Skip to Content
Merck

ABN207

Anti-DBN1 Antibody

from rabbit, purified by affinity chromatography

Synonym(s):

Drebrin, Developmentally-regulated brain protein, DBN1

Sign In to View Organizational & Contract Pricing.

Select a Size


About This Item

UNSPSC Code:
12352203
NACRES:
NA.41
eCl@ss:
32160702
Conjugate:
unconjugated
Clone:
polyclonal
Application:
IHC, WB
Citations:
-
Technical Service
Need help? Our team of experienced scientists is here for you.
Let Us Assist
Technical Service
Need help? Our team of experienced scientists is here for you.
Let Us Assist

biological source

rabbit

conjugate

unconjugated

antibody form

affinity isolated antibody

antibody product type

primary antibodies

clone

polyclonal

purified by

affinity chromatography

species reactivity

mouse, horse, human, rat

species reactivity (predicted by homology)

bovine (based on 100% sequence homology), equine (based on 100% sequence homology)

technique(s)

immunohistochemistry: suitable (paraffin), western blot: suitable

NCBI accession no.

UniProt accession no.

shipped in

wet ice

target post-translational modification

unmodified

Quality Level

Gene Information

human ... DBN1(1627)

General description

Drebrin (Developmentally-regulated brain protein) is also known by the gene name DBN1. Drebrins are found in the cytoplasm of brain neurons as well as tissues including heart, placenta skeletal muscle kidney and pancreas. Debrin binds F-actin and is involved in the mechanisms of development, cell migration, neuronal processes and dendrite plasticity.
~110 kDa observed. The calculated molecular weight is 71 kDa, however DBN1 has been shown as a ~110 kDa band in western blotting (Maezawa, I., et al. (2006).

Immunogen

KLH-conjugated linear peptide corresponding to human DBN1.

Application

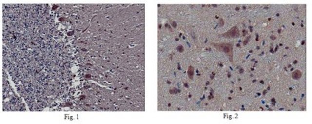
Immunohistochemistry Analysis: A 1:4,000 dilution from a representative lot detected DBN1 in human cerebellum and rat midbrain tissues.
Research Category
Neuroscience
Research Sub Category
Developmental Signaling
This DBN1 antibody is validated for use in WB & IHC for the detection of the DBN1 protein.

Physical form

Affinity purified
Purified rabbit polyclonal in buffer containing 0.1 M Tris-Glycine (pH 7.4), 150 mM NaCl with 0.05% sodium azide.

Preparation Note

Stable for 1 year at 2-8°C from date of receipt.

Analysis Note

Control
Mouse brain tissue lysate
Evaluated by Western Blotting in mouse brain tissue lysate.

Western Blotting Analysis: 0.25 µg/mL of this antibody detected DBN1 in 10 µg of mouse brain tissue lysate.

Other Notes

Concentration: Please refer to the Certificate of Analysis for the lot-specific concentration.
Replaces: AB15288

Disclaimer

Unless otherwise stated in our catalog or other company documentation accompanying the product(s), our products are intended for research use only and are not to be used for any other purpose, which includes but is not limited to, unauthorized commercial uses, in vitro diagnostic uses, ex vivo or in vivo therapeutic uses or any type of consumption or application to humans or animals.

Not finding the right product?  

Try our Product Selector Tool.

Storage Class

12 - Non Combustible Liquids

wgk

WGK 1

flash_point_f

Not applicable

flash_point_c

Not applicable


Certificates of Analysis (COA)

Search for Certificates of Analysis (COA) by entering the products Lot/Batch Number. Lot and Batch Numbers can be found on a product’s label following the words ‘Lot’ or ‘Batch’.

Already Own This Product?

Find documentation for the products that you have recently purchased in the Document Library.

Visit the Document Library

Global Trade Item Number

SKUGTIN
ABN20704053252850783

Our team of scientists has experience in all areas of research including Life Science, Material Science, Chemical Synthesis, Chromatography, Analytical and many others.

Contact Technical Service