Skip to Content
Merck

ABC930

Anti-PATE1 Antibody

from rabbit, purified by affinity chromatography

Synonym(s):

Prostate and testis expressed protein 1

Sign In to View Organizational & Contract Pricing.

Select a Size


About This Item

UNSPSC Code:
12352203
NACRES:
NA.41
eCl@ss:
32160702
Conjugate:
unconjugated
Clone:
polyclonal
Application:
IHC, WB
Citations:
2
Technical Service
Need help? Our team of experienced scientists is here for you.
Let Us Assist
Technical Service
Need help? Our team of experienced scientists is here for you.
Let Us Assist

biological source

rabbit

conjugate

unconjugated

antibody form

affinity isolated antibody

antibody product type

primary antibodies

clone

polyclonal

purified by

affinity chromatography

species reactivity

human

technique(s)

immunohistochemistry: suitable (paraffin), western blot: suitable

NCBI accession no.

UniProt accession no.

shipped in

wet ice

target post-translational modification

unmodified

Quality Level

Gene Information

human ... PATE1(160065)

Looking for similar products? Visit Product Comparison Guide

General description

Prostate and testis expressed protein 1 (PATE1) is a secreted protein that, as the name suggests, is expressed exclusively in the prostate and testis. PATE1 is up regulated in the prostate epithelial cells during cancer, and its extreme specificity of expression makes it a potential target for immunotherapy in prostate cancer. PATE1 is the founding member of new syntenic loci in humans and mice that encode secreted proteins that have 10 cysteine residues. The PATE family has three-fingered protein/Ly-6/urokinase-type plasminogen activator receptor (uPAR) domains that shape three-fingered proteins (TFPs). Additional members include PATE-M, PATE-DJ, and PATE-B that are also expressed in prostate and testis and sperm. Related proteins, PATE-P and PATE-Q are expressed only in placenta. Research indicates that PATE proteins may have something to do with fertility and recent research showed that addition PATE-like genes were expressed in neuron-rich tissues and thus may have a role in neurological function or transmission.
~14 kDa observed. Uncharacterized band(s) may appear in some lysates.

Immunogen

GST-tagged recombinant protein corresponding to human PATE1.

Application

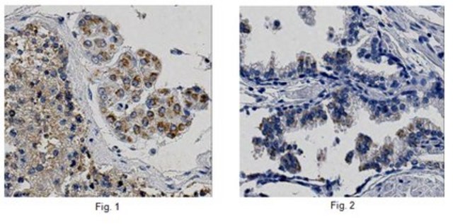
Immunohistochemistry Analysis: A 1:50 dilution from a representative lot detected PATE1 in human testis and human prostate tissue.
Research Category
Apoptosis & Cancer
Research Sub Category
Apoptosis - Additional
This Anti-PATE1 Antibody is validated for use in Western Blotting and Immunohistochemistry (Paraffin) for the detection of PATE1.

Physical form

Affinity purified
Purified rabbit polyclonal in buffer containing 0.1 M Tris-Glycine (pH 7.4), 150 mM NaCl with 0.05% sodium azide.

Preparation Note

Stable for 1 year at 2-8°C from date of receipt.

Analysis Note

Evaluated by Western Blotting in PC3 cell lysate.

Western Blotting Analysis: A 1:500 dilution of this antibody detected PATE1 in 10 µg of PC3 cell lysate.

Other Notes

Concentration: Please refer to lot specific datasheet.

Disclaimer

Unless otherwise stated in our catalog or other company documentation accompanying the product(s), our products are intended for research use only and are not to be used for any other purpose, which includes but is not limited to, unauthorized commercial uses, in vitro diagnostic uses, ex vivo or in vivo therapeutic uses or any type of consumption or application to humans or animals.

Not finding the right product?  

Try our Product Selector Tool.

Storage Class

12 - Non Combustible Liquids

wgk

WGK 1


Certificates of Analysis (COA)

Search for Certificates of Analysis (COA) by entering the products Lot/Batch Number. Lot and Batch Numbers can be found on a product’s label following the words ‘Lot’ or ‘Batch’.

Already Own This Product?

Find documentation for the products that you have recently purchased in the Document Library.

Visit the Document Library

Global Trade Item Number

SKUGTIN
ABC93004053252993022

Our team of scientists has experience in all areas of research including Life Science, Material Science, Chemical Synthesis, Chromatography, Analytical and many others.

Contact Technical Service