Skip to Content
Merck

ABC927

Anti-LDHB Antibody

from rabbit, purified by affinity chromatography

Synonym(s):

L-lactate dehydrogenase B chain (EC:1.1.1.27), LDH-B, LDH heart subunit, LDH-H, Renal carcinoma antigen NY-REN-46, LDHB

Sign In to View Organizational & Contract Pricing.

Select a Size


About This Item

UNSPSC Code:
12352203
NACRES:
NA.41
eCl@ss:
32160702
Conjugate:
unconjugated
Clone:
polyclonal
Application:
IHC, WB
Citations:
1
Technical Service
Need help? Our team of experienced scientists is here for you.
Let Us Assist
Technical Service
Need help? Our team of experienced scientists is here for you.
Let Us Assist

biological source

rabbit

conjugate

unconjugated

antibody form

affinity isolated antibody

antibody product type

primary antibodies

clone

polyclonal

purified by

affinity chromatography

species reactivity

human

species reactivity (predicted by homology)

rat (based on 100% sequence homology), canine (based on 100% sequence homology), mouse (based on 100% sequence homology), rabbit (based on 100% sequence homology), bovine (based on 100% sequence homology), pig (based on 100% sequence homology), horse (based on 100% sequence homology), chimpanzee (based on 100% sequence homology)

technique(s)

immunohistochemistry: suitable (paraffin), western blot: suitable

NCBI accession no.

UniProt accession no.

shipped in

wet ice

target post-translational modification

unmodified

Quality Level

Gene Information

human ... LDHB(3945)

General description

L-lactate dehydrogenase B chain (EC 1.1.1.27; UniProt P07195; also known as Epididymis secretory protein Li 281, Lactate dehydrogenase H chain, LDH-B, LDH-H, LDH heart subunit, Renal carcinoma antigen NY-REN-46) is encoded by the LDHB (also known as LDHBD, TRG-5, HEL-S-281) gene (Gene ID 3945) in human. Originally described by Otto Warburg and now commonly known as the Warburg effect refers to the phenomenon that many tumor cells use aerobic glycolysis instead of mitochondrial respiration for energy production to support cell growth and proliferation. Enzymes involved in the complex network of metabolic pathways are therefore being studied as potential targets for cancer treatment. Lactate dehydrogenase (LDH) is a tetrameric enzyme composed of two different subunits, LDHA and LDHB, which can assemble into five different combinations (LDH1 is comprised of four LDHB subunits; LDH2 contains three LDHB and one LDHA subunit; LDH3 contains two LDHB and two LDHA subunits; LDH4 contains one LDHB and three LDHA subunits; LDH5 contains four LDHA subunits). LDHB is ubiquitously expressed and the predominant isoform in heart muscle, while LDHA is the predominant isoform in skeletal muscle and other highly glycolytic tissues. LDH catalyzes the reversible conversion of pyruvate into lactate. An upregulation of LDH therefore reduces the oxygen dependency and ensures an efficient anaerobic/glycolytic metabolism in tumor cells. Serum LDHB levels, for example, are reported to elevate in lung cancer patients and progressively increase with the clinical stage of non-small cell lung cancer (NSCLC).
~37 kDa observed

Immunogen

KLH-conjugated linear peptide corresponding to human LDHB sequence from the C-terminal half.

Application

Detect LDHb using this rabbit polyclonal Anti-LDHB Antibody, Cat. No. ABC927, validated for use in Western Blotting and Immunohistochemistry (Paraffin).
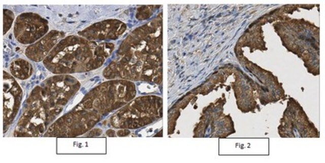
Immunohistochemistry Analysis: A 1:250-1,000 dilution from a representative lot detected LDHB in normal human prostate tissue, as well as human cancer cells in Non-Hodgkin lymphoma, kidney, colon, and lung tumor tissues.

Analysis Note

Evaluated by Western Blotting in human PANC-1 cell lysate.

Western Blotting Analysis: 0.25 µg/mL of this antibody detected LDHB in 10 µg of human PANC-1 cell lysate.

Other Notes

Concentration: Please refer to lot specific datasheet.

Not finding the right product?  

Try our Product Selector Tool.

Storage Class

12 - Non Combustible Liquids

wgk

WGK 1

flash_point_f

Not applicable

flash_point_c

Not applicable


Certificates of Analysis (COA)

Search for Certificates of Analysis (COA) by entering the products Lot/Batch Number. Lot and Batch Numbers can be found on a product’s label following the words ‘Lot’ or ‘Batch’.

Already Own This Product?

Find documentation for the products that you have recently purchased in the Document Library.

Visit the Document Library

Maitham A Khajah et al.
Frontiers in pharmacology, 12, 747001-747001 (2021-11-09)
Background: Lactate dehydrogenase (LDH) plays an important role in cancer pathogenesis and enhanced expression/activity of this enzyme has been correlated with poor prognosis. In this study we determined the expression profile of LDH-A and B in normal as well as

Related Content

A major focus of breast cancer research is to understand the mechanisms responsible for disease progression and drug resistance. Toward that end, it has been found that approximately two thirds of all human breast carcinomas overexpress the Estrogen Receptor α (ERα) protein and it remains the primary pharmacological target for endocrine therapy1,2. The normal cellular function of ERα is as a transcription factor that mediates a wide variety of physiological processes, many of which are dependent upon phosphorylation of the receptor at specific amino acid residues3,4. Indeed, ERα is known to be phosphorylated at a multitude of different sites, yet how these all correlate to disease remains unclear5. Here, we interrogated multiple sites of ERα for phosphorylation status by screening an extensive panel of different breast cancer patient samples and other non-breast cancer tissue microarray (TMA) slide samples to determine their relevance to disease.

Global Trade Item Number

SKUGTIN
ABC92704055977177022

Our team of scientists has experience in all areas of research including Life Science, Material Science, Chemical Synthesis, Chromatography, Analytical and many others.

Contact Technical Service