Skip to Content
Merck

ABN648

Anti-TRESK Antibody

from rabbit, purified by affinity chromatography

Synonym(s):

Potassium channel subfamily K member 18, TWIK-related individual potassium channel, TWIK-related spinal cord potassium channel

Sign In to View Organizational & Contract Pricing.

Select a Size


About This Item

UNSPSC Code:
12352203
NACRES:
NA.41
eCl@ss:
32160702
Conjugate:
unconjugated
Clone:
polyclonal
Application:
IF, IHC, WB
Citations:
-
Technical Service
Need help? Our team of experienced scientists is here for you.
Let Us Assist
Technical Service
Need help? Our team of experienced scientists is here for you.
Let Us Assist

biological source

rabbit

conjugate

unconjugated

antibody form

affinity isolated antibody

antibody product type

primary antibodies

clone

polyclonal

purified by

affinity chromatography

species reactivity

rat

technique(s)

immunofluorescence: suitable, immunohistochemistry: suitable, western blot: suitable

UniProt accession no.

shipped in

wet ice

target post-translational modification

unmodified

Quality Level

Gene Information

General description

Potassium channel subfamily K member 18, also known as TWIK-related individual potassium channel or TWIK-related spinal cord potassium channel, and encoded by the gene name KCNK18 or TRESK or TRIK, is a two-pore domain K+ channel that induces outward rectification and functions as a background K+ channel that is abundantly expressed in the spinal cord, thymus, spleen, and leukemic Tlymphocytes. TRESK is activated by increased cytoplasmic calcium concentration through calcineurin as well as by acetylcholine and histamine. TRESK may play a role in the regulation of T-cell function and could be an excellent target to treat T-cell originated immune dysfunction. Mutations in TRESK have been assoicated with migraine with or without aura 13.
~40 kDa observed. Uncharacterized bands may be observed in some lysate(s).

Immunogen

KLH-conjugated synthetic peptide corresponding to the center region of human TRESK.

Application

Anti-TRESK Antibody is an antibody against TRESK for use in western blotting, IHC & immunofluorescence.
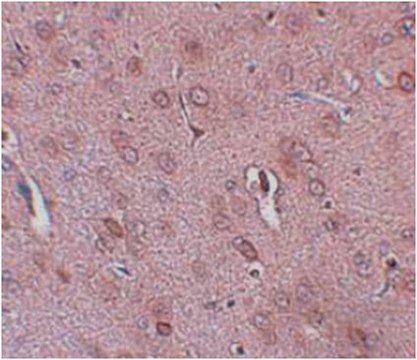
Immunohistochemistry Analysis: 5 μg/mL from a representative lot detected TRESK in rat brain tissue.

Immunofluorescence Analysis: 20 μg/mL from a representative lot detected TRESK in rat brain cells.



Analysis Note

Evaluated by Western Blotting in Rat brain tissue lysate.

Western Blotting Analysis: 2 μg/mL of this antibody detected TRESK in Rat brain tissue lysate.

Other Notes

Concentration: Please refer to the Certificate of Analysis for the lot-specific concentration.

Not finding the right product?  

Try our Product Selector Tool.

Storage Class

12 - Non Combustible Liquids

wgk

WGK 2

flash_point_f

Not applicable

flash_point_c

Not applicable


Certificates of Analysis (COA)

Search for Certificates of Analysis (COA) by entering the products Lot/Batch Number. Lot and Batch Numbers can be found on a product’s label following the words ‘Lot’ or ‘Batch’.

Already Own This Product?

Find documentation for the products that you have recently purchased in the Document Library.

Visit the Document Library

Global Trade Item Number

SKUGTIN
ABN64804053252946691

Our team of scientists has experience in all areas of research including Life Science, Material Science, Chemical Synthesis, Chromatography, Analytical and many others.

Contact Technical Service