Skip to Content
Merck

ABE374

Anti-DAZ Antibody

from rabbit, purified by affinity chromatography

Synonym(s):

Deleted in azoospermia protein 1

Sign In to View Organizational & Contract Pricing.

Select a Size


About This Item

UNSPSC Code:
12352203
NACRES:
NA.41
eCl@ss:
32160702
Conjugate:
unconjugated
Clone:
polyclonal
Application:
IHC, WB
Citations:
-
Technical Service
Need help? Our team of experienced scientists is here for you.
Let Us Assist
Technical Service
Need help? Our team of experienced scientists is here for you.
Let Us Assist

biological source

rabbit

conjugate

unconjugated

antibody form

affinity isolated antibody

antibody product type

primary antibodies

clone

polyclonal

purified by

affinity chromatography

species reactivity

mouse, rat, human, pig, horse

species reactivity (predicted by homology)

equine, porcine, chimpanzee, bovine, rhesus macaque

technique(s)

immunohistochemistry: suitable (paraffin), western blot: suitable

NCBI accession no.

UniProt accession no.

shipped in

wet ice

target post-translational modification

unmodified

Quality Level

Gene Information

human ... DAZ1(1617)

General description

DAZ is an RNA-binding protein that belongs to the DAZ family of proteins required for normal growth, development, and fertility. The DAZ family of proteins have one or more RNA recognition motif (RRM) domains and multiple DAZ repeats. Mammalian DAZ is widely expressed in adults with high levels of expression in testis. Frequent deletion of the DAZ genes suggests that DAZ plays an important role in spermatogenesis. It was even proposed that DAZ family proteins are involved in mRNA metabolism during spermatogenesis.
~83 kDa calculated. Additional bands due to polymorphic expression of DAZ as well as cross-reactivity with DAZ2, DAZ3, DAZ4, and DAZL with calculated molecular weights of ~33 kDa, 37 kDa, 75 kDa, and 100 kDa may be observed in some cell lysates (Poongothai, J., et al. (2009). Singapore Med J. 50(4):336-347; Kim, B., et al. (2009). Hum Reprod. 24(6):1507-1515). This antibody detects DAZ proteins at ~36 kDa, ~80 kDa, and ~105 kDa

Immunogen

KLH-conjugated linear peptide corresponding to the N-terminus of human DAZ.

Application

Anti-DAZ Antibody is a Rabbit Polyclonal Antibody for detection of DAZ also known as Deleted in azoospermia protein 1 & has been validated in WB, IHC(P).
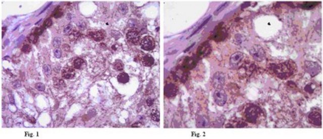
Immunohistochemistry Analysis: A 1:400 dilution from a representative lot detected DAZ in human testis tissue.

Biochem/physiol Actions

This antibody recognizes the N-terminus of DAZ. This antibody demonstrates cross-reactivity with DAZ2, DAZ3, DAZ4, and DAZL each of which contains repeats of the DAZ gene.

Analysis Note

Evaluated by Western Blot in human testis tissue lysate.

Western Blot Analysis: 1 µg/mL dilution of this antibody detected DAZ in 10 µg of human testis tissue lysate.

Other Notes

Concentration: Please refer to the Certificate of Analysis for the lot-specific concentration.

Not finding the right product?  

Try our Product Selector Tool.

Storage Class

12 - Non Combustible Liquids

wgk

WGK 1

flash_point_f

Not applicable

flash_point_c

Not applicable


Certificates of Analysis (COA)

Search for Certificates of Analysis (COA) by entering the products Lot/Batch Number. Lot and Batch Numbers can be found on a product’s label following the words ‘Lot’ or ‘Batch’.

Already Own This Product?

Find documentation for the products that you have recently purchased in the Document Library.

Visit the Document Library

Related Content

New Products: Antibodies, Assays, Small Molecules, Inhibitors, and Proteins

Global Trade Item Number

SKUGTIN
ABE37404053252427107

Our team of scientists has experience in all areas of research including Life Science, Material Science, Chemical Synthesis, Chromatography, Analytical and many others.

Contact Technical Service