Skip to Content
Merck

ABE792

Anti-FAM120A Antibody

from rabbit, purified by affinity chromatography

Synonym(s):

Constitutive coactivator of PPAR-gamma-like protein 1, Oxidative stress-associated Src activator, Protein FAM120A

Sign In to View Organizational & Contract Pricing.

Select a Size


About This Item

UNSPSC Code:
12352203
NACRES:
NA.41
eCl@ss:
32160702
Conjugate:
unconjugated
Clone:
polyclonal
Application:
IF, IHC, WB
Citations:
-
Technical Service
Need help? Our team of experienced scientists is here for you.
Let Us Assist
Technical Service
Need help? Our team of experienced scientists is here for you.
Let Us Assist

biological source

rabbit

conjugate

unconjugated

antibody form

affinity isolated antibody

antibody product type

primary antibodies

clone

polyclonal

purified by

affinity chromatography

species reactivity

human, rat

technique(s)

immunofluorescence: suitable, immunohistochemistry: suitable, western blot: suitable

UniProt accession no.

shipped in

wet ice

target post-translational modification

unmodified

Quality Level

Gene Information

human ... FAM120A(23196)

General description

Constitutive coactivator of PPAR-gamma-like protein 1, also known as Oxidative stress-associated Src activator or Protein FAM120A, and encoded by the gene name FAM120A or OSSA, was recently detected within the Purα-containing mRNA-protein complex in the brain. As a novel RNA-binding protein, FAM120A is a critical component of the oxidative stress-induced survival signaling. It may participate in mRNA transport in the cytoplasm. FAM120A activates src family kinases and acts as a scaffolding protein enabling src family kinases to phosphorylate and activate PI3-kinase. FAM120A is highly expressed in scirrhous-type gastric cancer tissues compared with normal gastric mucosa. FAM120A protects cells from apoptosis through activation of SRKs in response to oxidative stress. Blocking of the survival signaling mediated by FAM120A, which sensitizes the cancer cells to stress-induced apoptosis, may be a novel therapeutic approach for gastric scirrhous carcinoma cells.
~130 kDa observed. Uncharacterized bands may be observed in some lysate(s).

Immunogen

Epitope: N-terminus
KLH-conjugated synthetic peptide corresponding to the N-terminus of human FAM120A.

Application

Anti-FAM120A Antibody is an antibody against FAM120A for use in western blotting, IHC & immunofluorescence.
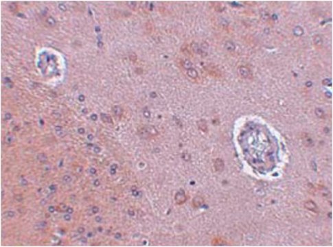
Immunohistochemistry Analysis: 2.5 μg/mL from a representative lot detected FAM120A in rat brain tissue.

Immunofluorescence Analysis: 20 μg/mL from a representative lot detected FAM120A in rat brain cells.
Research Category
Epigenetics & Nuclear Function
Research Sub Category
RNA Metabolism & Binding Proteins

Biochem/physiol Actions

This antibody will not cross-reacti with FAM120B/PGCC1.

Physical form

Antigen Affinity Purified
Purified rabbit polyclonal in buffer containing PBS with up to 0.1% sodium azide.

Preparation Note

Stable for 1 year at 2-8°C from date of receipt.

Analysis Note

Evaluated by Western Blotting in SK-N-SH cell lysate.

Western Blotting Analysis: 0.5 μg/mL of this antibody detected FAM120A in SK-N-SH cell lysate.

Other Notes

Concentration: Please refer to the Certificate of Analysis for the lot-specific concentration.

Disclaimer

Unless otherwise stated in our catalog or other company documentation accompanying the product(s), our products are intended for research use only and are not to be used for any other purpose, which includes but is not limited to, unauthorized commercial uses, in vitro diagnostic uses, ex vivo or in vivo therapeutic uses or any type of consumption or application to humans or animals.

Not finding the right product?  

Try our Product Selector Tool.

wgk

WGK 2

flash_point_f

Not applicable

flash_point_c

Not applicable

Storage Class

12 - Non Combustible Liquids


Certificates of Analysis (COA)

Search for Certificates of Analysis (COA) by entering the products Lot/Batch Number. Lot and Batch Numbers can be found on a product’s label following the words ‘Lot’ or ‘Batch’.

Already Own This Product?

Find documentation for the products that you have recently purchased in the Document Library.

Visit the Document Library

Global Trade Item Number

SKUGTIN
ABE79204053252945267

Our team of scientists has experience in all areas of research including Life Science, Material Science, Chemical Synthesis, Chromatography, Analytical and many others.

Contact Technical Service