Skip to Content
Merck

ABN343

Anti-NIPSNAP Antibody

from rabbit, purified by affinity chromatography

Synonym(s):

Non-neuronal SNAP25-like protein, NIPSNAP1, NIPSNAP

Sign In to View Organizational & Contract Pricing.

Select a Size


About This Item

UNSPSC Code:
12352203
NACRES:
NA.41
eCl@ss:
32160702
Conjugate:
unconjugated
Clone:
polyclonal
Application:
IHC, WB
Citations:
-
Technical Service
Need help? Our team of experienced scientists is here for you.
Let Us Assist
Technical Service
Need help? Our team of experienced scientists is here for you.
Let Us Assist

biological source

rabbit

conjugate

unconjugated

antibody form

affinity isolated antibody

antibody product type

primary antibodies

clone

polyclonal

purified by

affinity chromatography

species reactivity

human

technique(s)

immunohistochemistry: suitable, western blot: suitable

UniProt accession no.

shipped in

wet ice

target post-translational modification

unmodified

Quality Level

Gene Information

human ... NIPSNAP1(8508)

General description

NIPSNAP is a member of an evolutionarily well conserved gene family and has a strong sequence similarity to the central portion of a protein encoded by C. elegans chromosome III between a 4-nitrophenylphosphatase (NIP) domain and non-neuronal SNAP25-like protein. Recent studies have indicated that NIPSNAP is involved in the regulation of the Ca2+-selective transient receptor potential vanilloid channel 6 (TRPV6). NIPSNAP1 associates with TRPV6 at the plasma membrane and inhibits TRPV6 currents. Other studies show that NIPSNAP’s expression is reduced in the phenylketonuria (PKU) brain, suggesting that NIPSNAP may play a role in memory.
~33 kDa observed

Immunogen

KLH-conjugated linear peptide corresponding to human NIPSNAP.

Application

Detect the NIPSNAP protein using this Anti-NIPSNAP validated for use in WB & IHC.
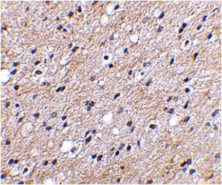
Immunohistochemistry Analysis: 2.5 µg/mL of this antibody from a representative lot detected NIPSNAP in human brain tissue.

Analysis Note

Evaluated by Western Blot in human brain tissue lysate.

Western Bloting Analysis: 1 µg/mL of this antibody detected NIPSNAP in 15 µg of human brain tissue lysate.

Other Notes

Concentration: Please refer to the Certificate of Analysis for the lot-specific concentration.

Not finding the right product?  

Try our Product Selector Tool.

Storage Class

12 - Non Combustible Liquids

wgk

WGK 1

flash_point_f

Not applicable

flash_point_c

Not applicable


Certificates of Analysis (COA)

Search for Certificates of Analysis (COA) by entering the products Lot/Batch Number. Lot and Batch Numbers can be found on a product’s label following the words ‘Lot’ or ‘Batch’.

Already Own This Product?

Find documentation for the products that you have recently purchased in the Document Library.

Visit the Document Library

Global Trade Item Number

SKUGTIN
ABN34304053252847448

Our team of scientists has experience in all areas of research including Life Science, Material Science, Chemical Synthesis, Chromatography, Analytical and many others.

Contact Technical Service