Skip to Content
Merck

ABN356

Anti-Slitrk3 Antibody

from rabbit, purified by affinity chromatography

Synonym(s):

SLIT, NTRK-like family 3, Slitrk3

Sign In to View Organizational & Contract Pricing.

Select a Size


About This Item

UNSPSC Code:
12352203
NACRES:
NA.41
eCl@ss:
32160702
Conjugate:
unconjugated
Clone:
polyclonal
Application:
IHC, WB
Citations:
1
Technical Service
Need help? Our team of experienced scientists is here for you.
Let Us Assist
Technical Service
Need help? Our team of experienced scientists is here for you.
Let Us Assist

biological source

rabbit

conjugate

unconjugated

antibody form

affinity isolated antibody

antibody product type

primary antibodies

clone

polyclonal

purified by

affinity chromatography

species reactivity

human

technique(s)

immunohistochemistry: suitable, western blot: suitable

UniProt accession no.

shipped in

wet ice

target post-translational modification

unmodified

Quality Level

Gene Information

human ... SLITRK3(22865)

General description

SLIT and NTRK-like family 3 (Slitrk3) is a member a protein family consisting of six homologous transmembrane proteins (Slitrk1-6) that share two conserved leucine-rich repeat domains in the extracellular domain and have significant homology to Slit, a secreted axonal growth-controlling protein. These proteins are also homologous to trk neurotrophin receptors in their intracellular domains. Expression of Slitrk proteins is highly restricted to neural and brain tumor tissues, but varies within the protein family. Overexpression of Slitrk3 inhibited neurite outgrowth in cultured neurons, suggesting that these proteins are involved in the control of neurite outgrowth.
~120 kDa observed

Immunogen

KLH-conjugated linear peptide corresponding to human Slitrk3.

Application

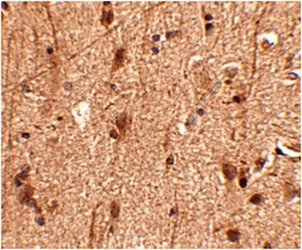
Immunohistochemistry Analysis: Human brain tissue was prepared using heat-induced epitope retrieval (HIER). Immunostaining was performed using 2.5 µg/mL Slitrk3 antibody.
Research Category
Neuroscience

Neuroscience
Research Sub Category
Developmental Neuroscience

Neurofilament & Neuron Metabolism
This Slitrk3 antibody is validated for use in WB & IHC for the detection of the Slitrk3 protein.

Biochem/physiol Actions

This antibody is predicted to have no cross-reactivity to other Slitrk proteins.

Physical form

Antigen Affinity Purified
Purified rabbit polyclonal in buffer containing PBS with 0.02% sodium azide.

Preparation Note

Stable for 1 year at 2-8°C from date of receipt.

Analysis Note

Control
SK-N-SH cell lysate
Evaluated by Western Blot in SK-N-SH cell lysate.

Western Blot Analysis: 0.5 µg/mL of this antibody detected Slitrk3 in 15 µg of SK-N-SH cell lysate.

Other Notes

Concentration: Please refer to the Certificate of Analysis for the lot-specific concentration.

Disclaimer

Unless otherwise stated in our catalog or other company documentation accompanying the product(s), our products are intended for research use only and are not to be used for any other purpose, which includes but is not limited to, unauthorized commercial uses, in vitro diagnostic uses, ex vivo or in vivo therapeutic uses or any type of consumption or application to humans or animals.

Not finding the right product?  

Try our Product Selector Tool.

Storage Class

12 - Non Combustible Liquids

wgk

WGK 1

flash_point_f

Not applicable

flash_point_c

Not applicable


Certificates of Analysis (COA)

Search for Certificates of Analysis (COA) by entering the products Lot/Batch Number. Lot and Batch Numbers can be found on a product’s label following the words ‘Lot’ or ‘Batch’.

Already Own This Product?

Find documentation for the products that you have recently purchased in the Document Library.

Visit the Document Library

Jun Li et al.
Frontiers in molecular neuroscience, 12, 213-213 (2019-09-26)
Single-passing transmembrane protein, Slitrk3 (Slit and Trk-like family member 3, ST3), is a synaptic cell adhesion molecule highly expressed at inhibitory synapses. Recent studies have shown that ST3, through its extracellular domain, selectively regulates inhibitory synapse development via the trans-synaptic

Global Trade Item Number

SKUGTIN
ABN35604053252847639

Our team of scientists has experience in all areas of research including Life Science, Material Science, Chemical Synthesis, Chromatography, Analytical and many others.

Contact Technical Service