Skip to Content
Merck

ABS451

Anti-CTRP3 Antibody

from rabbit, purified by affinity chromatography

Synonym(s):

Complement C1q tumor necrosis factor-related protein 3, Collagenous repeat-containing sequence 26 kDa protein, CORS26, CORS26

Sign In to View Organizational & Contract Pricing.

Select a Size


About This Item

UNSPSC Code:
12352203
NACRES:
NA.41
eCl@ss:
32160702
Conjugate:
unconjugated
Clone:
polyclonal
Application:
IF, IHC, WB
Citations:
-
Technical Service
Need help? Our team of experienced scientists is here for you.
Let Us Assist
Technical Service
Need help? Our team of experienced scientists is here for you.
Let Us Assist

biological source

rabbit

conjugate

unconjugated

antibody form

affinity isolated antibody

antibody product type

primary antibodies

clone

polyclonal

purified by

affinity chromatography

species reactivity

mouse

species reactivity (predicted by homology)

human (immunogen homology)

technique(s)

immunofluorescence: suitable, immunohistochemistry: suitable, western blot: suitable

UniProt accession no.

shipped in

wet ice

target post-translational modification

unmodified

Quality Level

Gene Information

human ... C1QTNF3(114899)

General description

Complement C1q tumor necrosis factor-related protein 3 (CTRP3 or C1QTNF3), also known as Collagenous repeat-containing sequence 26 kDa protein, contains one C1q domain and one collagen-like domain, and may play an important role in skeletal development. CTRP3 is expressed in colon and small intestine.
~36 kDa observed. Uniprot describes 3 isoforms at ~22 kDa, ~27 kDa, and ~35 kDa

Immunogen

Epitope: Intermediate domain
KLH-conjugated linear peptide corresponding to the intermediate domain of human CTRP3.

Application

Detect Complement C1q tumor necrosis factor-related protein 3 using this rabbit polyclonal antibody, Anti-CTRP3 Antibody validated for use in western blotting, IHC & Immunofluorescence.
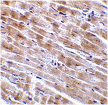
Immunohistochemistry Analysis: 2 µg/mL from a representative lot detected CTRP3 in mouse heart tissue.

Immunofluorescence Analysis: 10 µg/mL from a representative lot detected CTRP3 in mouse heart cells.
Research Category
Signaling
Research Sub Category
Developmental Signaling

Biochem/physiol Actions

This antibody recognizes the intermediate domain of CTRP3.

Physical form

Antigen Affinity Purified
Purified rabbit polyclonal in buffer containing PBS with up to 0.1% sodium azide.

Preparation Note

Stable for 1 year at 2-8°C from date of receipt.

Analysis Note

Control
Mouse heart tissue lysate
Evaluated by Western Blotting/Peptide Inhibition Assay in mouse heart tissue lysate.

Western Blotting/Peptide Inhibition Assay Analysis: 1 µg/mL of this antibody detected CTRP3 in 15 µg of mouse heart tissue lysate.

Other Notes

Concentration: Please refer to the Certificate of Analysis for the lot-specific concentration.

Disclaimer

Unless otherwise stated in our catalog or other company documentation accompanying the product(s), our products are intended for research use only and are not to be used for any other purpose, which includes but is not limited to, unauthorized commercial uses, in vitro diagnostic uses, ex vivo or in vivo therapeutic uses or any type of consumption or application to humans or animals.

Not finding the right product?  

Try our Product Selector Tool.

wgk

WGK 2

flash_point_f

Not applicable

flash_point_c

Not applicable

Storage Class

12 - Non Combustible Liquids


Certificates of Analysis (COA)

Search for Certificates of Analysis (COA) by entering the products Lot/Batch Number. Lot and Batch Numbers can be found on a product’s label following the words ‘Lot’ or ‘Batch’.

Already Own This Product?

Find documentation for the products that you have recently purchased in the Document Library.

Visit the Document Library

Global Trade Item Number

SKUGTIN
ABS45104053252879944

Our team of scientists has experience in all areas of research including Life Science, Material Science, Chemical Synthesis, Chromatography, Analytical and many others.

Contact Technical Service