Skip to Content
Merck

ABC350

Anti-CIDE-A Antibody

from rabbit, purified by affinity chromatography

Synonym(s):

Cell death activator CIDE-A, Cell death-inducing DFFA-like effector A

Sign In to View Organizational & Contract Pricing.

Select a Size

Change View

About This Item

UNSPSC Code:
12352203
NACRES:
NA.41
eCl@ss:
32160702
Conjugate:
unconjugated
Clone:
polyclonal
Application:
IF, IHC, WB
Citations:
1
Technical Service
Need help? Our team of experienced scientists is here for you.
Let Us Assist


biological source

rabbit

Quality Level

conjugate

unconjugated

antibody form

affinity isolated antibody

antibody product type

primary antibodies

clone

polyclonal

purified by

affinity chromatography

species reactivity

mouse

technique(s)

immunofluorescence: suitable, immunohistochemistry: suitable, western blot: suitable

UniProt accession no.

shipped in

wet ice

target post-translational modification

unmodified

Gene Information

mouse ... Cidea(12683)

General description

Cell death activator CIDE-A (CIDE-A) binds to lipid droplets and regulates their enlargement which restricts lipolysis and favoring storage. Cell death signals are transduced by death domain containing adapter molecules and members of the caspase family of proteases. These death signals finally cause the degradation of chromosomal DNA by activated DNase. CIDE-A is highly expressed in brown adipose tissue and, at lower levels, in white adipose tissue.
~25 kDa observed

Immunogen

Epitope: C-terminus
KLH-conjugated linear peptide corresponding to the C-terminus of mouse CIDE-A.

Application

Detect CIDE-A using this rabbit polyclonal antibody, Anti-CIDE-A Antibody validated for use in western blotting, IHC & Immunofluorescence.
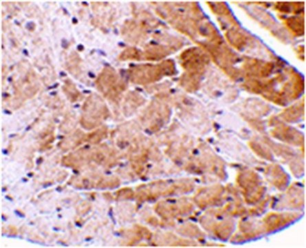
Immunohistochemistry Analysis: 5 µg/mL from a representative lot detected CIDE-A in mouse heart tissue.

Immunofluorescence Analysis: 20 µg/mL from a representative lot detected CIDE-A in mouse heart tissue.
Research Category
Apoptosis & Cancer
Research Sub Category
Apoptosis - Additional

Biochem/physiol Actions

This antibody recognizes the C-terminus of CIDE-A.

Physical form

Antigen Affinity Purified
Purified rabbit polyclonal in buffer containing PBS with up to 0.1% sodium azide.

Preparation Note

Stable for 1 year at 2-8°C from date of receipt.

Analysis Note

Control
Mouse heart tissue lysate
Evaluated by Western Blotting in mouse heart tissue lysate.

Western Blotting Analysis: A 1:500 dilution of this antibody detected CIDE-A in 15 µg of mouse heart tissue lysate.

Other Notes

Concentration: Please refer to the Certificate of Analysis for the lot-specific concentration.

Disclaimer

Unless otherwise stated in our catalog or other company documentation accompanying the product(s), our products are intended for research use only and are not to be used for any other purpose, which includes but is not limited to, unauthorized commercial uses, in vitro diagnostic uses, ex vivo or in vivo therapeutic uses or any type of consumption or application to humans or animals.


Still not finding the right product?

Try our Product Selector Tool to narrow your options


Storage Class

12 - Non Combustible Liquids

wgk

WGK 2

flash_point_f

Not applicable

flash_point_c

Not applicable



Certificates of Analysis (COA)

Search for Certificates of Analysis (COA) by entering the products Lot/Batch Number. Lot and Batch Numbers can be found on a product’s label following the words ‘Lot’ or ‘Batch’.

Already Own This Product?

Find documentation for the products that you have recently purchased in the Document Library.

Visit the Document Library



Achintya Patel et al.
Journal of cellular and molecular medicine, 26(15), 4183-4194 (2022-07-09)
Excessive dietary intake of fat results in its storage in white adipose tissue (WAT). Energy expenditure through lipid oxidation occurs in brown adipose tissue (BAT). Certain WAT depots can undergo a change termed beiging where markers that BAT express are



Global Trade Item Number

SKUGTIN
ABC35004053252878800