Skip to Content
Merck

ABE1447

Anti-Histone H3 Antibody, K36M mutant

from rabbit, purified by affinity chromatography

Synonym(s):

H3K36M, Histone H3 K36M mutant, H3 histone family, member T, K36M mutant, Histone cluster 3, K36M mutant

Sign In to View Organizational & Contract Pricing.

Select a Size


About This Item

UNSPSC Code:
12352203
NACRES:
NA.41
eCl@ss:
32160702
Clone:
polyclonal
Species reactivity:
mouse, human
Application:
DB, IHC, WB
Citations:
2
Technical Service
Need help? Our team of experienced scientists is here for you.
Let Us Assist
Technical Service
Need help? Our team of experienced scientists is here for you.
Let Us Assist

biological source

rabbit

antibody form

affinity isolated antibody

antibody product type

primary antibodies

clone

polyclonal

purified by

affinity chromatography

species reactivity

mouse, human

species reactivity (predicted by homology)

bovine (based on 100% sequence homology), rabbit (based on 100% sequence homology), rat (based on 100% sequence homology), porcine (based on 100% sequence homology)

technique(s)

dot blot: suitable, immunohistochemistry: suitable, western blot: suitable

NCBI accession no.

UniProt accession no.

shipped in

ambient

target post-translational modification

mutation (Lys36Met)

Quality Level

Gene Information

human ... HIST1H3F(8968)

General description

Histone H3 is one of the five main histone proteins involved in the structure of chromatin in eukaryotic cells. Featuring a main globular domain and a long N-terminal tail, H3 is involved with the structure of the nucleosomes of the ′beads on a string′ structure. The N-terminal tail of histone H3 protrudes from the globular nucleosome core and can undergo several different types of epigenetic modifications that influence cellular processes. These modifications include the covalent attachment of methyl or acetyl groups to lysine and arginine amino acids and the phosphorylation of serine or threonine. Histone H3 variants (H3.1, H3.2 and H3.3) have been implicated in the epigenetic memory of cellular state. Genome-wide patterns of H3 are dependent on amino acid sequence and change with cellular differentiation at developmentally regulated loci. Somatic missense mutations in histone H3 genes are found in several pediatric brain and bone malignancies, among which ~90% of the chondroblastomas are identified with histone H3 K36M mutation (H3K36M). Loss of H3K36 methylation due to H3K36M mutation causes a genome-wide upregulation of H3K27 methylation, leading to an altered polycomb repressive complex 1 (PRC1) distribution and re-activation of PRC1-suppressed target genes involved in mesenchymal differentiatio
~17 kDa observed. Uncharacterized bands may be observed in some lysate(s).

Immunogen

KLH-conjugated linear peptide corresponding to the target region sequence with K36M mutation.

Application

Anti-Histone H3, K36M mutant, Cat. No. ABE1447, is a highly specific rabbit polyclonal antibody that targets Histone H3 K36M mutation (H3K36M) and has been tested in Dot Blot, Immunohistochemistry, and Western Blotting.
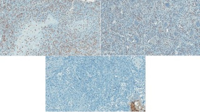
Immunohistochemistry Analysis: A 1:50 dilution from a representative lot immunostained paraffin-embedded sections from human chondroblastoma tissues carrying histone H3 K36M mutation (Courtesy of Denise Bechet and Nada Jabado from McGill University, Montreal, Quebec, Canada).

Dot Blot Analysis: A representative lot detected histone H3 peptide representing epitope region sequence with K36M mutation (H3K36M), but not peptides representing wild-type sequence with either unmodified methylated K36 residue (Lu, C., et al. (2016). Science. 352(6287):844-849).

Immunohistochemistry Analysis: A representative lot immunostained paraffin-embedded sections from human soft tissue undifferentiated sarcoma carrying H3.1K36M mutation (Lu, C., et al. (2016). Science. 352(6287):844-849).

Immunohistochemistry Analysis: A representative lot immunostained paraffin-embedded H3.3K36M mutant tumors from mice xenografts (Lu, C., et al. (2016). Science. 352(6287):844-849).

Immunohistochemistry Analysis: A representative lot immunostained paraffin-embedded sections from human chondroblastoma tissues carrying histone H3 K36M mutation (Lu, C., et al. (2016). Science. 352(6287):844-849).

Western Blotting Analysis: A representative lot detected a target band in histone acid extracts from murine mesenchymal progenitor cells expresssing K36M mutant, but not wild-type, histone H3.3 (Lu, C., et al. (2016). Science. 352(6287):844-849).

Western Blotting Analysis: A representative lot detected a target band in histone acid extracts from human chondroblastoma samples with H3K36M mutation, but not in human chondrocarcinoma samples H3K36M mutation(Lu, C., et al. (2016). Science. 352(6287):844-849).
Research Category
Epigenetics & Nuclear Function

Biochem/physiol Actions

Predicted to react with a broad-range of species based on 100% sequence homology.
This rabbit polyclonal antibody specifically detects histone H3 K36M mutation (H3K36M) without cross-reactivity toward histone H3 without H3K36M mutation.

Physical form

Affinity purified.
Purified rabbit polyclonal antibody in buffer containing 0.1 M Tris-Glycine (pH 7.4), 150 mM NaCl with 0.05% sodium azide.

Preparation Note

Stable for 1 year at 2-8°C from date of receipt.

Analysis Note

Evaluated by Western Blotting of H3K36M overexpression in HEK293 transfectants.

Western Blotting Analysis: A 1:250 dilution of this antibody detected overexpressed K36M mutant, but not wild-type, human histone H3.3 in 10 µg of lysate from HEK293 transfectants.

Other Notes

Concentration: Please refer to lot specific datasheet.

Disclaimer

Unless otherwise stated in our catalog or other company documentation accompanying the product(s), our products are intended for research use only and are not to be used for any other purpose, which includes but is not limited to, unauthorized commercial uses, in vitro diagnostic uses, ex vivo or in vivo therapeutic uses or any type of consumption or application to humans or animals.

Not finding the right product?  

Try our Product Selector Tool.

Storage Class

12 - Non Combustible Liquids

wgk

WGK 1

flash_point_f

Not applicable

flash_point_c

Not applicable


Certificates of Analysis (COA)

Search for Certificates of Analysis (COA) by entering the products Lot/Batch Number. Lot and Batch Numbers can be found on a product’s label following the words ‘Lot’ or ‘Batch’.

Already Own This Product?

Find documentation for the products that you have recently purchased in the Document Library.

Visit the Document Library

Haoran Mu et al.
Orthopaedic surgery, 13(2), 616-622 (2021-02-24)
Whether H3.3 K36M mutation (H3K36M) could be an approach if the diagnosis of chondroblastoma (CB) patients was indistinct and it was suspected to be unclear clinically. We reviewed and compared our clinical experiences of CB cases and some suspected cases
Salina Yuan et al.
Cancer discovery, 10(6), 854-871 (2020-03-20)
Epithelial plasticity, reversible modulation of a cell's epithelial and mesenchymal features, is associated with tumor metastasis and chemoresistance, leading causes of cancer mortality. Although different master transcription factors and epigenetic modifiers have been implicated in this process in various contexts

Global Trade Item Number

SKUGTIN
ABE144704054839081477

Our team of scientists has experience in all areas of research including Life Science, Material Science, Chemical Synthesis, Chromatography, Analytical and many others.

Contact Technical Service