Skip to Content
Merck

ABN337

Anti-LRFN4 Antibody

from rabbit, purified by affinity chromatography

Synonym(s):

Leucine-rich repeat and fibronectin typeIII domain-containing protein 4, synaptic adhesion-like molecule 3, SALM3, FIGLER6

Sign In to View Organizational & Contract Pricing.

Select a Size


About This Item

UNSPSC Code:
12352203
NACRES:
NA.41
eCl@ss:
32160702
Conjugate:
unconjugated
Clone:
polyclonal
Application:
IHC, WB
Citations:
-
Technical Service
Need help? Our team of experienced scientists is here for you.
Let Us Assist
Technical Service
Need help? Our team of experienced scientists is here for you.
Let Us Assist

biological source

rabbit

conjugate

unconjugated

antibody form

affinity isolated antibody

antibody product type

primary antibodies

clone

polyclonal

purified by

affinity chromatography

species reactivity

mouse

species reactivity (predicted by homology)

human (immunogen homology)

technique(s)

immunohistochemistry: suitable, western blot: suitable

UniProt accession no.

shipped in

wet ice

target post-translational modification

unmodified

Quality Level

Gene Information

human ... LRFN4(78999)

General description

LRFN4 is one of a family of five transmembrane glycoproteins that are highly expressed in neuronal tissues. LRFN proteins share leucine-rich repeat (LRR)-immunoglobulin-like (Ig)-fibronectin type III (Fn)-transmembrane domain structure with other members of the LRR-Ig-Fn protein superfamily such as the Slitrk family of proteins. Expression of LRFN1, -3, and -4 mRNA was detected in embryonic neuronal cells, while LRFN2 and LRFN5 expression was primarily restricted to more mature cells. LRFN1, -2, and -4 bound to PDZ domains of postsynaptic PSD95, re-distributing PSD95 to the cell periphery. It has been suggested that the LRFN proteins play a role in the developing and/or mature vertebrate nervous system.
~80 kDa observed. Uncharacterized bands may appear between ~40 and ~160 kDa in some lysates. The calculated molecular weight of this protein is 66 kDa, but can be observed at ~80 kDa due to high glycosylation.

Immunogen

KLH-conjugated linear peptide corresponding to human LRFN4.

Application

Detect the LRFN4 protein using this Anti-LRFN4 validated for use in WB & IHC.
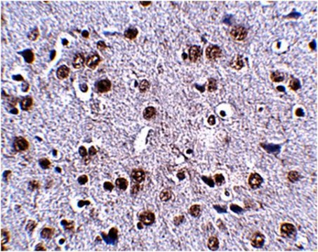
Immunohistochemistry Analysis: 2.5 µg/mL from a representative lot detected LRFN4 in mouse brain tissue.
Research Category
Neuroscience
Research Sub Category
Developmental Neuroscience

Biochem/physiol Actions

This antibody is predicted to not cross-react with other members of the LRFN family.

Physical form

Antigen Affinity Purified
Purified rabbit polyclonal in buffer containing PBS with 0.02% sodium azide.

Preparation Note

Stable for 1 year at 2-8°C from date of receipt.

Analysis Note

Control
Mouse brain tissue lysate
Evaluated by Western Blot in mouse brain tissue lysate.

Western Blot Analysis: 1 µg/mL of this antibody detected LRFN4 in 10 µg/mL of mouse brain tissue lysate.

Other Notes

Concentration: Please refer to the Certificate of Analysis for the lot-specific concentration.

Disclaimer

Unless otherwise stated in our catalog or other company documentation accompanying the product(s), our products are intended for research use only and are not to be used for any other purpose, which includes but is not limited to, unauthorized commercial uses, in vitro diagnostic uses, ex vivo or in vivo therapeutic uses or any type of consumption or application to humans or animals.

Not finding the right product?  

Try our Product Selector Tool.

Storage Class

12 - Non Combustible Liquids

wgk

WGK 2

flash_point_f

Not applicable

flash_point_c

Not applicable


Certificates of Analysis (COA)

Search for Certificates of Analysis (COA) by entering the products Lot/Batch Number. Lot and Batch Numbers can be found on a product’s label following the words ‘Lot’ or ‘Batch’.

Already Own This Product?

Find documentation for the products that you have recently purchased in the Document Library.

Visit the Document Library

Global Trade Item Number

SKUGTIN
ABN33704053252831164

Our team of scientists has experience in all areas of research including Life Science, Material Science, Chemical Synthesis, Chromatography, Analytical and many others.

Contact Technical Service