Skip to Content
Merck

ABE543

Anti-PRDM16 Antibody

from rabbit, purified by affinity chromatography

Synonym(s):

PR domain zinc finger protein 16, PR domain-containing protein 16, Transcription factor MEL1, MDS1/EVI1-like gene 1

Sign In to View Organizational & Contract Pricing.

Select a Size


About This Item

UNSPSC Code:
12352203
NACRES:
NA.41
eCl@ss:
32160702
Conjugate:
unconjugated
Clone:
polyclonal
Application:
IHC, IP, WB
Citations:
1
Technical Service
Need help? Our team of experienced scientists is here for you.
Let Us Assist
Technical Service
Need help? Our team of experienced scientists is here for you.
Let Us Assist

biological source

rabbit

conjugate

unconjugated

antibody form

affinity isolated antibody

antibody product type

primary antibodies

clone

polyclonal

purified by

affinity chromatography

species reactivity

human

species reactivity (predicted by homology)

horse (based on 100% sequence homology), canine (based on 100% sequence homology), bovine (based on 100% sequence homology), nonhuman primates (based on 100% sequence homology), guinea pig (based on 100% sequence homology)

technique(s)

immunohistochemistry: suitable ((Paraffin)), immunoprecipitation (IP): suitable, western blot: suitable

NCBI accession no.

UniProt accession no.

shipped in

wet ice

target post-translational modification

unmodified

Quality Level

Gene Information

human ... PRDM16(63976)

Looking for similar products? Visit Product Comparison Guide

General description

Anti-PRDM16, Cat. No. ABE543, is a rabbit polyclonal antibody that detects PR domain zinc finger protein 16 (PRDM16) and is teste for use in Immunohistochemistry (Paraffin), Immunoprecipitation, and Western Blotting.
Purified rabbit polyclonal antibody in buffer containing 0.1 M Tris-Glycine (pH 7.4), 150 mM NaCl with 0.05% sodium azide
Target molecular weight ~140 kDa observed; 140.25 kDa calculated. Uncharacterized bands may be observed in some lysate(s).
~140 kDa observed. Four isoforms are known to exist. This protein has been observed at 150 kDa, 135 kDa, and 100 kDa (EMD Millipore Cat. No. ABD130). Uncharacterized band(s) may be observed in some cell lysates.

Immunogen

KLH-conjugated linear peptide corresponding to human PRDM16.

Application

Detect PRDM16 using this rabbit polyclonal antibody, Anti-PRDM16 Antibody validated for use in western blotting, IP & IHC.
Immunoprecipitation Analysis: 10 µg from a representative lot immunoprecipitated PRDM16 from 500 µg of K562 nuclear extract.

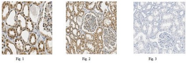
Immunohistochemistry Analysis: A 1:500 dilution from a representative lot detected PRDM16 in human kidney tissues.
Research Category
Epigenetics & Nuclear Function
Research Sub Category
Chromatin Biology

Physical form

Affinity purified
Purified rabbit serum in buffer containing 0.1 M Tris-Glycine (pH 7.4), 150 mM NaCl with 0.05% sodium azide.

Preparation Note

Stable for 1 year at 2-8°C from date of receipt.

Analysis Note

Evaluated by Western Blotting in LNCaP nuclear extract.

Western Blotting Analysis: 2 µg/mL of this antibody detected PRDM16 in 10 µg of LNCaP nuclear extract.

Other Notes

Concentration: Please refer to the Certificate of Analysis for the lot-specific concentration.

Disclaimer

Unless otherwise stated in our catalog or other company documentation accompanying the product(s), our products are intended for research use only and are not to be used for any other purpose, which includes but is not limited to, unauthorized commercial uses, in vitro diagnostic uses, ex vivo or in vivo therapeutic uses or any type of consumption or application to humans or animals.

Not finding the right product?  

Try our Product Selector Tool.

Storage Class

12 - Non Combustible Liquids

wgk

WGK 1

flash_point_f

Not applicable

flash_point_c

Not applicable


Certificates of Analysis (COA)

Search for Certificates of Analysis (COA) by entering the products Lot/Batch Number. Lot and Batch Numbers can be found on a product’s label following the words ‘Lot’ or ‘Batch’.

Already Own This Product?

Find documentation for the products that you have recently purchased in the Document Library.

Visit the Document Library

Liang-Ru Fei et al.
Journal of experimental & clinical cancer research : CR, 38(1), 35-35 (2019-01-27)
The transcription factor PR domain containing 16 (PRDM16) is known to play a significant role in the determination and function of brown and beige fat. However, the role of PRDM16 in tumor biology has not been well addressed. Here we

Global Trade Item Number

SKUGTIN
ABE54304053252937491

Our team of scientists has experience in all areas of research including Life Science, Material Science, Chemical Synthesis, Chromatography, Analytical and many others.

Contact Technical Service