Skip to Content
Merck

ABN40

Anti-DLK1 Antibody

from rabbit, purified by affinity chromatography

Synonym(s):

Protein delta homolog 1, DLK-1, pG2, Fetal antigen 1, FA1

Sign In to View Organizational & Contract Pricing.

Select a Size



About This Item

UNSPSC Code:
12352203
NACRES:
NA.41
eCl@ss:
32160702

Product Name

Anti-DLK1 Antibody, from rabbit, purified by affinity chromatography

biological source

rabbit

conjugate

unconjugated

antibody form

affinity isolated antibody

antibody product type

primary antibodies

clone

polyclonal

purified by

affinity chromatography

species reactivity

rat, human, mouse

technique(s)

immunohistochemistry: suitable
western blot: suitable

NCBI accession no.

UniProt accession no.

shipped in

wet ice

target post-translational modification

unmodified

Gene Information

human ... DLK1(8788)

Analysis Note

Control
HepG2 cell lysate
Evaluated by Western Blot in HepG2 cell lysate.

Western Blot Analysis: 1 µg/mL of this antibody detected DLK1 on 10 µg of HepG2 cell lysate.

Application

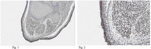
Immunohistochemistry Analysis: A 1:1,000 dilution from a representative lot detected DLK1 in mouse embryonic tissue.
Research Category
Neuroscience
Research Sub Category
Developmental Neuroscience
This Anti-DLK1 Antibody is validated for use in WB, IH for the detection of DLK1.

Disclaimer

Unless otherwise stated in our catalog or other company documentation accompanying the product(s), our products are intended for research use only and are not to be used for any other purpose, which includes but is not limited to, unauthorized commercial uses, in vitro diagnostic uses, ex vivo or in vivo therapeutic uses or any type of consumption or application to humans or animals.

General description

Delta-like 1 homolog (DLK1), also known as fetal antigen 1 (FA1) and preadipocyte factor 1 (pref-1), is a transmembrane protein containing 6 epidermal growth factor repeats whose expression is known to modulate differentiation signals. Studies have shown DLK1 is involved in differentiation of several cell types, including adipocytes. Studies have shown deficiencies in DLK1 displaying growth retardation, obesity, skeletal malformation, and increased serum lipid. DLK1 is a paternally expressed imprinted gene that plays a role in normal development and in the maintence of homeostatsis of adipose tissue mass.
~47 kDa observed. The calculated molecular weight of this protein is 41 kDa, but can be observed at ~41-55 kDa due to high glycosylation.

Immunogen

KLH-conjugated linear peptide corresponding to human DLK1.

Other Notes

Concentration: Please refer to the Certificate of Analysis for the lot-specific concentration.

Physical form

Affinity purified
Purified rabbit polyclonal in buffer containing 0.1 M Tris-Glycine (pH 7.4), 150 mM NaCl with 0.05% sodium azide.

Preparation Note

Stable for 1 year at 2-8°C from date of receipt.

Not finding the right product?  

Try our Product Selector Tool.

Storage Class

12 - Non Combustible Liquids

wgk

WGK 1

flash_point_f

Not applicable

flash_point_c

Not applicable


Certificates of Analysis (COA)

Search for Certificates of Analysis (COA) by entering the products Lot/Batch Number. Lot and Batch Numbers can be found on a product’s label following the words ‘Lot’ or ‘Batch’.

Already Own This Product?

Find documentation for the products that you have recently purchased in the Document Library.

Visit the Document Library

Andreas Schober et al.
Nature medicine, 20(4), 368-376 (2014-03-04)
Atherosclerosis, a hyperlipidemia-induced chronic inflammatory process of the arterial wall, develops preferentially at sites where disturbed laminar flow compromises endothelial cell (EC) function. Here we show that endothelial miR-126-5p maintains a proliferative reserve in ECs through suppression of the Notch1

Our team of scientists has experience in all areas of research including Life Science, Material Science, Chemical Synthesis, Chromatography, Analytical and many others.

Contact Technical Service