Skip to Content
Merck

ABS449

Anti-UNG1 Antibody

from rabbit, purified by affinity chromatography

Synonym(s):

Uracil-DNA glycosylase 1, UDG1

Sign In to View Organizational & Contract Pricing.

Select a Size


About This Item

UNSPSC Code:
12352203
NACRES:
NA.41
eCl@ss:
32160702
Technical Service
Need help? Our team of experienced scientists is here for you.
Let Us Assist
Technical Service
Need help? Our team of experienced scientists is here for you.
Let Us Assist

Product Name

Anti-UNG1 Antibody, from rabbit, purified by affinity chromatography

biological source

rabbit

conjugate

unconjugated

antibody form

affinity isolated antibody

antibody product type

primary antibodies

clone

polyclonal

purified by

affinity chromatography

species reactivity

human, mouse

technique(s)

immunohistochemistry: suitable
western blot: suitable

UniProt accession no.

shipped in

wet ice

target post-translational modification

unmodified

Quality Level

Gene Information

human ... UNG(7374)

Analysis Note

Control
C2C12 cell lysate
Evaluated by Western Blotting in C2C12 cell lysate.

Western Blotting Analysis: 2 µg/mL of this antibody detected UNG1 in 15 µg of C2C12 cell lysate.

Application

Anti-UNG1 Antibody is a highly specific rabbit polyclonal antibody, that targets Uracil-DNA glycosylase 1 & has been tested in western blotting & IHC.
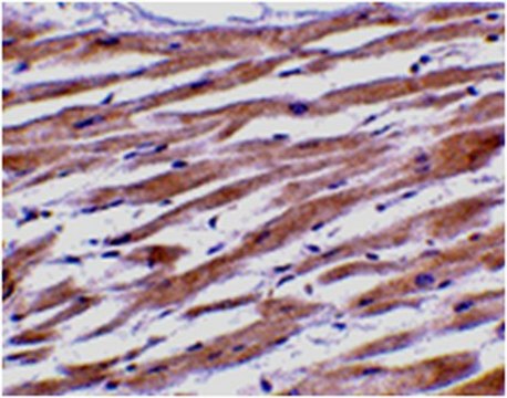
Immunohistochemistry Analysis: 2 µg/mL from a representative lot detected UNG1 in human heart tissue.

Immunofluorescence Analysis: 20 µg/mL from a representative lot detected UNG1 in human heart tissue.
Research Category
Signaling
Research Sub Category
Developmental Signaling

Biochem/physiol Actions

This antibody recognizes the C-terminus of UNG1.

Disclaimer

Unless otherwise stated in our catalog or other company documentation accompanying the product(s), our products are intended for research use only and are not to be used for any other purpose, which includes but is not limited to, unauthorized commercial uses, in vitro diagnostic uses, ex vivo or in vivo therapeutic uses or any type of consumption or application to humans or animals.

General description

Uracil-DNA glycosylase 1 (UNG1), also known as UDG1, DGU or UNG15, hydrolyzes single-stranded DNA or mismatched double-stranded DNA and polynucleotides, and as a result it releases free uracil. UNG1 excises uracil residues from the DNA. This event could be a result of faulty incorporation of dUMP residues by DNA polymerase or due to deamination of cytosine. Uniport describes two isoforms. The fist isoform is widely expressed with the highest expression in skeletal muscle, heart and testicles. The second isoform has the highest expression levels in tissues containing proliferating cells. Recent studies have shown that defects in UNG are a cause of immunodeficiency with hyper-IgM type 5 (HIGM5). HIGM5 is a rare immunodeficiency syndrome characterized by normal or elevated serum IgM levels with absence of IgG, IgA, and IgE, resulting in a profound susceptibility to bacterial infections.
~37 kDa observed. Uncharacterized bands may appear in some lysate(s). Uniprot describes 2 isoforms at ~34 kDa and ~35 kDa

Immunogen

Epitope: C-terminus
KLH-conjugated linear peptide corresponding to the C-terminus of human UNG1.

Other Notes

Concentration: Please refer to the Certificate of Analysis for the lot-specific concentration.

Physical form

Antigen Affinity Purified
Purified rabbit polyclonal in buffer containing PBS with up to 0.1% sodium azide.

Preparation Note

Stable for 1 year at 2-8°C from date of receipt.

Not finding the right product?  

Try our Product Selector Tool.

Storage Class

10 - Combustible liquids

wgk

WGK 2

flash_point_f

Not applicable

flash_point_c

Not applicable


Certificates of Analysis (COA)

Search for Certificates of Analysis (COA) by entering the products Lot/Batch Number. Lot and Batch Numbers can be found on a product’s label following the words ‘Lot’ or ‘Batch’.

Already Own This Product?

Find documentation for the products that you have recently purchased in the Document Library.

Visit the Document Library

Global Trade Item Number

SKUGTIN
ABS44904053252910180

Our team of scientists has experience in all areas of research including Life Science, Material Science, Chemical Synthesis, Chromatography, Analytical and many others.

Contact Technical Service