Skip to Content
Merck

ABS231

Anti-Goosecoid 2 Antibody

from rabbit, purified by affinity chromatography

Synonym(s):

Homeobox protein goosecoid-2, GSC-2, Homeobox protein goosecoid-like, GSC-L

Sign In to View Organizational & Contract Pricing.

Select a Size


About This Item

UNSPSC Code:
12352203
NACRES:
NA.41
eCl@ss:
32160702
Technical Service
Need help? Our team of experienced scientists is here for you.
Let Us Assist
Technical Service
Need help? Our team of experienced scientists is here for you.
Let Us Assist

Product Name

Anti-Goosecoid 2 Antibody, from rabbit, purified by affinity chromatography

species reactivity

human, rat

biological source

rabbit

conjugate

unconjugated

antibody form

affinity isolated antibody

antibody product type

primary antibodies

clone

polyclonal

purified by

affinity chromatography

technique(s)

immunohistochemistry: suitable (paraffin)
western blot: suitable

NCBI accession no.

UniProt accession no.

shipped in

wet ice

target post-translational modification

unmodified

Quality Level

Gene Information

human ... GSC2(2928)
rat ... Gsc2(363831)

Analysis Note

Control
Human pituitary tissue lysate
Evaluated by Western Blotting in human pituitary tissue lysate.

Western Blotting Analysis: 0.25 µg/mL of this antibody detected Goosecoid2 in 10 µg of human pituitary tissue lysate.

Application

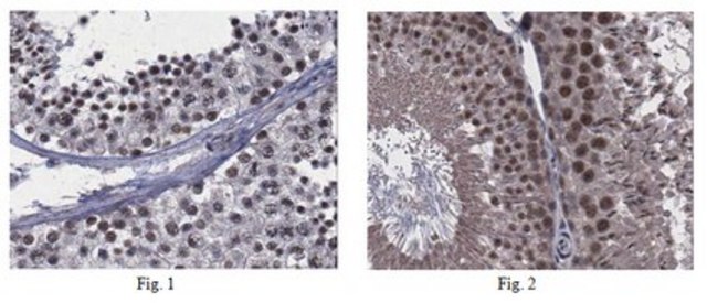
Immunohistochemistry Analysis: A 1:2,000 dilution from a representative lot detected Goosecoid2 in human and rat seminiferous tubule tissues.
This Goosecoid 2 antibody is validated for use in WB & IHC for the detection of the Goosecoid 2 protein.

Biochem/physiol Actions

This antibody recognizes the C-terminus of Goosecoid2

General description

Homeobox protein goosecoid-2 (GSC-2), or homeobox protein goosecoid-like (GSC-L), is expressed in early human development as well as in a limited number of adult tissues, and may have a role in development. Goosecoid 2 may regulate its own transcription and may bind the bicoid consensus sequence TAATCC.
~31 kDa observed

Immunogen

KLH-conjugated linear peptide corresponding to the C-terminus of human Goosecoid2.

Other Notes

Concentration: Please refer to the Certificate of Analysis for the lot-specific concentration.

Not finding the right product?  

Try our Product Selector Tool.

Storage Class

12 - Non Combustible Liquids

wgk

WGK 1

flash_point_f

Not applicable

flash_point_c

Not applicable


Certificates of Analysis (COA)

Search for Certificates of Analysis (COA) by entering the products Lot/Batch Number. Lot and Batch Numbers can be found on a product’s label following the words ‘Lot’ or ‘Batch’.

Already Own This Product?

Find documentation for the products that you have recently purchased in the Document Library.

Visit the Document Library

Global Trade Item Number

SKUGTIN
ABS23104053252851797

Our team of scientists has experience in all areas of research including Life Science, Material Science, Chemical Synthesis, Chromatography, Analytical and many others.

Contact Technical Service