Skip to Content
Merck

ABD24

Anti-Dermo-1 Antibody

from rabbit, purified by affinity chromatography

Synonym(s):

Twist-related protein 2, Class A basic helix-loop-helix protein 39, bHLHa39, Dermis-expressed protein 1, Dermo-1

Sign In to View Organizational & Contract Pricing.

Select a Size


About This Item

UNSPSC Code:
12352203
NACRES:
NA.41
eCl@ss:
32160702
Conjugate:
unconjugated
Clone:
polyclonal
Application:
IHC, WB
Citations:
3
Technical Service
Need help? Our team of experienced scientists is here for you.
Let Us Assist
Technical Service
Need help? Our team of experienced scientists is here for you.
Let Us Assist

biological source

rabbit

conjugate

unconjugated

antibody form

affinity isolated antibody

antibody product type

primary antibodies

clone

polyclonal

purified by

affinity chromatography

species reactivity

human, rat

species reactivity (predicted by homology)

chicken (based on 100% sequence homology), mouse (based on 100% sequence homology)

technique(s)

immunohistochemistry: suitable (paraffin), western blot: suitable

NCBI accession no.

UniProt accession no.

shipped in

wet ice

target post-translational modification

unmodified

Quality Level

Gene Information

human ... TWIST2(117581)

General description

Dermo-1, also known as Twist-related protein 2, is a basic helix-loop-helix transcription factor that has been shown to be a negative regulator for gene transcription and apoptosis. Basic helix-loop-helix transcription factors are implicated in cell lineage determination and differentiation. Dermo-1 shares extensive homology with another basic helix-loop-helix transcription factor, Twist. Studies suggest that Dermo-1 may inhibit osteoblast maturation during osteoblast development and maintain cells in preosteoblast phenotype.
~18 kDa observed

Immunogen

KLH-conjugated linear peptide corresponding to human Dermo-1.

Application

Anti-Dermo-1 Antibody is an antibody against Dermo-1 for use in WB, IH(P).
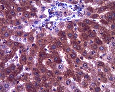
Immunohistochemistry Analysis: A 1:50 dilution from a representative lot detected Dermo-1 in rat liver tissue.
Research Category
Stem Cell Research
Research Sub Category
Transcription Factors

Physical form

Affinity purified
Purified rabbit polyclonal in buffer containing 0.1 M Tris-Glycine (pH 7.4), 150 mM NaCl with 0.05% sodium azide.

Preparation Note

Stable for 1 year at 2-8°C from date of receipt.

Analysis Note

Control
Rat liver tissue lysate
Evaluated by Western Blot in rat liver tissue lysate.

Western Blot Analysis: 0.05 µg/mL of this antibody detected Dermo-1 on 10 µg of rat liver tissue lysate.

Other Notes

Concentration: Please refer to the Certificate of Analysis for the lot-specific concentration.

Disclaimer

Unless otherwise stated in our catalog or other company documentation accompanying the product(s), our products are intended for research use only and are not to be used for any other purpose, which includes but is not limited to, unauthorized commercial uses, in vitro diagnostic uses, ex vivo or in vivo therapeutic uses or any type of consumption or application to humans or animals.

Not finding the right product?  

Try our Product Selector Tool.

Storage Class

12 - Non Combustible Liquids

wgk

WGK 1

flash_point_f

Not applicable

flash_point_c

Not applicable


Certificates of Analysis (COA)

Search for Certificates of Analysis (COA) by entering the products Lot/Batch Number. Lot and Batch Numbers can be found on a product’s label following the words ‘Lot’ or ‘Batch’.

Already Own This Product?

Find documentation for the products that you have recently purchased in the Document Library.

Visit the Document Library

Marco M Hefti et al.
Journal of neuropathology and experimental neurology, 78(10), 930-938 (2019-09-11)
Tau hyperphosphorylation, mostly at serine (Ser) or threonine (Thr) residues, plays a key role in the pathogenesis of Alzheimer disease (AD) and other tauopathies. Rodent studies show similar hyperphosphorylation in the developing brain, which may be involved in regulating axonal
Gustavo Morrone Parfitt et al.
Nature communications, 15(1), 447-447 (2024-01-11)
Accumulation of advanced glycation end products (AGEs) on biopolymers accompanies cellular aging and drives poorly understood disease processes. Here, we studied how AGEs contribute to development of early onset Parkinson's Disease (PD) caused by loss-of-function of DJ1, a protein deglycase.
Lily Sarrafha et al.
iScience, 26(9), 107525-107525 (2023-08-30)
The hypothalamus is a region of the brain that plays an important role in regulating body functions and behaviors. There is a growing interest in human pluripotent stem cells (hPSCs) for modeling diseases that affect the hypothalamus. Here, we established

Global Trade Item Number

SKUGTIN
ABD2404053252533044

Our team of scientists has experience in all areas of research including Life Science, Material Science, Chemical Synthesis, Chromatography, Analytical and many others.

Contact Technical Service