Skip to Content
Merck

ABF200

Anti-Bst2 Antibody

from rabbit, purified by affinity chromatography

Synonym(s):

Bone marrow stromal cell antigen 2, BST-2, CD317, HM1.24 antigen

Sign In to View Organizational & Contract Pricing.

Select a Size


About This Item

UNSPSC Code:
12352203
NACRES:
NA.41
eCl@ss:
32160702
Conjugate:
unconjugated
Clone:
polyclonal
Application:
WB
Citations:
-
Technical Service
Need help? Our team of experienced scientists is here for you.
Let Us Assist
Technical Service
Need help? Our team of experienced scientists is here for you.
Let Us Assist

biological source

rabbit

conjugate

unconjugated

antibody form

affinity isolated antibody

antibody product type

primary antibodies

clone

polyclonal

purified by

affinity chromatography

species reactivity

human

technique(s)

western blot: suitable

UniProt accession no.

shipped in

wet ice

target post-translational modification

unmodified

Quality Level

Gene Information

human ... BST2(684)

General description

Bone marrow stromal cell antigen 2 (BST-2, Bst2), also known as CD317, and HM1.24 antigen, is an IFN-induced antiviral host restriction factor which efficiently blocks the release of diverse mammalian viruses by directly tethering nascent virions to the membranes of infected cells. Bst2 has been shown to interact with various viruses, including: human immunodeficiency virus type 1 (HIV-1), mouse mammary tumor virus (MMTV) and murine leukemia virus (MLV), filoviridae: ebola virus (EBOV), arenaviridae: lassa virus (LASV), and rhabdoviridae: vesicular stomatitis virus (VSV). Bst2 may inhibit cell surface proteolytic activity of MMP14 causing decreased activation of MMP15 which results in inhibition of cell growth and migration. Additionally, it is implied to interact with LILRA4/ILT7, which results in providing negative feedback to the production of IFN by plasmacytoid dendritic cells in response to viral infection. This activity suggests that Bst2 can provide a potential therapeutic strategy for the treatment of HIV/AIDS. Bst2 may play a role in the organization of the subapical actin cytoskeleton in polarized epithelial cells
~22 kDa observed. Uncharacterized bands may appear in some lysate(s).

Immunogen

Epitope: N-terminus
KLH-conjugated linear peptide corresponding to the N-terminus of mouse Bst2.

Application

Detect Bone marrow stromal antigen 2 using this rabbit polyclonal antibody, Anti-Bst2 Antibody validated for use in western blotting.
Research Category
Inflammation & Immunology
Research Sub Category
Immunological Signaling
Western Blotting Analysis: 2 µg/mL from a representative lot detected Bst2 in 15 µg of Daudi cell lysate.

Biochem/physiol Actions

This antibody recognizes the N-terminus of Bst2.

Physical form

Antigen Affinity Purified
Purified rabbit polyclonal in buffer containing PBS with up to 0.1% sodium azide.

Preparation Note

Stable for 1 year at 2-8°C from date of receipt.

Analysis Note

Control
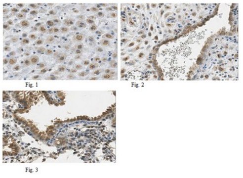
Human placenta tissue
Evaluated by Immunohistochemistry in human placenta tissue.

Immunohistochemistry Analysis: A 1:250 dilution of this antibody detected Bst2 in human placenta tissue.

Other Notes

Concentration: Please refer to the Certificate of Analysis for the lot-specific concentration.
Replaces: MABF201

Disclaimer

Unless otherwise stated in our catalog or other company documentation accompanying the product(s), our products are intended for research use only and are not to be used for any other purpose, which includes but is not limited to, unauthorized commercial uses, in vitro diagnostic uses, ex vivo or in vivo therapeutic uses or any type of consumption or application to humans or animals.

Not finding the right product?  

Try our Product Selector Tool.

wgk

WGK 2

flash_point_f

Not applicable

flash_point_c

Not applicable

Storage Class

12 - Non Combustible Liquids


Certificates of Analysis (COA)

Search for Certificates of Analysis (COA) by entering the products Lot/Batch Number. Lot and Batch Numbers can be found on a product’s label following the words ‘Lot’ or ‘Batch’.

Already Own This Product?

Find documentation for the products that you have recently purchased in the Document Library.

Visit the Document Library

Global Trade Item Number

SKUGTIN
ABF20004053252912283

Our team of scientists has experience in all areas of research including Life Science, Material Science, Chemical Synthesis, Chromatography, Analytical and many others.

Contact Technical Service