Skip to Content
Merck

ABE558

Anti-Ku70 Protein Antibody

from rabbit

Synonym(s):

X-ray repair cross-complementing protein 6, 5′-deoxyribose-5-phosphate lyase Ku70, 5′-dRP lyase Ku70, 70 kDa subunit of Ku antigen, ATP-dependent DNA helicase 2 subunit 1, ATP-dependent DNA helicase II 70 kDa subunit, CTC box-binding factor 75 kDa subuni

Sign In to View Organizational & Contract Pricing.

Select a Size


About This Item

UNSPSC Code:
12352203
NACRES:
NA.41
eCl@ss:
32160702
Conjugate:
unconjugated
Clone:
polyclonal
Application:
immunohistochemistry
immunoprecipitation (IP)
western blot
Species reactivity:
human
Citations:
1
Technique(s):
immunohistochemistry: suitable (paraffin)
immunoprecipitation (IP): suitable
western blot: suitable
Uniprot accession no.:
Technical Service
Need help? Our team of experienced scientists is here for you.
Let Us Assist
Technical Service
Need help? Our team of experienced scientists is here for you.
Let Us Assist

Product Name

Anti-Ku70 Protein Antibody, from rabbit

biological source

rabbit

conjugate

unconjugated

antibody form

purified antibody

antibody product type

primary antibodies

clone

polyclonal

species reactivity

human

technique(s)

immunohistochemistry: suitable (paraffin)
immunoprecipitation (IP): suitable
western blot: suitable

NCBI accession no.

UniProt accession no.

shipped in

wet ice

target post-translational modification

unmodified

Quality Level

Gene Information

human ... XRCC6(2547)

Analysis Note

Control
HeLa cell lysate
Evaluated by Western Blotting in HeLa cell lysate.

Western Blotting Analysis: 0.5 µg/mL of this antibody detected Ku70 Protein in 10 µg of HeLa cell lysate.

Application

Detect Ku70 Protein using this rabbit polyclonal antibody, Anti-Ku70 Protein Antibody validated for use in western blotting, IP & IHC (Paraffin).
Immunoprecipitation Analysis: A representative lot immunoprecipitated Ku70 Protein in 0.5 mg of HeLa cell lysate.
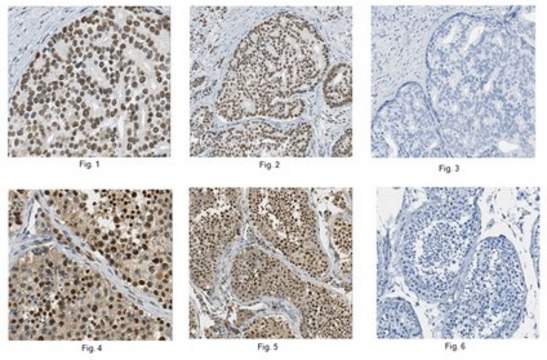
Immunohistochemistry Analysis: A 1:250 dilution from a representative lot detected Ku70 Protein in human prostate carcinoma cells and human testis tissue.
Research Category
Epigenetics & Nuclear Function
Research Sub Category
Chromatin Biology

Biochem/physiol Actions

This antibody recognizes Ku70 Protein near N-Terminus.

Disclaimer

Unless otherwise stated in our catalog or other company documentation accompanying the product(s), our products are intended for research use only and are not to be used for any other purpose, which includes but is not limited to, unauthorized commercial uses, in vitro diagnostic uses, ex vivo or in vivo therapeutic uses or any type of consumption or application to humans or animals.

General description

Lupus Ku autoantigen protein p70 (Ku70) is also known as X-ray repair cross-complementing protein 6 (XRCC6), 5′-dRP lyase Ku70, CTC box-binding factor 75 kDa subunit (CTC75, CTCBF) or Thyroid-lupus autoantigen (TLAA). Ku70 is a single stranded DNA-dependent ATP-dependent helicase that plays a role in chromosome translocation and DNA non-homologous end joining (NHEJ) required for double-strand break repair and recombination. The XRCC5/6 (Ku80/Ku70) dimer acts as regulatory subunit of the DNA-dependent protein kinase complex DNA-PK, and that dimer, together with APEX1, acts as a negative regulator of transcription. Individuals with systemic lupus erythematosus (SLE) and related disorders produce extremely large amounts of autoantibodies to XRCC5 (Ku80) and XRCC6 (Ku70).
~70 kDa observed

Immunogen

Epitope: Near N-Terminus
KLH-conjugated linear peptide corresponding to human Ku70 Protein near N-Terminus.

Other Notes

Concentration: Please refer to the Certificate of Analysis for the lot-specific concentration.
Replaces: AB1358

Physical form

Format: Purified
Protein A purified
Purified rabbit polyclonal in buffer containing 0.1 M Tris-Glycine (pH 7.4), 150 mM NaCl with 0.05% sodium azide.

Preparation Note

Stable for 1 year at 2-8°C from date of receipt.

Not finding the right product?  

Try our Product Selector Tool.

Storage Class

12 - Non Combustible Liquids

wgk

WGK 1

flash_point_f

Not applicable

flash_point_c

Not applicable


Certificates of Analysis (COA)

Search for Certificates of Analysis (COA) by entering the products Lot/Batch Number. Lot and Batch Numbers can be found on a product’s label following the words ‘Lot’ or ‘Batch’.

Already Own This Product?

Find documentation for the products that you have recently purchased in the Document Library.

Visit the Document Library

Mariko Morii et al.
The Journal of biological chemistry, 292(5), 1648-1665 (2016-12-22)
Src-family tyrosine kinases are widely expressed in many cell types and participate in a variety of signal transduction pathways. Despite the significance of Src in suppression of apoptosis, its mechanism remains poorly understood. Here we show that Src acts as

Global Trade Item Number

SKUGTIN
ABE55804053252906404

Our team of scientists has experience in all areas of research including Life Science, Material Science, Chemical Synthesis, Chromatography, Analytical and many others.

Contact Technical Service