Skip to Content
Merck

ABE438

Anti-Apobec1 Antibody

from rabbit, purified by affinity chromatography

Synonym(s):

C->U-editing enzyme APOBEC-1, Apolipoprotein B mRNA-editing enzyme 1, HEPR

Sign In to View Organizational & Contract Pricing.

Select a Size


About This Item

UNSPSC Code:
12352203
NACRES:
NA.41
eCl@ss:
32160702
Conjugate:
unconjugated
Clone:
polyclonal
Application:
IHC, WB
Citations:
1
Technical Service
Need help? Our team of experienced scientists is here for you.
Let Us Assist
Technical Service
Need help? Our team of experienced scientists is here for you.
Let Us Assist

biological source

rabbit

conjugate

unconjugated

antibody form

affinity isolated antibody

antibody product type

primary antibodies

clone

polyclonal

purified by

affinity chromatography

species reactivity

human, rat

technique(s)

immunohistochemistry: suitable (paraffin), western blot: suitable

NCBI accession no.

UniProt accession no.

shipped in

wet ice

target post-translational modification

unmodified

Quality Level

Gene Information

human ... APOBEC1(339)

General description

Apolipoprotein B mRNA-editing enzyme 1 (Apobec1) is also known as C->U-editing enzyme APOBEC-1, and HEPR. Apobec1 is a member of the cytidine and deoxycytidylate deaminase family that is exclusively expressed in the small intestine. Apobec1 is a catalytic component of the apolipoprotein B mRNA editing enzyme complex which is responsible for postranscriptional mRNA editing. Apobec1 is also thought to be involved in the epigenetic regulation of gene expression by participating in DNA demethylation.
~28 kDa observed

Immunogen

KLH-conjugated linear peptide corresponding to human Apobec1.

Application

Detect Apobec1 using this rabbit polyclonal antibody, Anti-Apobec1 Antibody validated for use in western blotting & IHC (Paraffin).
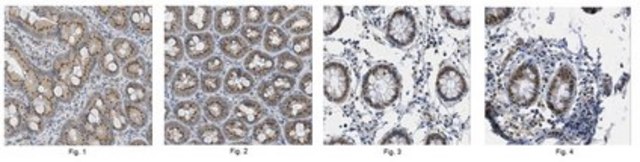
Immunohistochemistry Analysis: A 1:500-2,000 dilution from a representative lot detected Apobec1 in rat small intestine and human colon tissue.
Research Category
Epigenetics & Nuclear Function
Research Sub Category
Transcription Factors

Biochem/physiol Actions

Other homologies: Mouse (79% sequence homology).

Physical form

Affinity purified
Purified rabbit polyclonal in buffer containing 0.1 M Tris-Glycine (pH 7.4), 150 mM NaCl with 0.05% sodium azide.

Preparation Note

Stable for 1 year at 2-8°C from date of receipt.

Analysis Note

Control
Human spleen tissue lysate
Evaluated by Western Blotting in human spleen tissue lysate.

Western Blotting Analysis: 0.1 µg/mL of this antibody detected Apobec1 in 10 µg of human spleen tissue lysate.

Other Notes

Concentration: Please refer to the Certificate of Analysis for the lot-specific concentration.

Disclaimer

Unless otherwise stated in our catalog or other company documentation accompanying the product(s), our products are intended for research use only and are not to be used for any other purpose, which includes but is not limited to, unauthorized commercial uses, in vitro diagnostic uses, ex vivo or in vivo therapeutic uses or any type of consumption or application to humans or animals.

Not finding the right product?  

Try our Product Selector Tool.

Storage Class

12 - Non Combustible Liquids

wgk

WGK 1

flash_point_f

Not applicable

flash_point_c

Not applicable


Certificates of Analysis (COA)

Search for Certificates of Analysis (COA) by entering the products Lot/Batch Number. Lot and Batch Numbers can be found on a product’s label following the words ‘Lot’ or ‘Batch’.

Already Own This Product?

Find documentation for the products that you have recently purchased in the Document Library.

Visit the Document Library

Xiaoling Li et al.
Cancer cell, 41(8), 1427-1449 (2023-07-22)
Tumor mutational burden and heterogeneity has been suggested to fuel resistance to many targeted therapies. The cytosine deaminase APOBEC proteins have been implicated in the mutational signatures of more than 70% of human cancers. However, the mechanism underlying how cancer

Global Trade Item Number

SKUGTIN
ABE43804053252909375

Our team of scientists has experience in all areas of research including Life Science, Material Science, Chemical Synthesis, Chromatography, Analytical and many others.

Contact Technical Service