Skip to Content
Merck

ABN296

Anti-ECH1 Antibody

from rabbit, purified by affinity chromatography

Synonym(s):

Delta(3,5)-Delta(2,4)-dienoyl-CoA isomerase, mitochondrial

Sign In to View Organizational & Contract Pricing.

Select a Size


About This Item

UNSPSC Code:
12352203
NACRES:
NA.41
eCl@ss:
32160702
Technical Service
Need help? Our team of experienced scientists is here for you.
Let Us Assist
Technical Service
Need help? Our team of experienced scientists is here for you.
Let Us Assist

Product Name

Anti-ECH1 Antibody, from rabbit, purified by affinity chromatography

biological source

rabbit

antibody form

affinity isolated antibody

antibody product type

primary antibodies

clone

polyclonal

purified by

affinity chromatography

species reactivity

human

species reactivity (predicted by homology)

orangutan (based on 100% sequence homology)

technique(s)

immunohistochemistry: suitable (paraffin)
western blot: suitable

NCBI accession no.

UniProt accession no.

shipped in

wet ice

target post-translational modification

unmodified

Gene Information

human ... ECH1(1891)

Analysis Note

Control
HepG2 cell lysate
Evaluated by Western Blotting in HepG2 cell lysate.

Western Blotting Analysis: 0.2 µg/mL of this antibody detected ECH1 in 10 µg of HepG2 cell lysate.

Application

Detect ECH1 using this rabbit polyclonal antibody, Anti-ECH1 Antibody validated for use in western blotting & IHC (Paraffin).
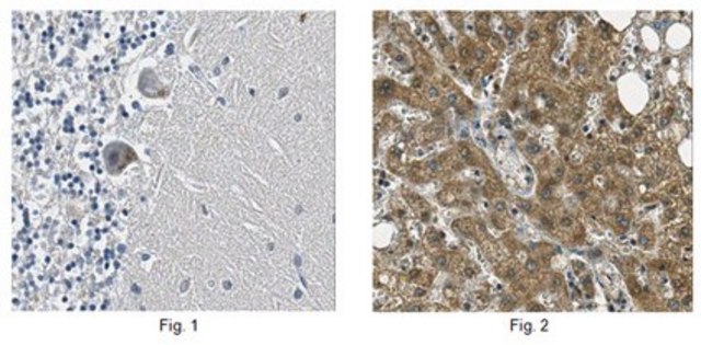
Immunohistochemistry Analysis: A 1:500-2,000 dilution from a representative lot detected ECH1 in human cerebellum and human liver tissue.
Research Category
Neuroscience
Research Sub Category
Developmental Signaling

Biochem/physiol Actions

Other homologies: Porcine (Pig), Mouse, and Rat (92% sequence homology).
This antibody recognizes ECH1 near the Near N-terminus.

Disclaimer

Unless otherwise stated in our catalog or other company documentation accompanying the product(s), our products are intended for research use only and are not to be used for any other purpose, which includes but is not limited to, unauthorized commercial uses, in vitro diagnostic uses, ex vivo or in vivo therapeutic uses or any type of consumption or application to humans or animals.

General description

Delta(3,5)-Delta(2,4)-dienoyl-CoA isomerase, mitochondrial (ECH1) is a member of the enoyl-CoA hydratase/isomerase family. ECH1 is involved in isomerization of 3-trans,5-cis-dienoyl-CoA to 2-trans,4-trans-dienoyl-CoA as part of the fatty acid beta-oxidation and lipid metabolism pathways.
~32 kDa observed. Uncharacterized band(s) may appear in some lysates.

Immunogen

Epitope: Near N-terminus
KLH-conjugated linear peptide corresponding to human ECH1 near the N-terminus.

Other Notes

Concentration: Please refer to the Certificate of Analysis for the lot-specific concentration.

Physical form

Antigen Affinity Purified
Purified rabbit polyclonal in buffer containing 0.1 M Tris-Glycine (pH 7.4), 150 mM NaCl with 0.05% sodium azide.

Preparation Note

Stable for 1 year at 2-8°C from date of receipt.

Not finding the right product?  

Try our Product Selector Tool.

Storage Class

12 - Non Combustible Liquids

wgk

WGK 1

flash_point_f

Not applicable

flash_point_c

Not applicable


Certificates of Analysis (COA)

Search for Certificates of Analysis (COA) by entering the products Lot/Batch Number. Lot and Batch Numbers can be found on a product’s label following the words ‘Lot’ or ‘Batch’.

Already Own This Product?

Find documentation for the products that you have recently purchased in the Document Library.

Visit the Document Library

Our team of scientists has experience in all areas of research including Life Science, Material Science, Chemical Synthesis, Chromatography, Analytical and many others.

Contact Technical Service