Skip to Content
Merck

ABN479

Anti-ATP2C1 Antibody

from rabbit, purified by affinity chromatography

Synonym(s):

Calcium-transporting ATPase type 2C member 1, ATPase 2C1, ATP-dependent Ca(2+) pump PMR1, ATP2C1

Sign In to View Organizational & Contract Pricing.

Select a Size


About This Item

UNSPSC Code:
12352203
NACRES:
NA.41
eCl@ss:
32160702
Technical Service
Need help? Our team of experienced scientists is here for you.
Let Us Assist
Technical Service
Need help? Our team of experienced scientists is here for you.
Let Us Assist

Product Name

Anti-ATP2C1 Antibody, from rabbit, purified by affinity chromatography

biological source

rabbit

conjugate

unconjugated

antibody form

affinity isolated antibody

antibody product type

primary antibodies

clone

polyclonal

purified by

affinity chromatography

species reactivity

mouse

species reactivity (predicted by homology)

human (immunogen homology)

technique(s)

immunohistochemistry: suitable
western blot: suitable

UniProt accession no.

shipped in

wet ice

target post-translational modification

unmodified

Quality Level

Gene Information

human ... ATP2C1(27032)

Analysis Note

Control
Mouse brain tissue lysate
Evaluated by Western Blotting/Peptide Inhibition Assay in mouse brain tissue lysate.

Western Blotting/Peptide Inhibition Assay Analysis: 1 µg/mL of this antibody detected ATP2C1 in 15 µg of mouse brain tissue lysate.

Application

Anti-ATP2C1 Antibody is a highly specific rabbit polyclonal antibody, that targets Calcium-transporting ATPase type 2C member 1 & has been tested in western blotting & IHC.
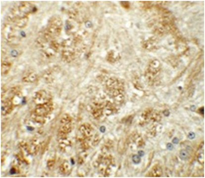
Immunohistochemistry Analysis: 5 µg/mL from a representative lot detected ATP2C1 in mouse brain tissue.
Research Category
Neuroscience
Research Sub Category
Neurodegenerative Diseases

Biochem/physiol Actions

This antibody can recognize the three longest isoforms at ~101 kDa, ~103 kDa, and ~105 kDa.

Disclaimer

Unless otherwise stated in our catalog or other company documentation accompanying the product(s), our products are intended for research use only and are not to be used for any other purpose, which includes but is not limited to, unauthorized commercial uses, in vitro diagnostic uses, ex vivo or in vivo therapeutic uses or any type of consumption or application to humans or animals.

General description

Calcium-transporting ATPase type 2C member 1 (ATP2C1) is a member of the cation transport ATPase (P-type) (TC 3.A.3) family. ATP2C1 catalyzes the hydrolysis of ATP coupled with the transport of the calcium from the cytosol to the Golgi lumen. It may also play an important role as a key regulator of insulin-like growth factor receptor (IGF1R) processing in tumor progression in basal breast cancers. It is found in most tissues except colon, thymus, spleen and leukocytes.
~180 kDa observed. Uniprot describes 6 isoforms ranging between ~97 kDa and ~105 kDa Uncharacterized bands may appear in some lysate(s).

Immunogen

KLH-conjugated linear peptide corresponding to human ATP2C1.

Other Notes

Concentration: Please refer to the Certificate of Analysis for the lot-specific concentration.

Physical form

Antigen Affinity Purified
Purified rabbit polyclonal in buffer containing PBS with up to 0.1% sodium azide.

Preparation Note

Stable for 1 year at 2-8°C from date of receipt.

Not finding the right product?  

Try our Product Selector Tool.

Storage Class

10 - Combustible liquids

wgk

WGK 2

flash_point_f

Not applicable

flash_point_c

Not applicable


Certificates of Analysis (COA)

Search for Certificates of Analysis (COA) by entering the products Lot/Batch Number. Lot and Batch Numbers can be found on a product’s label following the words ‘Lot’ or ‘Batch’.

Already Own This Product?

Find documentation for the products that you have recently purchased in the Document Library.

Visit the Document Library

Global Trade Item Number

SKUGTIN
ABN47904053252905513

Our team of scientists has experience in all areas of research including Life Science, Material Science, Chemical Synthesis, Chromatography, Analytical and many others.

Contact Technical Service