Skip to Content
Merck

ABN1382

Anti-DGL-α Antibody

from rabbit, purified by affinity chromatography

Synonym(s):

Sn1-specific diacylglycerol lipase alpha, DGL-alpha, Neural stem cell-derived dendrite regulator, DGL-α

Sign In to View Organizational & Contract Pricing.

Select a Size


About This Item

UNSPSC Code:
12352203
NACRES:
NA.41
eCl@ss:
32160702
Technical Service
Need help? Our team of experienced scientists is here for you.
Let Us Assist
Technical Service
Need help? Our team of experienced scientists is here for you.
Let Us Assist

Product Name

Anti-DGL-α Antibody, from rabbit, purified by affinity chromatography

biological source

rabbit

conjugate

unconjugated

antibody form

affinity isolated antibody

antibody product type

primary antibodies

clone

polyclonal

purified by

affinity chromatography

species reactivity

mouse, human

technique(s)

immunohistochemistry: suitable
western blot: suitable

NCBI accession no.

UniProt accession no.

shipped in

wet ice

target post-translational modification

unmodified

Quality Level

Gene Information

human ... DAGLA(747)

Analysis Note

Evaluated by Western Blotting in mouse cerebellum tissue lysate.

Western Blotting Analysis: A 1:1,000 dilution of this antibody detected DGL-α in 10 µg of mouse cerebellum tissue lysate.

Application

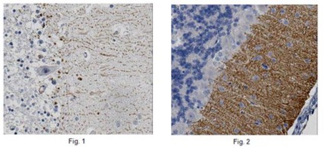
Immunohistochemistry Analysis: A 1:50 dilution from a representative lot detected DGL-α in human cerebellum and mouse cerebellum tissue.
Immunohistochemistry Analysis: A representative lot detected DGL-α in mouse brain tissue (Berghuis, P., et al. (2007). Science. 316:1212-1216).
This Anti-DGL-α Antibody is validated for use in Western Blotting and Immunohistochemistry for the detection of DGL-α.

General description

The protein DGL-alpha is a lipase enzyme that catalyzes the hydrolysis of diacylglycerol (DAG) to 2-arachidonoyl-glycerol (2-AG) endocannabinoid in tissues. Endocannabinoids are a group of lipid-like molecules that are neuromodulatory in nature and are involved in the control of many physiological functions including appetite, pain sensation, mood, and memory. They also mediate the psychoactive effects of cannabis (marijuana). Endocannabinoids (ECs) act as retrograde messengers that enable postsynaptic cells to regulate the strength of their synaptic inputs. DGL-alpha is also an excellent marker for cerebellum as DGL-alpha is highly expressed in cerebellum and necessary for the regulation of synaptic retrograde transmission in the cerebellum, hippocampus and striatum, as well as other regions including the auditory brainstem.
~110 kDa observed. Uncharacterized band(s) may appear in some lysates.

Immunogen

Recombinant protein corresponding to the cytoplasmic domain of human DGL-α.

Other Notes

Concentration: Please refer to lot specific datasheet.

Not finding the right product?  

Try our Product Selector Tool.

Storage Class

12 - Non Combustible Liquids

wgk

WGK 1

flash_point_f

Not applicable

flash_point_c

Not applicable


Certificates of Analysis (COA)

Search for Certificates of Analysis (COA) by entering the products Lot/Batch Number. Lot and Batch Numbers can be found on a product’s label following the words ‘Lot’ or ‘Batch’.

Already Own This Product?

Find documentation for the products that you have recently purchased in the Document Library.

Visit the Document Library

B A S Reyes et al.
Neuroscience, 303, 323-337 (2015-07-15)
Endocannabinoids (eCBs) are involved in a myriad of physiological processes that are mediated through the activation of cannabinoid receptors, which are ubiquitously distributed within the nervous system. One neurochemical target at which cannabinoids interact to have global effects on behavior

Global Trade Item Number

SKUGTIN
ABN138204053252992759

Our team of scientists has experience in all areas of research including Life Science, Material Science, Chemical Synthesis, Chromatography, Analytical and many others.

Contact Technical Service