Skip to Content
Merck

ABC85

Anti-ANGPTL2 Antibody

from rabbit, purified by affinity chromatography

Synonym(s):

Angiopoietin-related protein 2, Angiopoietin-like protein 2

Sign In to View Organizational & Contract Pricing.

Select a Size


About This Item

UNSPSC Code:
12352203
NACRES:
NA.41
eCl@ss:
32160702
Conjugate:
unconjugated
Clone:
polyclonal
Application:
IHC, WB
Citations:
-
Technical Service
Need help? Our team of experienced scientists is here for you.
Let Us Assist
Technical Service
Need help? Our team of experienced scientists is here for you.
Let Us Assist

biological source

rabbit

conjugate

unconjugated

antibody form

affinity isolated antibody

antibody product type

primary antibodies

clone

polyclonal

purified by

affinity chromatography

species reactivity

human

technique(s)

immunohistochemistry: suitable, western blot: suitable

NCBI accession no.

UniProt accession no.

shipped in

wet ice

target post-translational modification

unmodified

Quality Level

Gene Information

human ... ANGPTL2(23452)

General description

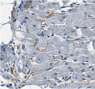
The protein named Angiopoietin-related protein 2 (ANGPTL2) or Angiopoietin-like protein 2 and encoded by the human gene named ANGPTL2/ARP2 is a secreted protein that is highly expressed in several tissues including the heart, spleen, stomach, colon, ovary and skeletal muscle. ANGPTL2 functions to induce endothelial cell sprouting in preparation for angiogenesis. ANGPTL2 is produced by endothelial cells and ANGPTL2 appears to function as an autocrine in helping to promote the sprouting response. ANGPTL2 also appears to use the same autocrine function in certain cancers and in particular in driving of metastasis. Recent research have demonstrated that tumor cell–derived ANGPTL2 increased in vitro motility and invasion in an autocrine/paracrine manner, conferring an aggressive metastatic tumor phenotype on the cells examined. Thus research is now focused on blocking the function of ANGPTL2 as one possible treatment for metastatic cancers. EMD-Millipore’s Anti-ANGPTL2 rabbit polyclonal antibody has been tested in western blot on mouse small intestine tissue extracts and in paraffin embedded immunohistochemistry on human heart tissue sections.
~60 kDa observed

Immunogen

N-Trx, C-6XHis-tagged recombinant protein corresponding to human ANGPTL2.

Application

Immunohistochemistry Analysis: A 1:50 dilution from a representative lot detected ANGPTL2 in human heart sections tissue.
Research Category
Apoptosis & Cancer
Research Sub Category
Apoptosis - Additional
This Anti-ANGPTL2 antibody is validated for use in WB, IH for the detection of ANGPTL2.

Physical form

Affinity purified
Purified rabbit polyclonal in buffer containing 0.1 M Tris-Glycine (pH 7.4), 150 mM NaCl with 0.05% sodium azide.

Preparation Note

Stable for 1 year at 2-8°C from date of receipt.

Analysis Note

Evaluated by Western Blotting in transfected HEK293 with ANGPTL2.

Western Blotting Analysis: A 1:250 dilution of this antibody detected ANGPTL2 in 10 µg of transfected HEK293 with ANGPTL2.

Other Notes

Concentration: Please refer to lot specific datasheet.

Disclaimer

Unless otherwise stated in our catalog or other company documentation accompanying the product(s), our products are intended for research use only and are not to be used for any other purpose, which includes but is not limited to, unauthorized commercial uses, in vitro diagnostic uses, ex vivo or in vivo therapeutic uses or any type of consumption or application to humans or animals.

Not finding the right product?  

Try our Product Selector Tool.

Storage Class

12 - Non Combustible Liquids

wgk

WGK 1

flash_point_f

Not applicable

flash_point_c

Not applicable


Certificates of Analysis (COA)

Search for Certificates of Analysis (COA) by entering the products Lot/Batch Number. Lot and Batch Numbers can be found on a product’s label following the words ‘Lot’ or ‘Batch’.

Already Own This Product?

Find documentation for the products that you have recently purchased in the Document Library.

Visit the Document Library

Global Trade Item Number

SKUGTIN
ABC8504055977122299

Our team of scientists has experience in all areas of research including Life Science, Material Science, Chemical Synthesis, Chromatography, Analytical and many others.

Contact Technical Service