Skip to Content
Merck

ABN488

Anti-SRPX2 Antibody

from rabbit, purified by affinity chromatography

Synonym(s):

Sushi-repeat-containing protein X-link 2, BPP, CBPS, PMGX, SRPUL

Sign In to View Organizational & Contract Pricing.

Select a Size


About This Item

UNSPSC Code:
12352203
NACRES:
NA.41
eCl@ss:
32160702
Clone:
polyclonal
Species reactivity:
human, rat
Application:
IHC, WB
Citations:
1
Technical Service
Need help? Our team of experienced scientists is here for you.
Let Us Assist
Technical Service
Need help? Our team of experienced scientists is here for you.
Let Us Assist

biological source

rabbit

antibody form

affinity isolated antibody

antibody product type

primary antibodies

clone

polyclonal

purified by

affinity chromatography

species reactivity

human, rat

technique(s)

immunohistochemistry: suitable, western blot: suitable

UniProt accession no.

shipped in

wet ice

target post-translational modification

unmodified

Gene Information

human ... SRPX2(27286)

General description

Sushi-repeat-containing protein X-linked 2 (SRPX2) is a neural gene associated with the speech and language centers of the human brain. SRPX2 mutations can lead to epilepsy, speech dyspraxia, mental retardation and cognitive disorders. SRPX2 has been shown to mediate angiogenesis and acts as a ligand for the urokinase-type plasminogen activator, which facilitates invasive migration of sprouting endothelial cells. SRPX2 is highly expressed in brain, neurons, placenta, lung, trachea, uterus and adrenal gland; and weakly expressed in the peripheral blood, brain and bone marrow. SRPX2 is also expressed in numerous cancer cell lines, including overexpressed in gastric cancer, increasing phosphorylation levels of focal adhesion kinase, and enhanced cellular migration and adhesion, indicating that SRPX2 may be a useful target in the treatment of metastatic cancers.
~55 kDa observed. Uncharacterized bands may appear in some lysate(s).

Immunogen

KLH-conjugated linear peptide corresponding to human SRPX2.

Application

Anti-SRPX2 Antibody is a highly specific rabbit polyclonal antibody, that targets Sushi-repeat-containing protein X-linked 2 & has been tested in western blotting & IHC.
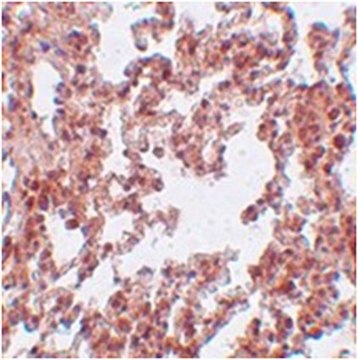
Immunohistochemistry Analysis: 5 µg/mL from a representative lot detected SRPX2 in rat lung tissue.
Research Category
Neuroscience
Research Sub Category
Sensory & PNS

Physical form

Antigen Affinity Purified
Purified rabbit polyclonal in buffer containing PBS with up to 0.1% sodium azide.

Preparation Note

Stable for 1 year at 2-8°C from date of receipt.

Analysis Note

Control
Human lung tissue lysate
Evaluated by Western Blotting in human lung tissue lysate.

Western Blotting Analysis: 2 µg/mL of this antibody detected SRPX2 in 15 µg of human lung tissue lysate.

Other Notes

Concentration: Please refer to the Certificate of Analysis for the lot-specific concentration.

Disclaimer

Unless otherwise stated in our catalog or other company documentation accompanying the product(s), our products are intended for research use only and are not to be used for any other purpose, which includes but is not limited to, unauthorized commercial uses, in vitro diagnostic uses, ex vivo or in vivo therapeutic uses or any type of consumption or application to humans or animals.

Not finding the right product?  

Try our Product Selector Tool.

Storage Class

10 - Combustible liquids


Certificates of Analysis (COA)

Search for Certificates of Analysis (COA) by entering the products Lot/Batch Number. Lot and Batch Numbers can be found on a product’s label following the words ‘Lot’ or ‘Batch’.

Already Own This Product?

Find documentation for the products that you have recently purchased in the Document Library.

Visit the Document Library

Daniela Freitas et al.
EBioMedicine, 40, 349-362 (2019-01-22)
Changes in glycosylation are known to play critical roles during gastric carcinogenesis. Expression of truncated O-glycans, such as the Sialyl-Tn (STn) antigen, is a common feature shared by many cancers and is associated with cancer aggressiveness and poor-prognosis. Glycoengineered cell

Our team of scientists has experience in all areas of research including Life Science, Material Science, Chemical Synthesis, Chromatography, Analytical and many others.

Contact Technical Service