Skip to Content
Merck

ABN289

Anti-Cullin-5 (CUL5) Antibody

from rabbit, purified by affinity chromatography

Synonym(s):

Cullin-5, CUL-5, Vasopressin-activated calcium-mobilizing receptor 1, VACM-1

Sign In to View Organizational & Contract Pricing.

Select a Size


About This Item

UNSPSC Code:
12352203
NACRES:
NA.41
eCl@ss:
32160702
Conjugate:
unconjugated
Clone:
polyclonal
Application:
IHC, WB
Citations:
1
Technical Service
Need help? Our team of experienced scientists is here for you.
Let Us Assist
Technical Service
Need help? Our team of experienced scientists is here for you.
Let Us Assist

biological source

rabbit

conjugate

unconjugated

antibody form

affinity isolated antibody

antibody product type

primary antibodies

clone

polyclonal

purified by

affinity chromatography

species reactivity

human

species reactivity (predicted by homology)

rabbit (based on 100% sequence homology)

technique(s)

immunohistochemistry: suitable, western blot: suitable

NCBI accession no.

UniProt accession no.

shipped in

wet ice

target post-translational modification

unmodified

Quality Level

Gene Information

human ... CUL5(8065)

General description

CUL-5/VACM-1 (cullin-5, vasopressin-activated calcium mobilizing receptor 1) is one component of the ECS (elongin B/C-cul2/cul5-SOCS box protein) complex that forms an E3 ubiquitin ligase that covalently binds ubiquitin to proteins targeted for degradation via the proteasome. CUL-5 is ubiquitously expressed in the central nervous system and in many peripheral organs. Human immunodeficiency virus-1 (HIV-1) protein Vif forms a Skp1-cullin-F-box (SCF)-like complex with CUL-5/VACM-1 and Elongins B and C. The ability of Vif to suppress the antiviral activity of APOBEC3G, which induces hypermutations in newly synthesized viral DNA, is specifically dependent on CUL-5-SCF function, as it allows Vif to interact with APOBEC3G and induce its ubiquitination and degradation. The CUL-5-SCF pathway used by Vif is thus a potential target for antiviral development. CUL-5/VACM-1 inhibits cellular growth by a mechanism that involves MAPK and p53 signaling pathways. In human tissues expression in kidney, brain, heart, placenta, and skeletal muscle is observed. CUL-5/VACM-1 is also expressed in both breast epithelial cells and breast cancer cells. Decreased expression of CUL-5/VACM-1 may play a role in breast tumorigenesis. Further evidence for this finding is observed in T47D breast cancer cells in which overexpression of CUL-5/VACM-1 significantly attenuates cellular proliferation and MAPK phosphorylation when compared to control cells.
~90 kDa observed. Neddylation of Cullin-5 at a.a. 724 with NEDD8 results in a 10 kDa increase in molecular weight (Hori. T., et al. (1999). Oncogene. 18(48):6829-6834).

Immunogen

Epitope: Near N-Terminus
KLH-conjugated linear peptide corresponding to human Cullin-5 near the Near N-Terminus.

Application

Detect Cullin using this rabbit polyclonal antibody, Anti-Cullin-5 (CUL5) Antibody validated for use in western blotting & IHC.
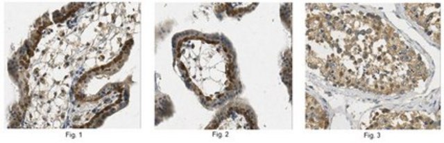
Immunohistochemistry Analysis: A 1:2,000 dilution from a representative lot detected Cullin-5 in human placenta and human testis tissue.
Research Category
Neuroscience
Research Sub Category
Developmental Signaling

Biochem/physiol Actions

Other homologies: Feline (93% sequence homology) and Mouse and Rat (87% sequence homology).
This antibody recognizes Cullin-5 near the N-Terminus.

Physical form

Antigen Affinity Purified
Purified rabbit polyclonal in buffer containing 0.1 M Tris-Glycine (pH 7.4), 150 mM NaCl with 0.05% sodium azide.

Preparation Note

Stable for 1 year at 2-8°C from date of receipt.

Analysis Note

Control
Human heart tissue lysate
Evaluated by Western Blotting in human heart tissue lysate.

Western Blotting Analysis: 1.0 µg/mL of this antibody detected Cullin-5 in 10 µg of human heart tissue lysate.

Other Notes

Concentration: Please refer to the Certificate of Analysis for the lot-specific concentration.
Replaces: AB10622

Disclaimer

Unless otherwise stated in our catalog or other company documentation accompanying the product(s), our products are intended for research use only and are not to be used for any other purpose, which includes but is not limited to, unauthorized commercial uses, in vitro diagnostic uses, ex vivo or in vivo therapeutic uses or any type of consumption or application to humans or animals.

Not finding the right product?  

Try our Product Selector Tool.

Storage Class

10 - Combustible liquids


Certificates of Analysis (COA)

Search for Certificates of Analysis (COA) by entering the products Lot/Batch Number. Lot and Batch Numbers can be found on a product’s label following the words ‘Lot’ or ‘Batch’.

Already Own This Product?

Find documentation for the products that you have recently purchased in the Document Library.

Visit the Document Library

Si Chen et al.
Science advances, 9(3), eabq1395-eabq1395 (2023-01-21)
Breast cancer-associated gene 1 (Brca1) deficiency induces the onset of breast cancer formation, accompanied with extensive genetic alterations. Here, we used both the sleeping beauty transposon mutagenesis system and CRISPR-Cas9-mediated genome-wide screening in mice to identify potential genetic alterations that

Global Trade Item Number

SKUGTIN
ABN28904053252914690

Our team of scientists has experience in all areas of research including Life Science, Material Science, Chemical Synthesis, Chromatography, Analytical and many others.

Contact Technical Service