Skip to Content
Merck

ABC924

Anti-CtBP-2 Antibody

from rabbit, purified by affinity chromatography

Synonym(s):

C-terminal-binding protein 2, CtBP-2, CtBP2

Sign In to View Organizational & Contract Pricing.

Select a Size


About This Item

UNSPSC Code:
12352203
NACRES:
NA.41
eCl@ss:
32160702
Conjugate:
unconjugated
Clone:
polyclonal
Application:
IHC, WB
Citations:
-
Technical Service
Need help? Our team of experienced scientists is here for you.
Let Us Assist
Technical Service
Need help? Our team of experienced scientists is here for you.
Let Us Assist

Quality Level

biological source

rabbit

conjugate

unconjugated

antibody form

affinity isolated antibody

antibody product type

primary antibodies

clone

polyclonal

purified by

affinity chromatography

species reactivity

human

species reactivity (predicted by homology)

chicken (based on 100% sequence homology), bovine (based on 100% sequence homology), porcine (based on 100% sequence homology), horse (based on 100% sequence homology), sheep (based on 100% sequence homology), mouse (based on 100% sequence homology)

technique(s)

immunohistochemistry: suitable, western blot: suitable

NCBI accession no.

UniProt accession no.

shipped in

dry ice

target post-translational modification

unmodified

Gene Information

human ... CTBP2(1488)

General description

C-terminal-binding protein 2 (UniProt P56545; also known as CtBP2) is a nuclear protein encoded by the CTBP2 gene (Gene ID 1488) in human. CtBP1 and CtBP2 are closely related proteins that are encoded by the vertebrate genome and perform both unique and duplicative functions. Upon activation by nicotinamide adenine dinucleotide binding to their dehydrogenase domains, CtBP1 and CtBP2 exert transcriptional repression activity primarily via recruitment of a corepressor complex that consists of histone deacetylases (HDACs) and histone methyltransferases, although CtBPs can also repress transcription through HDAC-independent mechanisms. A critical function of CtBPs lies in the transcriptional repression of pro-apoptotic genes such as Bax, Puma, Bik, and Noxa. CtBP2 is essential for proper development of the nervous system. Acetylation by histone acetyl transferase p300 regulates CtBP2 activity and subcellular localization, while microenvironmental oxygen levels influences the dimerization, acetylation, and thereby the activity of CtBP2 in proliferating neural stem cells (NSCs).
~50 kDa observed. 48.9 kDa (Isoform 1; calculated); 109.2 kDa (Isoform 2/Ribeye; calculated)." ==> ~50 kDa observed. 48.9 kDa (Isoform 1; calculated); 109.2 kDa (Isoform 2/Ribeye; calculated).

Immunogen

Epitope: C-terminus
KLH-conjugated linear peptide corresponding to the C-terminus of human CtBP-2.

Application

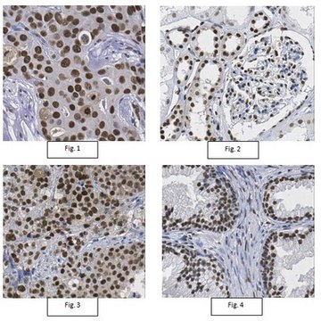
Immunohistochemistry Analysis: A 1:1,000 dilution from a representative lot detected CtBP-2 in human breast cancer cells, human kidney, human ovarian cancer cells, and human prostate cancer cells.
Research Category
Apoptosis & Cancer
Research Sub Category
Apoptosis - Additional
This Anti-CtBP-2 Antibody is validated for use in Western Blotting, Immunohistochemistry for the detection of CtBP-2 .

Biochem/physiol Actions

Expected to react with spliced variant Ribeye (isoform 2).

Physical form

Affinity purified
Purified rabbit polyclonal antibody in buffer containing 0.1 M Tris-Glycine (pH 7.4), 150 mM NaCl with 0.05% sodium azide.

Preparation Note

Stable for 1 year at 2-8°C from date of receipt.

Analysis Note

Evaluated by Western Blotting in HeLa cell lysate.

Western Blotting Analysis: 0.25 µg/mL of this antibody detected CtBP-2 in 10 µg of HeLa cell lysate.

Other Notes

Concentration: Please refer to lot specific datasheet.

Disclaimer

Unless otherwise stated in our catalog or other company documentation accompanying the product(s), our products are intended for research use only and are not to be used for any other purpose, which includes but is not limited to, unauthorized commercial uses, in vitro diagnostic uses, ex vivo or in vivo therapeutic uses or any type of consumption or application to humans or animals.

Not finding the right product?  

Try our Product Selector Tool.

Storage Class

12 - Non Combustible Liquids

wgk

WGK 1

flash_point_f

Not applicable

flash_point_c

Not applicable


Certificates of Analysis (COA)

Search for Certificates of Analysis (COA) by entering the products Lot/Batch Number. Lot and Batch Numbers can be found on a product’s label following the words ‘Lot’ or ‘Batch’.

Already Own This Product?

Find documentation for the products that you have recently purchased in the Document Library.

Visit the Document Library

Related Content

A major focus of breast cancer research is to understand the mechanisms responsible for disease progression and drug resistance. Toward that end, it has been found that approximately two thirds of all human breast carcinomas overexpress the Estrogen Receptor α (ERα) protein and it remains the primary pharmacological target for endocrine therapy1,2. The normal cellular function of ERα is as a transcription factor that mediates a wide variety of physiological processes, many of which are dependent upon phosphorylation of the receptor at specific amino acid residues3,4. Indeed, ERα is known to be phosphorylated at a multitude of different sites, yet how these all correlate to disease remains unclear5. Here, we interrogated multiple sites of ERα for phosphorylation status by screening an extensive panel of different breast cancer patient samples and other non-breast cancer tissue microarray (TMA) slide samples to determine their relevance to disease.

Global Trade Item Number

SKUGTIN
ABC92404055977173000

Our team of scientists has experience in all areas of research including Life Science, Material Science, Chemical Synthesis, Chromatography, Analytical and many others.

Contact Technical Service