Skip to Content
Merck

ABC344

Anti-ATG13 Antibody

from rabbit, purified by affinity chromatography

Synonym(s):

Autophagy-related protein 13

Sign In to View Organizational & Contract Pricing.

Select a Size


About This Item

UNSPSC Code:
12352203
NACRES:
NA.41
eCl@ss:
32160702
Conjugate:
unconjugated
Clone:
polyclonal
Application:
IF, IHC, WB
Citations:
2
Technical Service
Need help? Our team of experienced scientists is here for you.
Let Us Assist
Technical Service
Need help? Our team of experienced scientists is here for you.
Let Us Assist

biological source

rabbit

conjugate

unconjugated

antibody form

affinity isolated antibody

antibody product type

primary antibodies

clone

polyclonal

purified by

affinity chromatography

species reactivity

mouse, rat

species reactivity (predicted by homology)

human (immunogen homology)

technique(s)

immunofluorescence: suitable, immunohistochemistry: suitable, western blot: suitable

UniProt accession no.

shipped in

wet ice

target post-translational modification

unmodified

Quality Level

Gene Information

human ... ATG13(9776)
mouse ... Atg13(51897)

General description

Autophagy-related protein 13 (ATG13) is an autophagy factor that is involved in the preservation of cellular nutrients under starvation conditions as well as under normal turnover of cytosolic components and is negatively regulated by TOR (Target of rapamycin) through phosphorylation of autophagy protein ATG1. Knockdown of ATG13 inhibits autophagosome formation.
~49 kDa observed. Uniprot describes 5 isoforms ranging between ~44 kDa and ~60 kDa Uncharacterized bands may appear in some lysate(s).

Immunogen

KLH-conjugated linear peptide corresponding to human ATG13.

Application

Anti-ATG13 Antibody is a highly specific rabbit polyclonal antibody, that targets ATG13 & has been tested in western blotting, IHC & Immunofluorescence.
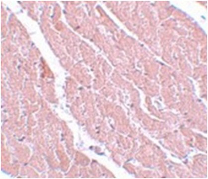
Immunohistochemistry Analysis: 5 µg/mL from a representative lot detected ATG13 in mouse heart tissue.

Immunofluorescence Analysis: 20 μg/mL from a representative lot detected ATG13 in mouse heart cells.
Research Category
Apoptosis & Cancer
Research Sub Category
Apoptosis - Additional

Physical form

Antigen Affinity Purified
Purified rabbit polyclonal in buffer containing PBS with 0.1% sodium azide.

Preparation Note

Stable for 1 year at 2-8°C from date of receipt.

Analysis Note

Control
Rat heart tissue lysate
Evaluated by Western Blotting/Peptide Inhibition Assay in rat heart tissue lysate.

Western Blotting/Peptide Inhibition Assay Analysis: 1 µg/mL of this antibody detected ATG13 in 15 µg of rat heart tissue lysate.

Other Notes

Concentration: Please refer to the Certificate of Analysis for the lot-specific concentration.

Disclaimer

Unless otherwise stated in our catalog or other company documentation accompanying the product(s), our products are intended for research use only and are not to be used for any other purpose, which includes but is not limited to, unauthorized commercial uses, in vitro diagnostic uses, ex vivo or in vivo therapeutic uses or any type of consumption or application to humans or animals.

Not finding the right product?  

Try our Product Selector Tool.

wgk

WGK 2

flash_point_f

Not applicable

flash_point_c

Not applicable

Storage Class

12 - Non Combustible Liquids


Certificates of Analysis (COA)

Search for Certificates of Analysis (COA) by entering the products Lot/Batch Number. Lot and Batch Numbers can be found on a product’s label following the words ‘Lot’ or ‘Batch’.

Already Own This Product?

Find documentation for the products that you have recently purchased in the Document Library.

Visit the Document Library

Christopher J Shoemaker et al.
PLoS biology, 17(4), e2007044-e2007044 (2019-04-02)
The power of forward genetics in yeast is the foundation on which the field of autophagy research firmly stands. Complementary work on autophagy in higher eukaryotes has revealed both the deep conservation of this process, as well as novel mechanisms
Xiaohui Yang et al.
Cancer biology & therapy, 19(8), 706-714 (2018-04-04)
(-)-Guaiol, a sesquiterpene alcohol with the guaiane skeleton, has been found in many Chinese medicinal plants and been reported to comprise various guaiane natural products that are well known for their antibacterial activities. Previously, we have shown its antitumor activity

Global Trade Item Number

SKUGTIN
ABC34404053252901379

Our team of scientists has experience in all areas of research including Life Science, Material Science, Chemical Synthesis, Chromatography, Analytical and many others.

Contact Technical Service