consumption or application to humans or animals.

Not finding the right product?  

Try our Product Selector Tool.

wgk

WGK 2

flash_point_f

Not applicable

flash_point_c

Not applicable

Storage Class

12 - Non Combustible Liquids


Certificates of Analysis (COA)

Search for Certificates of Analysis (COA) by entering the products Lot/Batch Number. Lot and Batch Numbers can be found on a product’s label following the words ‘Lot’ or ‘Batch’.

Already Own This Product?

Find documentation for the products that you have recently purchased in the Document Library.

Visit the Document Library

Our team of scientists has experience in all areas of research including Life Science, Material Science, Chemical Synthesis, Chromatography, Analytical and many others.

Contact Technical Service