Skip to Content
Merck

ABN1456

Anti-IAPP

from rabbit, purified by affinity chromatography

Synonym(s):

Amylin, Diabetes associated peptide, DAP, Insulinoma amyloid peptide

Sign In to View Organizational & Contract Pricing.

Select a Size


About This Item

UNSPSC Code:
12352203
NACRES:
NA.41
eCl@ss:
32160702
Technical Service
Need help? Our team of experienced scientists is here for you.
Let Us Assist
Technical Service
Need help? Our team of experienced scientists is here for you.
Let Us Assist

Product Name

Anti-IAPP, from rabbit, purified by affinity chromatography

biological source

rabbit

conjugate

unconjugated

antibody form

affinity isolated antibody

antibody product type

primary antibodies

clone

polyclonal

purified by

affinity chromatography

species reactivity

human

technique(s)

immunohistochemistry: suitable (paraffin)

NCBI accession no.

UniProt accession no.

shipped in

ambient

target post-translational modification

unmodified

Quality Level

Gene Information

human ... IAPP(3375)

Analysis Note

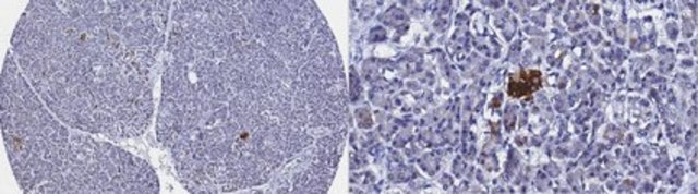
Evaluated by Immunohistochemistry in human pancreas tissue.

Immunohistochemistry Analysis: A 1:50 dilution of this antibody detected IAPP in human pancreas tissue.

Application

Anti-IAPP, Cat. No. ABN1456, is a highly specific rabbit polyclonal antibody that targets Islet amyloid polypeptide and has been tested in Immunohistochemistry (Paraffin).

Biochem/physiol Actions

This polyclonal antibody detects IAPP in human pancreatic tissue.

General description

9.8 kDa calculated
Islet amyloid polypeptide (UniProt: P10997; also known as Amylin; Diabetes-associated peptide; DAP; Insulinoma amyloid peptide, IAPP) is encoded by the IAPP gene (Gene ID: 3375) in human. IAPP is a secreted peptide that is degraded by insulin degrading enzyme (IDE). IAPP is a major constituent of amyloid deposits in pancreatic islets, characteristic histopathology for type 2 diabetes. The mature IAPP is largely unstructured in the absence of a cognate ligand, and has a strong tendency to form fibrillar aggregates. In diabetic islets, water-soluble IAPP is shown to disappear in beta-cell granules and is transformed to water-insoluble amyloid deposits that can initiate beta cell necrosis. Oligomers of human IAPP can form toxic oligomers and induce apoptosis in cultured pancreatic cells. IAPP is shown to selectively inhibit insulin-stimulated glucose utilization and glycogen deposition in muscle, but does not affect adipocyte glucose metabolism. (Ref.: Bram, Y., et al. (2014). Scientific Reports 4, Article number: 4267; Tomita, T. (2012). Islets. 4(3): 223 232).

Immunogen

A KLH-conjugated linear peptide from an internal region of human islet amyloid polypeptide.

Other Notes

Concentration: Please refer to lot specific datasheet.

Not finding the right product?  

Try our Product Selector Tool.

Storage Class

12 - Non Combustible Liquids

wgk

WGK 1


Certificates of Analysis (COA)

Search for Certificates of Analysis (COA) by entering the products Lot/Batch Number. Lot and Batch Numbers can be found on a product’s label following the words ‘Lot’ or ‘Batch’.

Already Own This Product?

Find documentation for the products that you have recently purchased in the Document Library.

Visit the Document Library

Guoxin Zhang et al.
Molecular neurodegeneration, 17(1), 12-12 (2022-01-31)
The pathologic accumulation and aggregation of tau is a hallmark of tauopathies including Alzheimer's disease (AD). However, the molecular mechanisms mediating tau aggregation in AD remain elusive. The incidence of AD is increased in patients with type 2 diabetes (T2DM)

Global Trade Item Number

SKUGTIN
ABN145604054839153204

Our team of scientists has experience in all areas of research including Life Science, Material Science, Chemical Synthesis, Chromatography, Analytical and many others.

Contact Technical Service