Skip to Content
Merck

ABE2604

Anti-MCM5

from rabbit

Synonym(s):

DNA replication licensing factor MCM5, CDC46 homolog, P1-CDC46

Sign In to View Organizational & Contract Pricing.

Select a Size


About This Item

UNSPSC Code:
12352203
NACRES:
NA.41
eCl@ss:
32160702
Conjugate:
unconjugated
Clone:
polyclonal
Application:
IHC, WB
Citations:
-
Technical Service
Need help? Our team of experienced scientists is here for you.
Let Us Assist
Technical Service
Need help? Our team of experienced scientists is here for you.
Let Us Assist

biological source

rabbit

conjugate

unconjugated

antibody form

unpurified

antibody product type

primary antibodies

clone

polyclonal

species reactivity

Xenopus, human

technique(s)

immunohistochemistry: suitable (paraffin), western blot: suitable

isotype

IgG

NCBI accession no.

UniProt accession no.

shipped in

ambient

target post-translational modification

unmodified

Quality Level

Gene Information

human ... MCM5(4174)

General description

DNA replication licensing factor MCM5 (UniProt: P33992; also known as EC:3.6.4.12, CDC46 homolog, P1-CDC46) is encoded by the MCM5 (also known as CDC46) gene (Gene ID: 4174) in human. MCM5 protein as a component of the MCM2-7 (Mini-Chromosome Maintenance; MCM) complex), which consists of six sequence-related AAA + type ATPases/helicases that form a hetero-hexameric ring. It is a putative replicative helicase essential for ′once per cell cycle′ DNA replication initiation and elongation in eukaryotic cells. The active ATPase sites in the MCM2-7 ring are formed through the interaction surfaces of two neighboring subunits such that a critical structure of a conserved arginine finger motif is provided in trans relative to the ATP-binding site of the Walker A box of the adjacent subunit. The six ATPase active sites, however, are likely to contribute differentially to the complex helicase activity. MCM5 is upregulated in the transition from the G0 to G1/S phase of the cell cycle, indicating its active participation in cell cycle regulation. In the G1 phase, inactive MCM2-7 complex is loaded onto origins of DNA replication and during G1-S phase, MCM2-7 complex is activated to unwind the double stranded DNA and plays an important role in DNA replication forks elongation.
~90 kDa observed; 82.29 kDa calculated. Uncharacterized bands may be observed in some lysate(s).

Immunogen

A His-tagged full-length recombinant human DNA replication licensing factor MCM5.
Epitope: unknown

Application

Anti-MCM5, Cat. No. ABE2604, is a highly specific rabbit polyclonal antibody that targets DNA replication licensing factor MCM5 and has been tested in Immunohistochemistry (Paraffin) and Western Blotting.
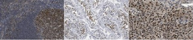
Immunohistochemistry Analysis: A 1:250 dilution from a representative lot detected MCM5 in human testis and human cervical cancer tissues.

Western Blotting Analysis: A 1:500 dilution of this antibody detected MCM5 in HeLa & CHO cell lysates (Wong, P.G., et. al. (2011). PLoS One. 6(3):e17533; Borysov, S.I., et. al. (2015). Mol Cell Biol. 36(5):832-45).

Western Blotting Analysis: A 1:1,000 dilution from a representative lot detected MCM5 in 10 µg of MCF7 cell lysate.
Research Category
Epigenetics & Nuclear Function

Biochem/physiol Actions

This polyclonal antibody detects DNA replication licensing factor MCM5 in multiple types of human tissue sections.

Physical form

Format: Unpurified
Rabbit polyclonal antiserum with 0.05% sodium azide.
Unpurified

Preparation Note

Stable for 1 year at -20°C from date of receipt. Handling Recommendations: Upon receipt and prior to removing the cap, centrifuge the vial and gently mix the solution. Aliquot into microcentrifuge tubes and store at -20°C. Avoid repeated freeze/thaw cycles, which may damage IgG and affect product performance.

Analysis Note

Evaluated by Immunohistochemistry in human tonsil tissue.

Immunohistochemistry Analysis: A 1:250 dilution of this antibody detected MCM5 in human tonsil tissue.

Other Notes

Concentration: Please refer to lot specific datasheet.

Disclaimer

Unless otherwise stated in our catalog or other company documentation accompanying the product(s), our products are intended for research use only and are not to be used for any other purpose, which includes but is not limited to, unauthorized commercial uses, in vitro diagnostic uses, ex vivo or in vivo therapeutic uses or any type of consumption or application to humans or animals.

Not finding the right product?  

Try our Product Selector Tool.

Storage Class

12 - Non Combustible Liquids

wgk

WGK 1


Certificates of Analysis (COA)

Search for Certificates of Analysis (COA) by entering the products Lot/Batch Number. Lot and Batch Numbers can be found on a product’s label following the words ‘Lot’ or ‘Batch’.

Already Own This Product?

Find documentation for the products that you have recently purchased in the Document Library.

Visit the Document Library

Our team of scientists has experience in all areas of research including Life Science, Material Science, Chemical Synthesis, Chromatography, Analytical and many others.

Contact Technical Service