Skip to Content
Merck

ABN643

Anti-LRRTM2 Antibody

from rabbit, purified by affinity chromatography

Synonym(s):

Leucine-rich repeat transmembrane neuronal protein 2, Leucine-rich repeat neuronal 2 protein, LRRTM2

Sign In to View Organizational & Contract Pricing.

Select a Size


About This Item

UNSPSC Code:
12352203
NACRES:
NA.41
eCl@ss:
32160702
Conjugate:
unconjugated
Clone:
polyclonal
Application:
IHC, WB
Citations:
-
Technical Service
Need help? Our team of experienced scientists is here for you.
Let Us Assist
Technical Service
Need help? Our team of experienced scientists is here for you.
Let Us Assist

biological source

rabbit

conjugate

unconjugated

antibody form

affinity isolated antibody

antibody product type

primary antibodies

clone

polyclonal

purified by

affinity chromatography

species reactivity

human

technique(s)

immunohistochemistry: suitable, western blot: suitable

UniProt accession no.

shipped in

wet ice

target post-translational modification

unmodified

Quality Level

Gene Information

General description

Leucine-rich repeat transmembrane neuronal protein 2, also known as Leucine-rich repeat neuronal 2 protein, and encoded by the gene name LRRTM2 or LRRN2, is involved in the development and maintenance of excitatory synapse in the vertebrate nervous system. The Leucine-rich repeat transmembrane neuronal proteins (LRRTMs) are differentially expressed in the nervous system and were recently found to instruct presynaptic and mediate postsynaptic glutamatergic differentiation, with LRRTM1 and LRRTM2 most potent at inducing presynaptic differentiation. Each LRRTM protein is a type I transmembrane containing ten extracellular leucine-rich repeats and a short intracellular tail and has a developmentally regulated pattern distinct from all others. LRRTM2 interacts with PSD-95 and regulates the surface expression of AMPA receptors. LRRTM2 also functions as a neurexin ligand, binding both Neurexin 1-alpha and -beta, suggesting that LRRTM2-Neurexin1 interaction plays a critical role in regulatory excitatory synapse development
~65 kDa observed. Uncharacterized bands may be observed in some lysate(s).

Immunogen

Epitope: cytoplasmic domain
KLH-conjugated synthetic peptide corresponding to the cytoplasmic domain of human LRRTM2.

Application

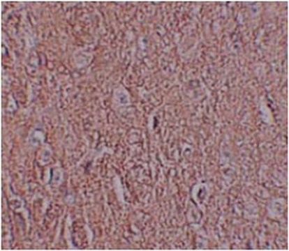
Anti-LRRTM2 Antibody detects level of LRRTM2 & has been published & validated for use in LRRTM2.
Immunohistochemistry Analysis: 2.5 μg/mL from a representative lot detected LRRTM2 in human brain tissue.





Research Category
Neuroscience
Research Sub Category
Developmental Neuroscience

Physical form

Antigen Affinity Purified
Purified rabbit polyclonal in buffer containing PBS with up to 0.1% sodium azide.

Preparation Note

Stable for 1 year at 2-8°C from date of receipt.

Analysis Note

Evaluated by Western Blotting in SK-N-SH cell lysate with and without blocking peptide.

Western Blotting Analysis: 1 μg/mL of this antibody detected LRRTM2 in SK-N-SH cell lysate.

Other Notes

Concentration: Please refer to the Certificate of Analysis for the lot-specific concentration.

Disclaimer

Unless otherwise stated in our catalog or other company documentation accompanying the product(s), our products are intended for research use only and are not to be used for any other purpose, which includes but is not limited to, unauthorized commercial uses, in vitro diagnostic uses, ex vivo or in vivo therapeutic uses or any type of consumption or application to humans or animals.

Not finding the right product?  

Try our Product Selector Tool.

Storage Class

12 - Non Combustible Liquids

wgk

WGK 2

flash_point_f

Not applicable

flash_point_c

Not applicable


Certificates of Analysis (COA)

Search for Certificates of Analysis (COA) by entering the products Lot/Batch Number. Lot and Batch Numbers can be found on a product’s label following the words ‘Lot’ or ‘Batch’.

Already Own This Product?

Find documentation for the products that you have recently purchased in the Document Library.

Visit the Document Library

Global Trade Item Number

SKUGTIN
ABN64304053252946653

Our team of scientists has experience in all areas of research including Life Science, Material Science, Chemical Synthesis, Chromatography, Analytical and many others.

Contact Technical Service