Skip to Content
Merck

ABE1400

Anti-TFE3

from rabbit, purified by affinity chromatography

Synonym(s):

Transcription factor E3, bHLHe33, Class E basic helix-loop-helix protein 33

Sign In to View Organizational & Contract Pricing.

Select a Size


About This Item

eCl@ss:
32160702
UNSPSC Code:
12352203
NACRES:
NA.46
Conjugate:
unconjugated
Clone:
polyclonal
Application:
ICC, WB
Citations:
2
Technical Service
Need help? Our team of experienced scientists is here for you.
Let Us Assist
Technical Service
Need help? Our team of experienced scientists is here for you.
Let Us Assist

biological source

rabbit

conjugate

unconjugated

antibody form

affinity isolated antibody

antibody product type

primary antibodies

clone

polyclonal

purified by

affinity chromatography

species reactivity

mouse, human

technique(s)

immunocytochemistry: suitable, western blot: suitable

NCBI accession no.

UniProt accession no.

shipped in

ambient

target post-translational modification

unmodified

Quality Level

Gene Information

human ... TFE3(7030)

General description

Transcription factor E3 (UniProt P19532; also known as bHLHe33, Class E basic helix-loop-helix protein 33, TFE3) is encoded by the TFE3 (also known as BHLHE33) gene (Gene ID 7030) in human. TFE3 contains adjacent helix-loop-helix (HLH) and leucine zipper (LZ) domains flanked by an upstream basic region. It specifically recognizes and binds E-box sequences (5′-CANNTG-3′). TFE3 is ubiquitously expressed and can directly associate with DNA as either homodimers or heterodimers formed with two related proteins, TFEB or TFEC. In association with TFEB, TFE3 activates the expression of CD40L in T-cells, thereby playing a role in T-cell-dependent antibody responses in activated CD4+ T-cells and in thymus-dependent humoral immunity. TFE3 binds to and activates the microE3 motif of the immunoglobulin heavy-chain enhancer to induce B-cell-specific gene transcription and DNA recombination. TFEB is expressed at low levels in the embryo, but is expressed at high levels in the trophoblast cells of the placenta, where it plays a critical role in regulating normal vascularization. It has been shown that the exit from pluripotency is gated by intracellular redistribution of TFE3. Chromosomal aberrations involving TFE3 have been reported in patients with papillary renal cell carcinoma. Ref.: Betschinger, J., et al. (2013). Cell 153, 335-347.
~75 kDa observed. Target band size appears larger than the calculated molecular weight of 61.52 kDa due to posttranslational modification. Uncharacterized bands may be observed in some lysate(s).

Immunogen

KLH-conjugated linear peptide corresponding to a leucine zipper region sequence of human TFE3.

Application

Anti-TFE3, Cat. No. ABE1400, is a highly specific rabbit polyclonal antibody that targets transcription factor E3 (TFE3) and has been tested in Immunocytochemistry and Western Blotting.
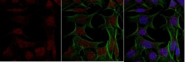
Immunocytochemistry Analysis: A 1:500 dilution from a representative lot detected TFE3 in 4% paraformaldehyde-fixed, 0.5% Triton X-100-permeablized MEF-1 mouse embryonic fibrolasts.
Research Category
Epigenetics & Nuclear Function

Biochem/physiol Actions

This polyclonal antibody targets the human TFE3 leucine zipper region sequence.

Physical form

Affinity purified.
Purified rabbit polyclonal antibody in buffer containing 0.1 M Tris-Glycine (pH 7.4), 150 mM NaCl with 0.05% sodium azide.

Preparation Note

Stable for 1 year at 2-8°C from date of receipt.

Analysis Note

Evaluated by Western Blotting in NIH/3T3 nuclear extract.

Western Blotting Analysis: 0.1 µg/mL of this antibody detected TFE3 in 10 µg of NIH/3T3 nuclear extract.

Other Notes

Concentration: Please refer to lot specific datasheet.

Disclaimer

Unless otherwise stated in our catalog or other company documentation accompanying the product(s), our products are intended for research use only and are not to be used for any other purpose, which includes but is not limited to, unauthorized commercial uses, in vitro diagnostic uses, ex vivo or in vivo therapeutic uses or any type of consumption or application to humans or animals.

Not finding the right product?  

Try our Product Selector Tool.

Storage Class

12 - Non Combustible Liquids

wgk

WGK 1

flash_point_f

Not applicable

flash_point_c

Not applicable


Certificates of Analysis (COA)

Search for Certificates of Analysis (COA) by entering the products Lot/Batch Number. Lot and Batch Numbers can be found on a product’s label following the words ‘Lot’ or ‘Batch’.

Already Own This Product?

Find documentation for the products that you have recently purchased in the Document Library.

Visit the Document Library

Kaushal Asrani et al.
The Journal of clinical investigation, 129(12), 5584-5599 (2019-09-19)
The microphthalmia family of transcription factors (MiT/TFEs) controls lysosomal biogenesis and is negatively regulated by the nutrient sensor mTORC1. However, the mechanisms by which cells with constitutive mTORC1 signaling maintain lysosomal catabolism remain to be elucidated. Using the murine epidermis
Kaiyuan Wu et al.
Autophagy, 17(11), 3707-3724 (2021-02-26)
The mechanisms orchestrating recycling of lysosomes through autophagic lysosome reformation (ALR) is incompletely understood. Previous data show that genetic depletion of BLOC1S1/GCN5L1/BORCS1 increases autolysosome (AL) accumulation. We postulated that this phenotype may manifest due to perturbed ALR. We explored this

Global Trade Item Number

SKUGTIN
ABE140004054839112379

Our team of scientists has experience in all areas of research including Life Science, Material Science, Chemical Synthesis, Chromatography, Analytical and many others.

Contact Technical Service