Skip to Content
Merck

ABN107

Anti-ARMS2 Antibody

from rabbit, purified by affinity chromatography

Synonym(s):

Age-related maculopathy susceptibility protein 2, ARMS2

Sign In to View Organizational & Contract Pricing.

Select a Size

Change View

About This Item

UNSPSC Code:
12352203
NACRES:
NA.41
eCl@ss:
32160702
Conjugate:
unconjugated
Clone:
polyclonal
Application:
IHC
Citations:
-
Technical Service
Need help? Our team of experienced scientists is here for you.
Let Us Assist


biological source

rabbit

Quality Level

conjugate

unconjugated

antibody form

affinity isolated antibody

antibody product type

primary antibodies

clone

polyclonal

purified by

affinity chromatography

species reactivity

human

technique(s)

immunohistochemistry: suitable (paraffin)

NCBI accession no.

UniProt accession no.

shipped in

wet ice

target post-translational modification

unmodified

Gene Information

human ... ARMS2(387715)

General description

15 kDa calculated
Age-related maculopathy susceptibility protein 2 (ARMS2) is highly expressed in the human placenta and retina. The biological function of ARMS2 has not been fully characterized. However, previous studies have linked mutations in the ARMS2 and HtrA1 genes, located on chromosome 10q26, to the occurrence of age-related macular degeneration type 8, a condition of irreversible vision loss in the elderly.

Immunogen

GST-tagged recombinant protein corresponding to human ARMS2.

Application

Immunohistochemistry Analysis: A 1:500 dilution from a representative lot detected ARMS2 in human placenta tissue.
Research Category
Neuroscience
Research Sub Category
Developmental Signaling
This Anti-ARMS2 Antibody is validated for use in Immunohistochemistry (Paraffin) for the detection of ARMS2.

Physical form

Affinity purified
Purified rabbit polyclonal in buffer containing 0.1 M Tris-Glycine (pH 7.4), 150 mM NaCl with 0.05% sodium azide.

Preparation Note

Stable for 1 year at 2-8°C from date of receipt.

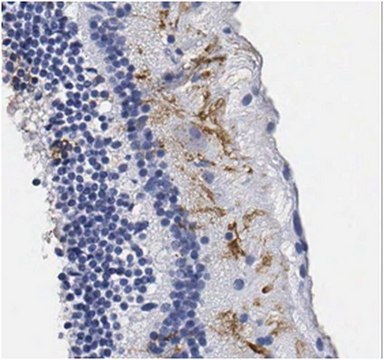
Analysis Note

Evaluated by Immunohistochemistry in human retina tissue.

Immunohistochemistry Analysis: A 1:2,000 dilution of this antibody detected ARMS2 in human retina tissue.

Other Notes

Concentration: Please refer to lot specific datasheet.

Disclaimer

Unless otherwise stated in our catalog or other company documentation accompanying the product(s), our products are intended for research use only and are not to be used for any other purpose, which includes but is not limited to, unauthorized commercial uses, in vitro diagnostic uses, ex vivo or in vivo therapeutic uses or any type of consumption or application to humans or animals.


Still not finding the right product?

Explore all of our products under Anti-ARMS2 Antibody

or

Try our Product Selector Tool to narrow your options


Storage Class

12 - Non Combustible Liquids

wgk

WGK 1

flash_point_f

Not applicable

flash_point_c

Not applicable



Certificates of Analysis (COA)

Search for Certificates of Analysis (COA) by entering the products Lot/Batch Number. Lot and Batch Numbers can be found on a product’s label following the words ‘Lot’ or ‘Batch’.

Already Own This Product?

Find documentation for the products that you have recently purchased in the Document Library.

Visit the Document Library



Global Trade Item Number

SKUGTIN
ABN10704053252979439