Skip to Content
Merck

ABE1331

Anti-Zinc finger protein Eos Antibody

from rabbit, purified by affinity chromatography

Synonym(s):

Zinc finger protein Eos, Ikaros family zinc finger protein 4

Sign In to View Organizational & Contract Pricing.

Select a Size


About This Item

UNSPSC Code:
12352203
NACRES:
NA.41
eCl@ss:
32160702
Conjugate:
unconjugated
Clone:
polyclonal
Application:
ICC, WB
Citations:
1
Technical Service
Need help? Our team of experienced scientists is here for you.
Let Us Assist
Technical Service
Need help? Our team of experienced scientists is here for you.
Let Us Assist

biological source

rabbit

conjugate

unconjugated

antibody form

affinity isolated antibody

antibody product type

primary antibodies

clone

polyclonal

purified by

affinity chromatography

species reactivity

human

species reactivity (predicted by homology)

mouse (based on 100% sequence homology)

technique(s)

immunocytochemistry: suitable, western blot: suitable

NCBI accession no.

UniProt accession no.

shipped in

wet ice

target post-translational modification

unmodified

Quality Level

Gene Information

human ... IKZF4(64375)

General description

Zinc finger protein Eos, also known as Zinc finger protein Eos, or Ikaros family zinc finger protein 4, and encoded by the gene name IKZF4/ KIAA1782/ ZNFN1A4, is a member of the Ikaros C2H2-type zinc-finger protein family. Zinc finger protein Eos is a DNA-binding protein that binds to the 5′GGGAATRCC-3′ Ikaros-binding sequence. It is also a transcriptional repressor, which interacts with SPI1 and MITF to repress transcription of the CTSK and ACP5 promoters via recruitment of corepressors SIN3A and CTBP2. Zinc finger protein Eos may be involved in the development of central and peripheral nervous systems. Zinc finger protein Eos interacts with other family members: IKZF1, IKZF2, IKZF3 AND IKZF5; as well as CTBP2, SPI1 and MITF. Zinc finger protein Eos is highly expressed in skeletal muscle, and with low levels of expression in heart, thymus, kidney, liver, and spleen. Zinc finger protein Eos is also expressed in the hematopoietic cell lines MOLT-4, NALM-6 and K-562. High level of expression has been detected in THP-1 and M-07e cell lines, which have characteristics of myeloid and early megakaryocytic cells respectively.
~60 kDa observed. This antibody is predicted to detect both isoforms of Zinc finger protein Eos (~64 & ~59 kDa) based on immunogen sequence. Uncharacterized band(s) may appear in some lysates.

Immunogen

KLH-conjugated linear peptide corresponding to human Zinc finger protein Eos near the C-terminus.

Application

This Anti-Zinc finger protein Eos antibody is validated for use in WB, IC for the detection of Zinc finger protein Eos.
Western Blotting Analysis: 1.0 µg/mL from a representative lot detected Zinc finger protein Eos in 10 µg of human thymus tissue lysate.
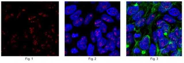
Immunocytochemistry Analysis: 1.0 µg/mL from a representative lot detected Zinc finger protein Eos in HepG2 cells.

Biochem/physiol Actions

Immunogen sequence is 93% homologous to Bovine.

Analysis Note

Evaluated by Western Blotting in HepG2 cell lysate.

Western Blotting Analysis: 1.0 µg/mL of this antibody detected Zinc finger protein Eos in 10 µg of HepG2 cell lysate.

Other Notes

Concentration: Please refer to lot specific datasheet.

Not finding the right product?  

Try our Product Selector Tool.

Storage Class

12 - Non Combustible Liquids

wgk

WGK 1

flash_point_f

Not applicable

flash_point_c

Not applicable


Certificates of Analysis (COA)

Search for Certificates of Analysis (COA) by entering the products Lot/Batch Number. Lot and Batch Numbers can be found on a product’s label following the words ‘Lot’ or ‘Batch’.

Already Own This Product?

Find documentation for the products that you have recently purchased in the Document Library.

Visit the Document Library

Kaitlin A Read et al.
Journal of immunology (Baltimore, Md. : 1950), 199(7), 2377-2387 (2017-08-30)
B cell lymphoma-6 (Bcl-6) is a transcriptional repressor that is required for the differentiation of T follicular helper (TFH) cell populations. Currently, the molecular mechanisms underlying the transcriptional regulation of Bcl-6 expression are unclear. In this study, we have identified

Global Trade Item Number

SKUGTIN
ABE133104055977117011

Our team of scientists has experience in all areas of research including Life Science, Material Science, Chemical Synthesis, Chromatography, Analytical and many others.

Contact Technical Service