Skip to Content
Merck

ABT157

Anti-Syndecan-4 Antibody

from rabbit, purified by affinity chromatography

Synonym(s):

SYND4, Amphiglycan, Ryudocan core protein

Sign In to View Organizational & Contract Pricing.

Select a Size


About This Item

UNSPSC Code:
12352203
NACRES:
NA.41
eCl@ss:
32160702
Clone:
polyclonal
Species reactivity:
mouse, human, rat
Application:
IHC, WB
Citations:
4
Technical Service
Need help? Our team of experienced scientists is here for you.
Let Us Assist
Technical Service
Need help? Our team of experienced scientists is here for you.
Let Us Assist

biological source

rabbit

antibody form

affinity isolated antibody

antibody product type

primary antibodies

clone

polyclonal

purified by

affinity chromatography

species reactivity

mouse, human, rat

species reactivity (predicted by homology)

chimpanzee (based on 100% sequence homology), bovine (based on 100% sequence homology), rhesus macaque (based on 100% sequence homology)

technique(s)

immunohistochemistry: suitable (paraffin), western blot: suitable

NCBI accession no.

UniProt accession no.

shipped in

wet ice

target post-translational modification

unmodified

Gene Information

human ... SDC4(6385)

General description

Syndecan-4 (Amphiglycan; Ryudocan core protein) is one of four members of the syndecan proteoglycan family. The syndecan proteins bind heparan sulfate and mediate the signaling of growth factors, such as fibroblast growth factor, that recognize and bind heparan chains. Unlike other members of this family, syndecan-4 is ubiquitously expressed, and is targeted to focal adhesions, possibly by a PKC-mediated pathway. Previous studies have reported an increase in focal adhesions in cells overexpressing syndecan-4. This protein also plays an important role in wound healing, by modulating the signaling of Rho-GTPases Rac1, RhoG, and RhoA.
~80/32 kDa observed

Immunogen

Epitope: Cytoplasmic domain
KLH-conjugated linear peptide corresponding to the cytoplasmic domain of human Syndecan-4.

Application

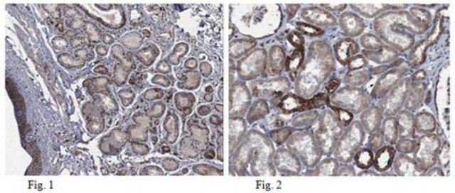
Immunohistochemistry Analysis: A 1:100-1,000 dilution from a representative lot detected Syndecan-4 in human lung carcinoma and in distal tubules of normal human kidney tissue.
Research Category
Cell Structure
Research Sub Category
Cytoskeletal Signaling
This Anti-Syndecan-4 Antibody is validated for use in Western Blotting, IHC(P) for the detection of Syndecan-4.

Biochem/physiol Actions

This antibody recognizes the cytoplasmic domain of Syndecan-4

Physical form

Affinity purified
Purified rabbit polyclonal in buffer containing 0.1 M Tris-Glycine (pH 7.4), 150 mM NaCl with 0.05% sodium azide.

Preparation Note

Stable for 1 year at 2-8°C from date of receipt.

Analysis Note

Control
HEP2 cell lysate
Evaluated by Western Blot in HEP2 cell lysate.

Western Blot Analysis: 1 µg/mL of this antibody detected Syndecan-4 in 10 µg of HEP2 cell lysate.

Other Notes

Concentration: Please refer to the Certificate of Analysis for the lot-specific concentration.

Disclaimer

Unless otherwise stated in our catalog or other company documentation accompanying the product(s), our products are intended for research use only and are not to be used for any other purpose, which includes but is not limited to, unauthorized commercial uses, in vitro diagnostic uses, ex vivo or in vivo therapeutic uses or any type of consumption or application to humans or animals.

Not finding the right product?  

Try our Product Selector Tool.

Storage Class

12 - Non Combustible Liquids

wgk

WGK 1

flash_point_f

Not applicable

flash_point_c

Not applicable


Certificates of Analysis (COA)

Search for Certificates of Analysis (COA) by entering the products Lot/Batch Number. Lot and Batch Numbers can be found on a product’s label following the words ‘Lot’ or ‘Batch’.

Already Own This Product?

Find documentation for the products that you have recently purchased in the Document Library.

Visit the Document Library

Elena Caravà et al.
Biomolecules, 11(6) (2021-06-03)
Cardiovascular diseases are a group of disorders caused by the presence of a combination of risk factors, such as tobacco use, unhealthy diet and obesity, physical inactivity, etc., which cause the modification of the composition of the vessel's matrix and
Hyowon Choi et al.
Matrix biology : journal of the International Society for Matrix Biology, 70, 102-122 (2018-04-02)
Intervertebral disc degeneration and associated low back and neck pain is a ubiquitous health condition that affects millions of people world-wide, and causes high incidence of disability and enormous medical/societal costs. However, lack of appropriate small animal models with spontaneous
Jessica Oyie Sousa Onyeisi et al.
Journal of cellular biochemistry, 120(8), 13826-13840 (2019-04-05)
Anoikis is a form of programmed cell death induced by loss of contact from neighboring cells or from their extracellular matrix (ECM). Many tumorigenic cells are anoikis resistant, facilitating cancer progression and metastasis. Trastuzumab is a monoclonal antibody used for
Matthew J Butler et al.
Kidney international, 95(1), 94-107 (2018-11-06)
Aldosterone contributes to end-organ damage in heart failure and chronic kidney disease. Mineralocorticoid-receptor inhibitors limit activation of the receptor by aldosterone and slow disease progression, but side effects, including hyperkalemia, limit their clinical use. Damage to the endothelial glycocalyx (a

Our team of scientists has experience in all areas of research including Life Science, Material Science, Chemical Synthesis, Chromatography, Analytical and many others.

Contact Technical Service