Skip to Content
Merck

ABN495

Anti-DARC Antibody

from rabbit, purified by affinity chromatography

Synonym(s):

DARC Antibody, Duffy antigen, Fy glycoprotein, GpFy, Cell adhesion molecule 3, CADM3

Sign In to View Organizational & Contract Pricing.

Select a Size


About This Item

UNSPSC Code:
12352203
NACRES:
NA.41
eCl@ss:
32160702
Conjugate:
unconjugated
Clone:
polyclonal
Application:
IHC, WB
Citations:
-
Technical Service
Need help? Our team of experienced scientists is here for you.
Let Us Assist
Technical Service
Need help? Our team of experienced scientists is here for you.
Let Us Assist

biological source

rabbit

conjugate

unconjugated

antibody form

affinity isolated antibody

antibody product type

primary antibodies

clone

polyclonal

purified by

affinity chromatography

species reactivity

mouse

species reactivity (predicted by homology)

human (immunogen homology)

technique(s)

immunohistochemistry: suitable (paraffin), western blot: suitable

UniProt accession no.

shipped in

wet ice

target post-translational modification

unmodified

Quality Level

Gene Information

human ... ACKR1(2532)

General description

Duffy antigen/chemokine receptor (DARC), also known as Fy glycoprotein (GpFy), is a multi-pass membrane protein belonging to the G-protein coupled receptor Duffy family. DARC binds, with high affinity, several chemokines without transducing any signal, suggesting it may modulate the signals normally induced by these chemokines. DARC is found in adult kidney, adult spleen, bone marrow, and fetal liver. It is expressed along postcapillary venules throughout the body, except in the adult liver.
~23 and 35 kDa observed. Uniprot describes two isoforms at ~35 and ~36 kDa

Immunogen

Epitope: C-terminus
KLH-conjugated linear peptide corresponding to the C-terminus of human DARC.

Application

Detect Duffy antigen/chemokine receptor using this rabbit polyclonal antibody, Anti-DARC Antibody validated for use in western blotting & IHC (Paraffin).
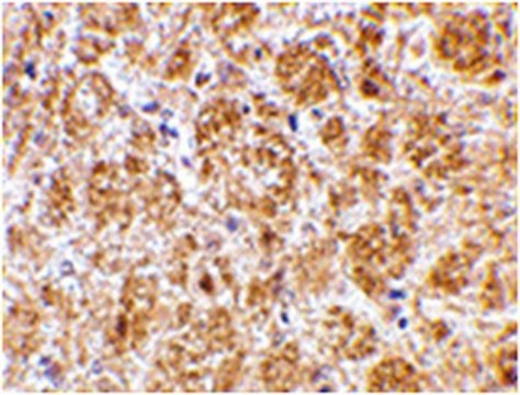
Immunohistochemistry Analysis: 2.5 µg/mL from a representative lot detected DARC in mouse brain tissue.
Research Category
Neuroscience
Research Sub Category
Developmental Neuroscience

Biochem/physiol Actions

This antibody recognizes the C-terminus of DARC.

Physical form

Antigen Affinity Purified
Purified rabbit polyclonal in buffer containing PBS with up to 0.1% sodium azide.

Preparation Note

Stable for 1 year at 2-8°C from date of receipt.

Analysis Note

Control
Mouse brain tissue lysate
Evaluated by Western Blotting in mouse brain tissue lysate.

Western Blotting Analysis: 2 µg/mL of this antibody detected DARC in 15 µg of mouse brain tissue lysate.

Other Notes

Concentration: Please refer to the Certificate of Analysis for the lot-specific concentration.

Disclaimer

Unless otherwise stated in our catalog or other company documentation accompanying the product(s), our products are intended for research use only and are not to be used for any other purpose, which includes but is not limited to, unauthorized commercial uses, in vitro diagnostic uses, ex vivo or in vivo therapeutic uses or any type of consumption or application to humans or animals.

Not finding the right product?  

Try our Product Selector Tool.

wgk

WGK 2

flash_point_f

Not applicable

flash_point_c

Not applicable

Storage Class

12 - Non Combustible Liquids


Certificates of Analysis (COA)

Search for Certificates of Analysis (COA) by entering the products Lot/Batch Number. Lot and Batch Numbers can be found on a product’s label following the words ‘Lot’ or ‘Batch’.

Already Own This Product?

Find documentation for the products that you have recently purchased in the Document Library.

Visit the Document Library

Global Trade Item Number

SKUGTIN
ABN49504053252879937

Our team of scientists has experience in all areas of research including Life Science, Material Science, Chemical Synthesis, Chromatography, Analytical and many others.

Contact Technical Service